Rabbit polyclonal antibody to F. tularensis ssp. tularensis FTT0571.
Specificity
This antibody reacts with Francisella tularensis subsp. tularensis antigen FTT0571 (FTT_0571). This antibody does not react with Francisella tularensis subsp. holarctica homolog.
Applications
WB, ELISA
Reactivity
Francisella tularensis ssp. tularensis
Immunogen
Recombinant FTT0571 protein, expressed in and purified from E. coli.
Host
Rabbit
Clonality
Polyclonal
Isotype
IgG
Conjugate
Unconjugated
Purification
Affinity chromatography.
Concentration
1 mg/ml
Product Form
Liquid
Formulation
Supplied in Phosphate Buffered Saline, pH 7.4, with 15 mM Sodium Azide.
Storage
Shipped at 4°C. Upon delivery aliquot and store at -20°C. Avoid freeze/thaw cycles.
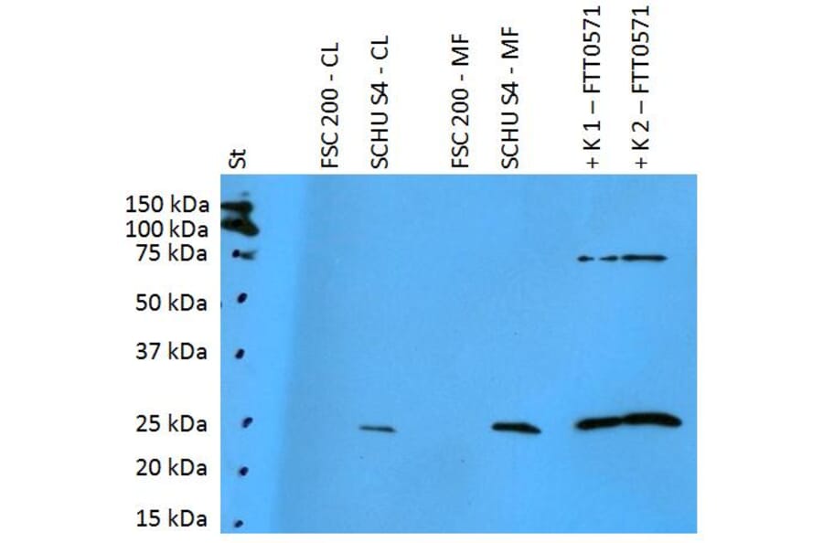
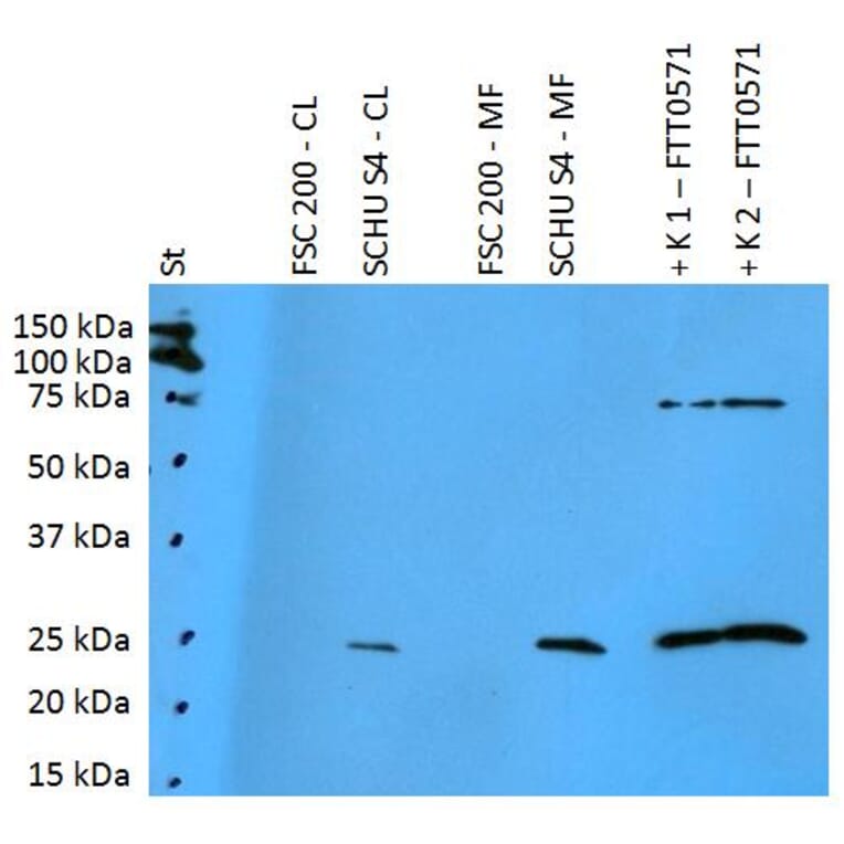
Western Blot - Anti-F. tularensis ssp. tularensis FTT0571 Antibody (A86210)
Western blotting analysis of Anti-FTT0571 Antibody (A86210). St: Mw marker. FSC200-CL: 10 µg of F. tularensis ssp. holarctica FSC200 cell lysate. SCHUS4-CL: 10 µg of F. tularensis ssp. tularensis SCHU S4 cell lysate. FSC200-MF: 10 µg of F. tularensis ssp. holarctica FSC200 membrane fraction. SCHUS4-CL: 10 µg of F. tularensis ssp. tularensis SCHU S4 membrane fraction. K1: 50 ng of FTT0571 recombinant protein. K2: 125 ng of FTT0571 recombinant protein.
Publishing research using Anti-F. tularensis ssp. tularensis FTT0571 Antibody (A86210)? Please let us know so that we can list the citation on this page.