Mouse monoclonal [ESR1/3373] antibody to Estrogen Receptor alpha (Biotin).
Specificity
This antibody is specific to estrogen receptor alpha (ER alpha) and shows minimal cross-reaction with other members of the family. ER is an important regulator of growth and differentiation in the mammary gland. Presence of ER in breast tumors indicates an increased likelihood of response to anti-estrogen (e.g. tamoxifen) therapy. It strongly stains nuclei of epithelial cells in breast carcinomas.
Applications
IHC-P
Dilutions
IHC-P: 2-4 µg/ml
Reactivity
Human
Immunogen
Recombinant full-length human Estrogen Receptor alpha protein.
Host
Mouse
Clonality
Monoclonal
Clone ID
ESR1/3373
Isotype
IgG2a
Light Chains
kappa
Conjugate
Biotin
Purification
Protein A/G chromatography.
Concentration
100 µg/ml
Molecular Weight
~67 kDa
Product Form
Liquid
Formulation
Supplied in 10mM Phosphate Buffered Saline with 0.05% BSA and 0.05% Sodium Azide.
Storage
Shipped at 4°C. Upon delivery aliquot and store at -20°C. Avoid freeze / thaw cycles.
Synonyms
ER, ER-alpha, ESR, ESR1, Estradiol receptor, Estrogen receptor, NR3A1, Nuclear receptor subfamily 3 group A member 1
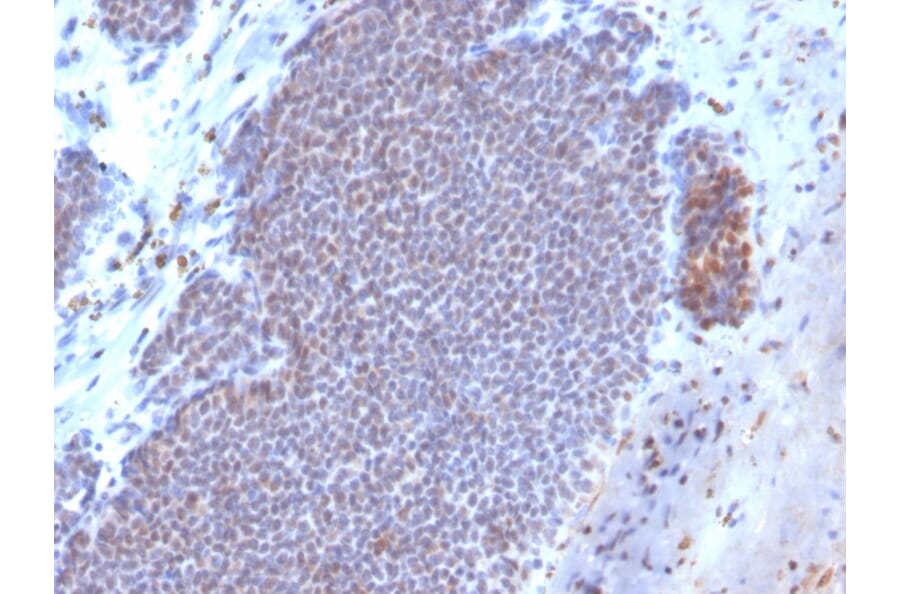
Immunohistochemical analysis of formalin-fixed, paraffin-embedded human breast carcinoma using Anti-Estrogen Receptor alpha Antibody [ESR1/3373] (Biotin).
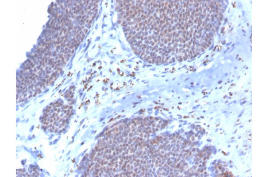
Immunohistochemical analysis of formalin-fixed, paraffin-embedded human breast carcinoma using Anti-Estrogen Receptor alpha Antibody [ESR1/3373] (Biotin).
SDS-PAGE analysis of Anti-Estrogen Receptor alpha Antibody [ESR1/3373] (Biotin) under non-reduced and reduced conditions; showing intact IgG and intact heavy and light chains, respectively. SDS-PAGE analysis confirms the integrity and purity of the antibody.
Analysis of protein array containing more than 19,000 full-length human proteins using Anti-Estrogen Receptor alpha Antibody [ESR1/3373] (Biotin). Z-Score and S- Score: The Z-score represents the strength of a signal that a monoclonal antibody (MAb) (in combination with a fluorescently-tagged anti-IgG secondary antibody) produces when binding to a particular protein on the HuProtTM array. Z-scores are described in units of standard deviations (SD's) above the mean value of all signals generated on that array. If targets on HuProtTM are arranged in descending order of the Z-score, the S-score is the difference (also in units of SD's) between the Z-score. S-score therefore represents the relative target specificity of a MAb to its intended target; a MAb is considered to be specific to its intended target, if the MAb has an S-score of at least 2.5. For example, if a MAb binds to protein X with a Z-score of 43 and to protein Y with a Z-score of 14, then the S-score for the binding of that MAb to protein X is equal to 29.
Publishing research using Anti-Estrogen Receptor alpha Antibody [ESR1/3373] (Biotin) (A251216)? Please let us know so that we can list the citation on this page.
Alternative products to Anti-Estrogen Receptor alpha Antibody [ESR1/3373] (Biotin) (A251216)