ISO 9001:2015 Certified
Live Customer Support
4.5/5 on Trustpilot
100% Quality Guarantee

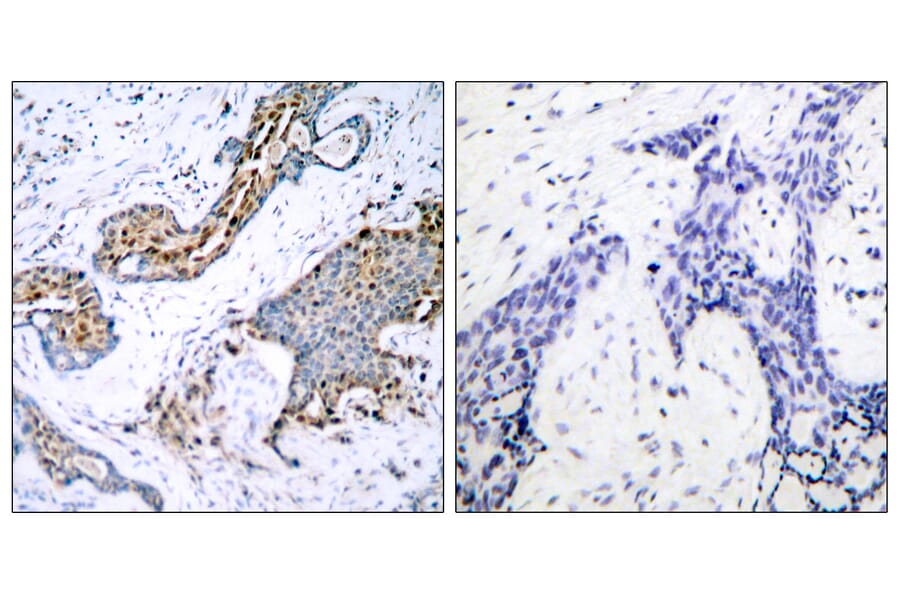
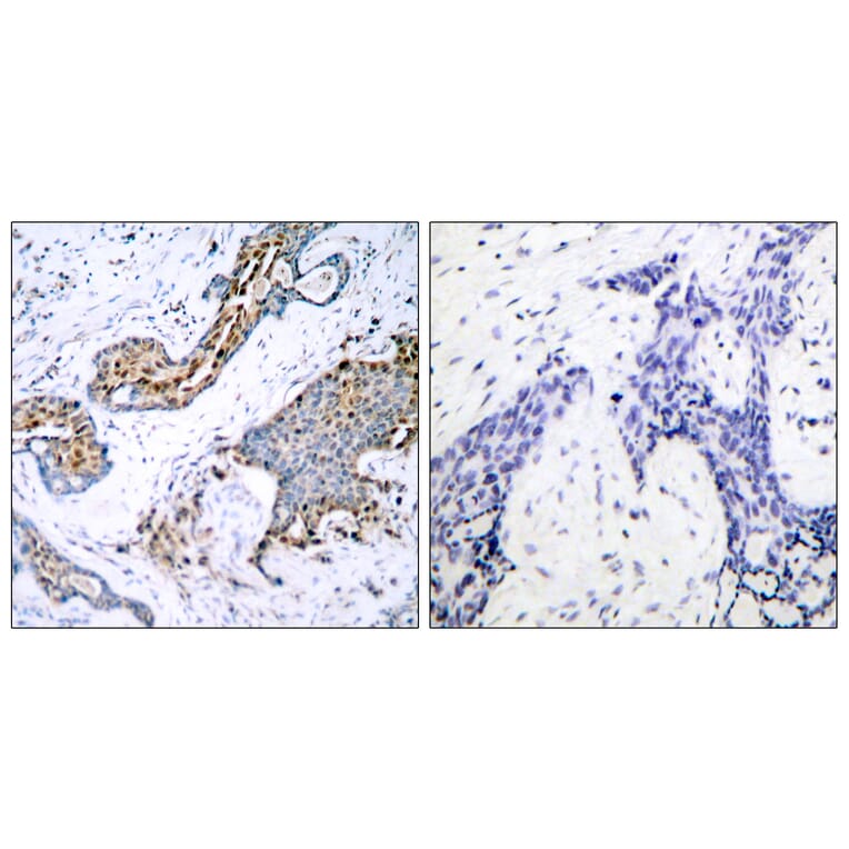
Anti-Estrogen Receptor-alpha (phospho Ser118) Antibody (A93580)

Rabbit polyclonal antibody to Estrogen Receptor-alpha (phospho Ser118) for WB, IHC, IF and ELISA.

Shipping Information

$40
Dispatched from St. Louis, MO.
Lead Time: 6-8 business days.
Name
Anti-Estrogen Receptor-alpha (phospho Ser118) Antibody
Description
Rabbit polyclonal antibody to Estrogen Receptor-alpha (phospho Ser118).
Specificity
This antibody detects endogenous levels of Estrogen Receptor-alpha only when phosphorylated at Ser118.
Applications
WB, IHC, IF, ELISA
Dilutions
WB: 1:500~1:1000, IHC: 1:50~1:100, ELISA: 1:5000
Reactivity
Human, Mouse
Cross Reactivity
No reported cross-reactivity.
Immunogen
Synthetic peptide derived from human Estrogen Receptor-alpha around the phosphorylation site of Ser118 (amino acids 91-140).
Host
Rabbit
Clonality
Polyclonal
Isotype
IgG
Conjugate

Unconjugated

Purification
Purified from rabbit serum by antigen affinity chromatography using the immunizing phospho peptide.
Molecular Weight
66kDa
Product Form
Liquid
Formulation
Supplied in Phosphate Buffered Saline (without Mg2+ and Ca2+), pH 7.4, with 150mM NaCl, 0.02% Sodium Azide, and 50% Glycerol.
Storage
Shipped at 4°C. Upon delivery aliquot and store at -20°C. Avoid freeze / thaw cycles.
Synonyms
ER, ER-alpha, ESR, ESR1, Estradiol receptor, Estrogen receptor, NR3A1, Nuclear receptor subfamily 3 group A member 1
Disclaimer
This product is for research use only. It is not intended for diagnostic or therapeutic use.
Publishing research using Anti-Estrogen Receptor-alpha (phospho Ser118) Antibody (A93580)? Please let us know so that we can list the citation on this page.

Alternative products to Anti-Estrogen Receptor-alpha (phospho Ser118) Antibody (A93580)

Proteins predicted to interact with Estrogen Receptor alpha

Predicted protein interactions based upon String database. Revelancy score correlates with probability of interaction.
99.9% Relevancy Score
99.9% Relevancy Score
99.9% Relevancy Score
99.9% Relevancy Score
99.9% Relevancy Score
99.9% Relevancy Score
99.9% Relevancy Score
99.9% Relevancy Score
99.9% Relevancy Score