ISO 9001:2015 Certified
Live Customer Support
4.5/5 on Trustpilot
100% Quality Guarantee

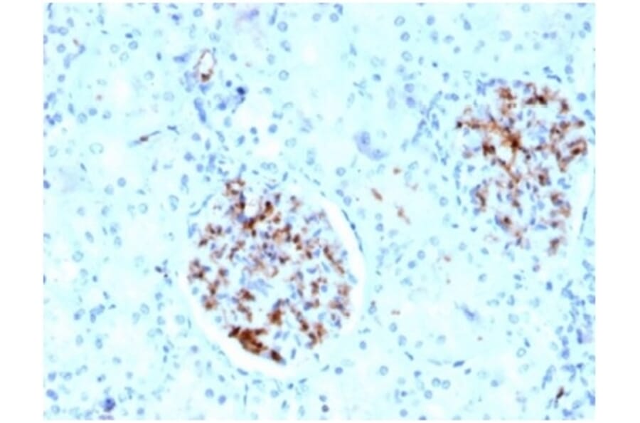
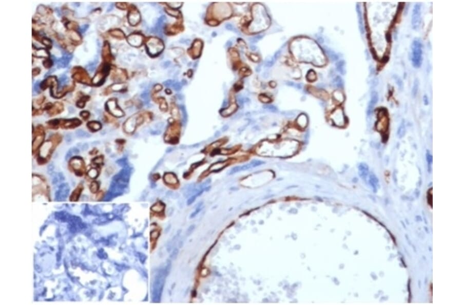
Anti-FABP4 Antibody [FABP4/4429] - BSA and Azide free (A278178)

Mouse monoclonal [FABP4/4429] antibody to FABP4 for IHC-P.

Alternative Formats and ConjugatesAlternative Formats

Shipping Information

$40
Dispatched from St. Louis, MO.
Lead Time: 5-8 business days.
Name
Anti-FABP4 Antibody [FABP4/4429] - BSA and Azide free
Description
Mouse monoclonal [FABP4/4429] antibody to FABP4.
Specificity
Fatty acid-binding proteins, designated FABPs, are a family of homologous, cytoplasmic proteins that are expressed in a highly tissue-specific manner and play an integral role in the balance between lipid and carbohydrate metabolism. FABPs mediate fatty acid (FA) and/or hydrophobic ligand uptake, transport and targeting within their respective tissues. The mechanisms underlying these actions can give rise to both passive diffusional uptake and protein-mediated transmembrane transport of FAs. FABPs are expressed in adipocytes (A-FABP), brain (B-FABP), epidermis (E-FABP, also designated psoriasis-associated FABP or PA-FABP), muscle and heart (H-FABP, also designated mammary-derived growth inhibitor or MDGI), intestine (I-FABP), liver (L-FABP), myelin (M-FABP) and testis (T-FABP). The human A-FABP gene is organized into 4 exons, maps to chromosome 8q21.13, and encodes a 132 amino acid protein. A-FABP protein comprises approximately 1% of the total cytosolic protein in human adipose tissue.
Applications
IHC-P
Dilutions
IHC-P: 1-2 µg/ml
Reactivity
Human
Immunogen
Recombinant fragment, around amino acids 1-132, of human FABP4 protein. The exact sequence is proprietary.
Host
Mouse
Clonality
Monoclonal
Clone ID
FABP4/4429
Isotype
IgG2b
Light Chains
kappa
Conjugate

Unconjugated

Purification
Protein A/G chromatography.
Concentration
1 mg/ml
Molecular Weight
15 kDa
Product Form
Liquid
Formulation
Supplied in 10mM Phosphate Buffered Saline; without Sodium Azide and carrier free.
Storage
Shipped at 4°C. Upon delivery aliquot and store at -20°C. Avoid freeze / thaw cycles.
General Notes
This monoclonal antibody is also available in a different formulation with BSA and Sodium Azide - Anti-FABP4 Antibody [FABP4/4429] (A277590).
Synonyms
A-FABP, Adipocyte lipid-binding protein, Adipocyte-type fatty acid-binding protein, AFABP, ALBP, Fatty acid-binding protein 4, Fatty acid-binding protein, adipocyte
Disclaimer
This product is for research use only. It is not intended for diagnostic or therapeutic use.
Publishing research using Anti-FABP4 Antibody [FABP4/4429] - BSA and Azide free (A278178)? Please let us know so that we can list the citation on this page.

Alternative products to Anti-FABP4 Antibody [FABP4/4429] - BSA and Azide free (A278178)

Proteins predicted to interact with FABP4

Predicted protein interactions based upon String database. Revelancy score correlates with probability of interaction.
99.9% Relevancy Score
99.3% Relevancy Score
96.9% Relevancy Score
96.5% Relevancy Score
94.2% Relevancy Score
92.7% Relevancy Score
91.4% Relevancy Score
90.4% Relevancy Score
90.4% Relevancy Score