Primary Antibodies
Secondary Antibodies
Proteins & Peptides
ELISA Kits
About Us
Contact Us
Sign In/Register
0
ISO 9001:2015 Certified
Live Customer Support
4.5/5 on Trustpilot
100% Quality Guarantee
Home
Primary Antibodies
Ezrin Antibodies
Anti-EZR Antibody (A39140)
Anti-EZR Antibody (A39140)
Overview
Specifications
Images
Enlarge Image
Enlarge Image
$430
Product Datasheet
Rabbit polyclonal antibody to EZR for WB and IHC.
100% Guarantee
Price Match Guarantee
Product Size:
100µl
Quantity:
1
2
3
4
5
6
7
8
9
10
Add To Cart
Request a Quotation
Custom or Bulk Request
Shipping Information
Freight/Packing Charges:
$40
Dispatched from St. Louis, MO.
Lead Time: 6-9 business days.
Specifications
Name
Anti-EZR Antibody
Description
Rabbit polyclonal antibody to EZR
Specificity
The antibody detects endogenous levels of total EZR protein.
Applications
WB
,
IHC
Reactivity
Human, Mouse
Immunogen
Fusion protein corresponding to residues near the N terminal of human ezrin
Host
Rabbit
Clonality
Polyclonal
Conjugate
Unconjugated
Purification
Antigen affinity purification.
Concentration
0.7 mg/mL
Formulation
Supplied in PBS, pH 7.3, containing 0.05% sodium azide and 50% glycerol.
Storage
Shipped at 4°C. Upon delivery aliquot and store at -20°C. Avoid freeze/thaw cycles.
Synonyms
Cytovillin, p81, VIL2, Villin-2
Suitable Secondaries
Goat Anti-Rabbit IgG H&L Antibody (AP) (A294874)
Goat Anti-Rabbit IgG H&L Antibody (Biotin) (A294795)
Goat Anti-Rabbit IgG H&L Antibody (FITC) (A294887)
Goat Anti-Rabbit IgG H&L Antibody (HRP) (A294888)
See all Anti-Rabbit IgG Secondaries →
Disclaimer
This product is for research use only. It is not intended for diagnostic or therapeutic use.
Scientific Validation Data
Validation Data
(2)
Enlarge Image
Anti-EZR Antibody (A39140)
Gel: 6%SDS-PAGE Lysates (from left to right): Mouse kidney tissue Amount of lysate: 40ug per lane Primary antibody: 1/200 dilution Secondary antibody dilution: 1/8000 Exposure time: 30 seconds
Enlarge Image
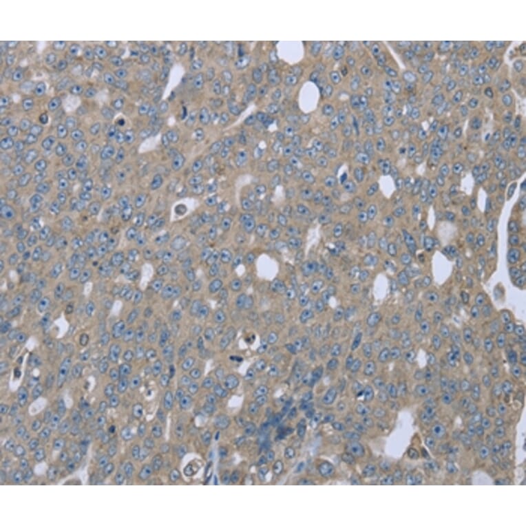
Immunohistochemistry - Anti-EZR Antibody (A39140)
Immunohistochemical analysis of paraffin-embedded Human ovarian cancer tissue using #36454 at dilution 1/20.
Publishing research using Anti-EZR Antibody (A39140)? Please
let us know
so that we can list the citation on this page.
Alternative products to Anti-EZR Antibody (A39140)
(4)
A95884
Anti-Ezrin Antibody
Rabbit polyclonal antibody to Ezrin for WB, IF and ELISA.
(3)
A84228
Anti-Ezrin Antibody
Goat polyclonal antibody to Ezrin for ELISA, WB and IHC.
(2)
A93856
Anti-Ezrin (phospho Thr566) Antibody
Rabbit polyclonal antibody to Ezrin (phospho Thr566) for WB and ELISA.
