ISO 9001:2015 Certified
Live Customer Support
4.5/5 on Trustpilot
100% Quality Guarantee

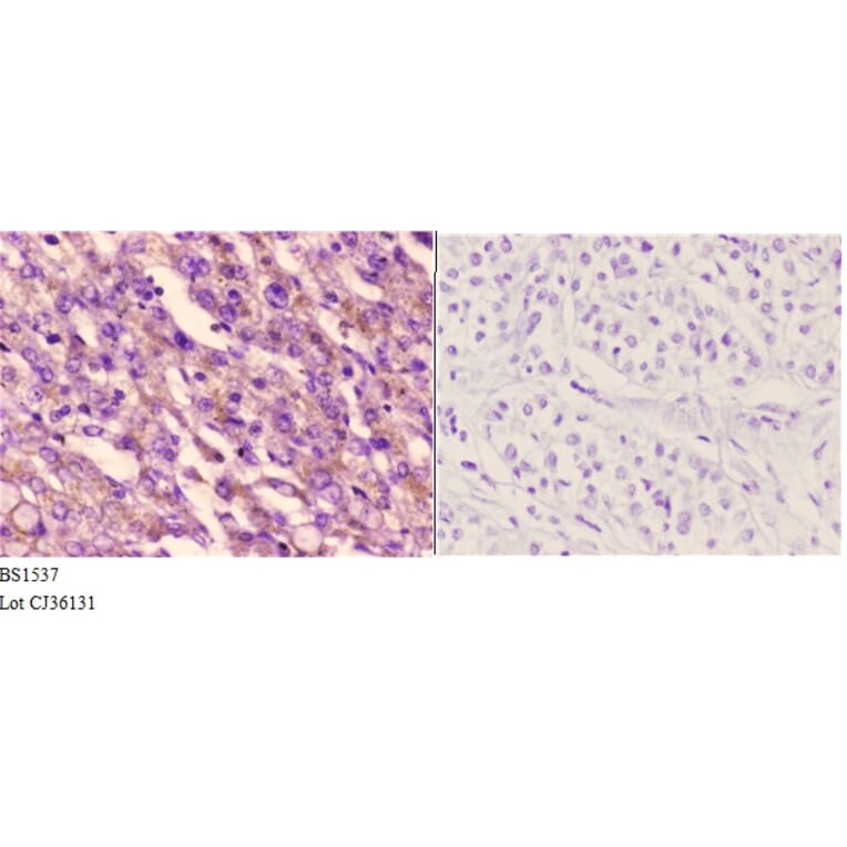
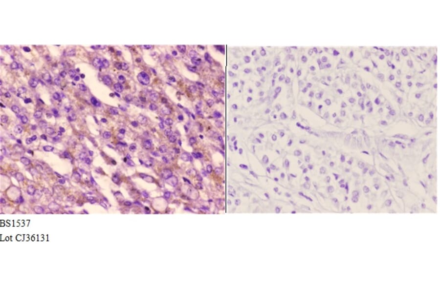
Anti-ETK (L562) Antibody (A25563)

This product is discontinued

Anti-ETK (L562) Antibody (A25563) has been discontinued and is no longer available.

View all available products.

Name
Anti-ETK (L562) Antibody
Description
Rabbit polyclonal antibody to ETK (L562)
Specificity
ETK (L562) pAb detects endogenous levels of ETK protein.
Applications
WB, IHC, IF
Reactivity
Human, Mouse, Rat
Immunogen
Synthetic peptide, corresponding to amino acids 550-600 of Human ETK.
Host
Rabbit
Clonality
Polyclonal
Conjugate

Unconjugated

Molecular Weight
~ 78 kDa
Purity
The antibody was affinity-purified from rabbit antiserum by affinity-chromatography using epitope-specific immunogen and the purity is > 95% (by SDS-PAGE).
Product Form
1 mg/ml in Phosphate buffered saline (PBS) with 15 mM sodium azide, approx. pH 7.2.
Disclaimer
This product is for research use only. It is not intended for diagnostic or therapeutic use.