ISO 9001:2015 Certified
Live Customer Support
4.5/5 on Trustpilot
100% Quality Guarantee

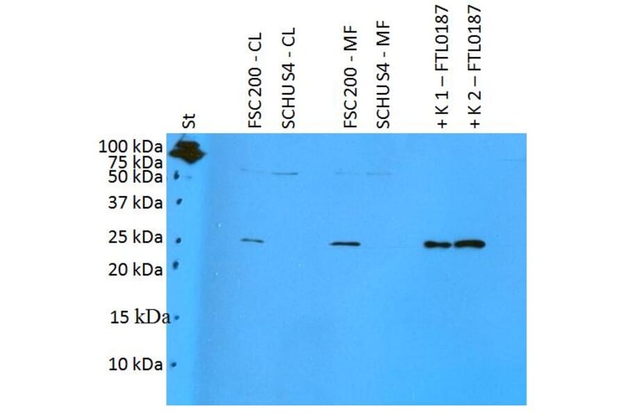
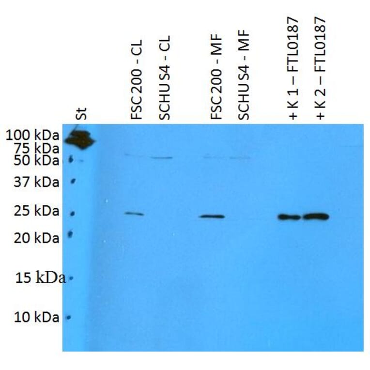
Anti-F. tularensis ssp. holarctica FTL0187 Antibody (A85975)

Rabbit polyclonal antibody to F. tularensis ssp. holarctica FTL0187 for WB and ELISA.

Shipping Information

$40
Dispatched from St. Louis, MO.
Lead Time: 5-8 business days.
Name
Anti-F. tularensis ssp. holarctica FTL0187 Antibody
Description
Rabbit polyclonal antibody to F. tularensis ssp. holarctica FTL0187.
Specificity
This antibody reacts with Francisella tularensis subsp. holarctica cyclohexadienyl dehydratase (FTL0187, also known as FTL_0187). This antibody does not react with Francisella tularensis subsp. tularensis homolog.
Applications
WB, ELISA
Reactivity
Francisella tularensis ssp. holarctica
Immunogen
Recombinant FLT0187 (cyclohexadienyl dehydratase) protein, expressed in and purified from E. coli.
Host
Rabbit
Clonality
Polyclonal
Isotype
IgG
Conjugate

Unconjugated

Purification
Affinity chromatography.
Concentration
1 mg/ml
Product Form
Liquid
Formulation
Supplied in Phosphate Buffered Saline, pH 7.4, with 15 mM Sodium Azide.
Storage
Shipped at 4°C. Upon delivery aliquot and store at -20°C. Avoid freeze/thaw cycles.
Disclaimer
This product is for research use only. It is not intended for diagnostic or therapeutic use.
Publishing research using Anti-F. tularensis ssp. holarctica FTL0187 Antibody (A85975)? Please let us know so that we can list the citation on this page.