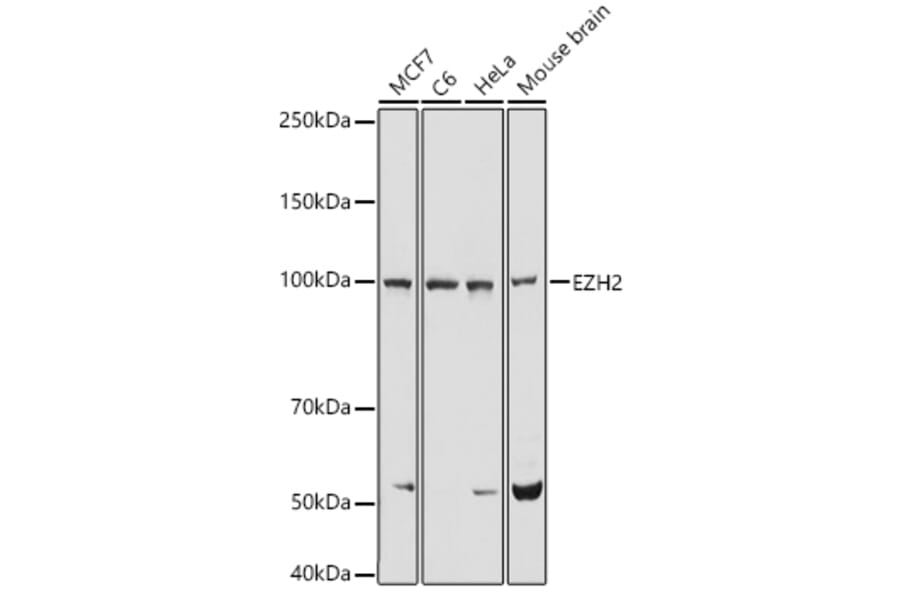
Western blot analysis of extracts of various cell lines, using Anti-EZH2 Antibody (A14944) at 1:1,000 dilution. The secondary antibody was Goat Anti-Rabbit IgG H&L Antibody (HRP) at 1:10,000 dilution. Lysates/proteins were present at 25µg per lane. The blocking buffer used was 3% non-fat dry milk in TBST. Detection was with a ECL Basic Kit. Exposure time: 5s.
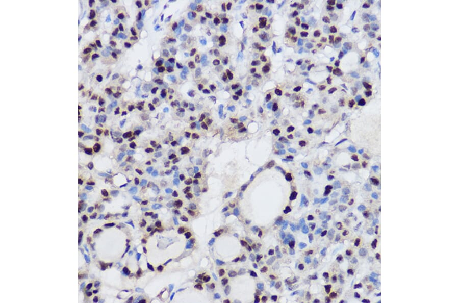
Immunohistochemistry analysis of paraffin-embedded human thyroid cancer using Anti-EZH2 Antibody (A14944) at a dilution of 1:100 (40x lens). Perform high pressure antigen retrieval with 10 mM citrate buffer pH 6.0 before commencing with IHC staining protocol.
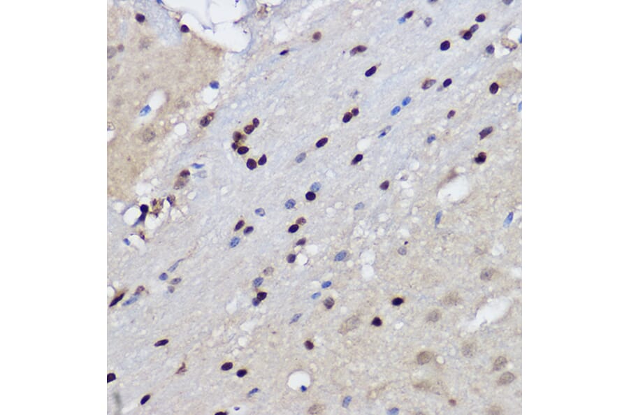
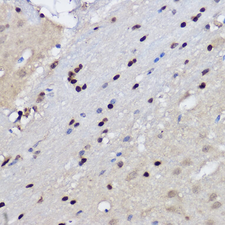
Immunohistochemistry analysis of paraffin-embedded mouse brain using Anti-EZH2 Antibody (A14944) at a dilution of 1:100 (40x lens). Perform high pressure antigen retrieval with 10 mM citrate buffer pH 6.0 before commencing with IHC staining protocol.
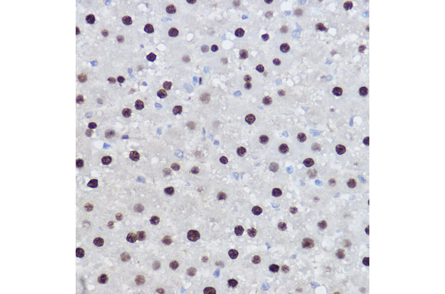
Immunohistochemistry analysis of paraffin-embedded rat liver using Anti-EZH2 Antibody (A14944) at a dilution of 1:100 (40x lens). Perform high pressure antigen retrieval with 10 mM citrate buffer pH 6.0 before commencing with IHC staining protocol.
Immunoprecipitation analysis of 300µg extracts of HeLa cells using 3µg of Anti-EZH2 Antibody (A14944). This Western blot was performed on the immunoprecipitate using Anti-EZH2 Antibody (A14944) at a dilution of 1:1000.