(3)
A37678
Anti-Ezrin Antibody
Rabbit polyclonal antibody to Ezrin for WB and IHC.
(5)
A250303
Anti-Ezrin Antibody [CPTC-Ezrin-1]
Mouse monoclonal [CPTC-Ezrin-1] antibody to Ezrin for WB and IHC-P.
(5)
A253483
Anti-Ezrin Antibody [CPTC-Ezrin-1] - BSA and Azide free
Mouse monoclonal [CPTC-Ezrin-1] antibody to Ezrin for WB and IHC-P.
(2)
A40491
Anti-Ezrin Antibody
Rabbit polyclonal antibody to Ezrin for ELISA and WB.
(2)
A25146
Anti-Ezrin (S539) Antibody
Rabbit polyclonal antibody to Ezrin (S539) for WB and IHC.
A93853
Anti-Ezrin (phospho Tyr478) Antibody
Rabbit polyclonal antibody to Ezrin (phospho Tyr478) for WB, IHC, IF and ELISA.
(2)
A93855
Anti-Ezrin (phospho Tyr146) Antibody
Rabbit polyclonal antibody to Ezrin (phospho Tyr146) for WB and ELISA.
A50950
Anti-Ezrin (Phospho-Thr567) Antibody
Rabbit polyclonal antibody to Ezrin (Phospho-Thr567) for WB.
A50586
Anti-Ezrin (Phospho-Thr566) Antibody
Rabbit polyclonal antibody to Ezrin (Phospho-Thr566) for WB and ELISA.
(4)
A95884
Anti-Ezrin Antibody
Rabbit polyclonal antibody to Ezrin for WB, IF and ELISA.
(3)
A84228
Anti-Ezrin Antibody
Goat polyclonal antibody to Ezrin for ELISA, WB and IHC.
(2)
A93856
Anti-Ezrin (phospho Thr566) Antibody
Rabbit polyclonal antibody to Ezrin (phospho Thr566) for WB and ELISA.
(3)
A37678
Anti-Ezrin Antibody
Rabbit polyclonal antibody to Ezrin for WB and IHC.
(5)
A250303
Anti-Ezrin Antibody [CPTC-Ezrin-1]
Mouse monoclonal [CPTC-Ezrin-1] antibody to Ezrin for WB and IHC-P.
(5)
A253483
Anti-Ezrin Antibody [CPTC-Ezrin-1] - BSA and Azide free
Mouse monoclonal [CPTC-Ezrin-1] antibody to Ezrin for WB and IHC-P.
(2)
A40491
Anti-Ezrin Antibody
Rabbit polyclonal antibody to Ezrin for ELISA and WB.
(2)
A25146
Anti-Ezrin (S539) Antibody
Rabbit polyclonal antibody to Ezrin (S539) for WB and IHC.
A93853
Anti-Ezrin (phospho Tyr478) Antibody
Rabbit polyclonal antibody to Ezrin (phospho Tyr478) for WB, IHC, IF and ELISA.
(2)
A93855
Anti-Ezrin (phospho Tyr146) Antibody
Rabbit polyclonal antibody to Ezrin (phospho Tyr146) for WB and ELISA.
A50950
Anti-Ezrin (Phospho-Thr567) Antibody
Rabbit polyclonal antibody to Ezrin (Phospho-Thr567) for WB.
A50586
Anti-Ezrin (Phospho-Thr566) Antibody
Rabbit polyclonal antibody to Ezrin (Phospho-Thr566) for WB and ELISA.
See all EZR Antibodies
Proteins predicted to interact with Ezrin
Predicted protein interactions based upon String database. Revelancy score correlates with probability of interaction.
NHERF-1 Antibodies
99.9% Relevancy Score
Moesin Antibodies
99.9% Relevancy Score
Radixin Antibodies
99.9% Relevancy Score
PRKACB Antibodies
99.8% Relevancy Score
CD54 Antibodies
99.8% Relevancy Score
PKA C alpha Antibodies
99.8% Relevancy Score
PRKACG Antibodies
99.8% Relevancy Score
NHERF2 Antibodies
99.8% Relevancy Score
NHE1 Antibodies
99.8% Relevancy Score
Top