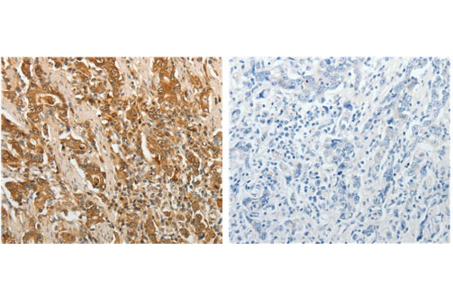
The image on the left is immunohistochemistry of paraffin-embedded human gastric cancer tissue using 31131 (F3 Antibody) at dilution 1/25, on the right is treated with the fusion protein.
Publishing research using Anti-F3 Antibody (A48638)? Please let us know so that we can list the citation on this page.
Recombinant human monoclonal antibody to Tissue Factor for use as a research grade Tisotumab biosimi for ELISA, Flow Cytometry, Functional Studies and in vivo Research.
Recombinant human monoclonal antibody to Tissue Factor for use as a research grade Samatatug biosimi for ELISA, Flow Cytometry, Functional Studies and in vivo Research.
Recombinant human monoclonal antibody to Tissue Factor for use as a research grade MORAb-066 biosimi for ELISA, Flow Cytometry, Functional Studies and in vivo Research.
Recombinant human monoclonal antibody to Tissue Factor for use as a research grade EDO-B278 biosimil for ELISA, Flow Cytometry, Functional Studies and in vivo Research.
Recombinant human monoclonal antibody to Tissue Factor for use as a research grade TNX-832 biosimila for ELISA, Flow Cytometry, Functional Studies and in vivo Research.
Recombinant human monoclonal antibody to Tissue Factor for use as a research grade Tisotumab biosimi for ELISA, Flow Cytometry, Functional Studies and in vivo Research.
Recombinant human monoclonal antibody to Tissue Factor for use as a research grade Samatatug biosimi for ELISA, Flow Cytometry, Functional Studies and in vivo Research.
Recombinant human monoclonal antibody to Tissue Factor for use as a research grade MORAb-066 biosimi for ELISA, Flow Cytometry, Functional Studies and in vivo Research.
Recombinant human monoclonal antibody to Tissue Factor for use as a research grade EDO-B278 biosimil for ELISA, Flow Cytometry, Functional Studies and in vivo Research.
Recombinant human monoclonal antibody to Tissue Factor for use as a research grade TNX-832 biosimila for ELISA, Flow Cytometry, Functional Studies and in vivo Research.