ISO 9001:2015 Certified
Live Customer Support
4.5/5 on Trustpilot
100% Quality Guarantee

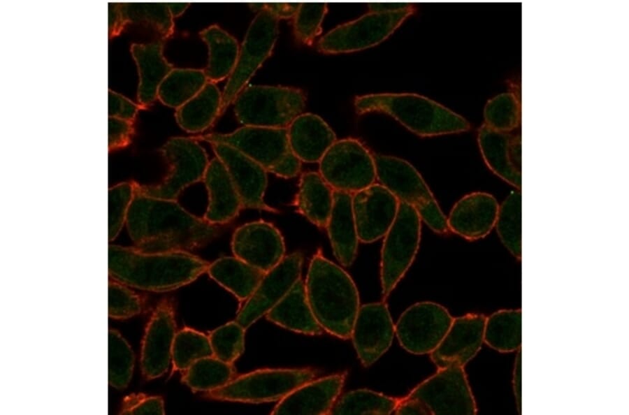
Anti-ETS2 Antibody [PCRP-ETS2-1D9] (A277585)

Mouse monoclonal [PCRP-ETS2-1D9] antibody to ETS2 for ELISA, Flow Cytometry, IF and IP.

Alternative Formats and ConjugatesAlternative Formats

Shipping Information

$40
Dispatched from St. Louis, MO.
Lead Time: 5-8 business days.
Name
Anti-ETS2 Antibody [PCRP-ETS2-1D9]
Description
Mouse monoclonal [PCRP-ETS2-1D9] antibody to ETS2.
Specificity
ETS2 (or Reln) is a large glycoprotein that is secreted by Cajal-Retzius cells in the forebrain and by granule neurons in the cerebellum. ETS2 was shown to be mutated in reeler mice, a mutation that is associated with widespread disruption of laminated regions of the brain, leading to impaired motor coordination, tremors and ataxia. ETS2 protein expression is complex and changes throughout development. ETS2 appears to function upstream of Dab1, in a signaling pathway that controls cell positioning in the developing brain, and is also thought to be a direct effector of the neurotrophin BDNF.
Applications
ELISA, Flow Cytometry, IF, IP
Dilutions
Flow Cytometry: 1-2 µg/million cells, IF: 1-2 µg/ml, IP: 1-2µg / 100-500µg proteins
Reactivity
Human
Immunogen
Recombinant full-length human ETS2 protein.
Host
Mouse
Clonality
Monoclonal
Clone ID
PCRP-ETS2-1D9
Isotype
IgG2b
Conjugate

Unconjugated

Purification
Protein A/G chromatography.
Concentration
200 µg/ml
Molecular Weight
52 kDa
Product Form
Liquid
Formulation
Supplied in 10mM Phosphate Buffered Saline with 0.05% BSA and 0.05% Sodium Azide.
Storage
Shipped at 4°C. Upon delivery aliquot and store at -20°C. Avoid freeze / thaw cycles.
General Notes
This monoclonal antibody is also available in a different formulation without BSA and Sodium Azide - Anti-ETS2 Antibody [PCRP-ETS2-1D9] - BSA and Azide free (A278173).
Synonyms
Protein C-ets-2
Disclaimer
This product is for research use only. It is not intended for diagnostic or therapeutic use.
Publishing research using Anti-ETS2 Antibody [PCRP-ETS2-1D9] (A277585)? Please let us know so that we can list the citation on this page.

Alternative products to Anti-ETS2 Antibody [PCRP-ETS2-1D9] (A277585)

Proteins predicted to interact with ETS2

Predicted protein interactions based upon String database. Revelancy score correlates with probability of interaction.
97% Relevancy Score
95.8% Relevancy Score
95.8% Relevancy Score
95.1% Relevancy Score
94.5% Relevancy Score
92.9% Relevancy Score
86.7% Relevancy Score
84.7% Relevancy Score
81.7% Relevancy Score