Rabbit polyclonal antibody to Estrogen Receptor-a (Phospho-Ser167)
Specificity
The antibody detects endogenous level of Estrogen Receptor-a only when phosphorylated at serine16.
Applications
WB, IHC, ICC/IF
Dilutions
Western blotting: 1:500~1:1000 Immunohistochemistry: 1:50~1:100 Immunofluorescence: 1:100~1:200
Reactivity
Human
Immunogen
Peptide sequence around phosphorylation site of serine 167 (L-A-S(p)-T-N) derived from Human Estrogen Receptor-a.
Host
Rabbit
Clonality
Polyclonal
Conjugate
Unconjugated
Purification
Antibodies were produced by immunizing rabbits with synthetic phosphopeptide and KLH conjugates. Antibodies were purified by affinity-chromatography using epitope-specific phosphopeptide. Non-phospho specific antibodies were removed by chromatogramphy using non-phosphopeptide.
Concentration
1.0 mg/mL
Predicted MW
66kd
Formulation
Supplied in phosphate-buffered saline (without Mg²? and Ca²?), pH 7.4, containing 150 mM NaCl, 0.02% sodium azide, and 50% glycerol.
Storage
Shipped at 4°C. Upon delivery aliquot and store at -20°C. Avoid freeze/thaw cycles.
Western blot analysis of extracts from MCF7 cells using Estrogen Receptor-a (Phospho-Ser167) Antibody #11073 (Lane 2) and the same antibody preincubated with blocking peptide (Lane1).
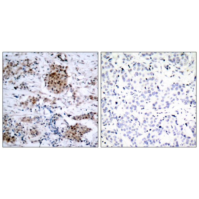
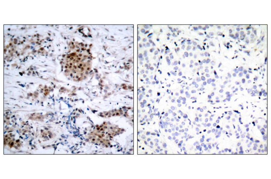
Immunohistochemical analysis of paraffin-embedded human breast carcinoma tissue using Estrogen Receptor-a (Phospho-Ser167) Antibody #11073 (left) or the same antibody preincubated with blocking peptide (right).
Immunofluorescence staining of methanol-fixed MCF cells using Estrogen Receptor-a (Phospho-Ser167) Antibody #11073.
Publishing research using Anti-Estrogen Receptor-a (Phospho-Ser167) Antibody (A50122)? Please let us know so that we can list the citation on this page.