ISO 9001:2015 Certified
Live Customer Support
4.5/5 on Trustpilot
100% Quality Guarantee

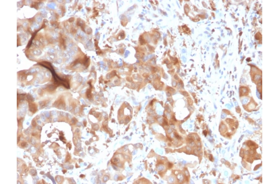
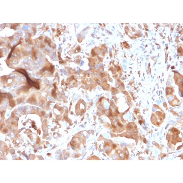
Anti-FABP5 Antibody [CPTC-FABP5-3] - BSA and Azide free (A251706)

Mouse monoclonal [CPTC-FABP5-3] antibody to FABP5 for WB and IHC-P.

Alternative Formats and ConjugatesAlternative Formats

Shipping Information

$40
Dispatched from St. Louis, MO.
Lead Time: 5-8 business days.
Name
Anti-FABP5 Antibody [CPTC-FABP5-3] - BSA and Azide free
Description
Mouse monoclonal [CPTC-FABP5-3] antibody to FABP5.
Specificity
This gene encodes the fatty acid binding protein found in epidermal cells, and was first identified as being upregulated in psoriasis tissue. Fatty acid binding proteins are a family of small, highly conserved, cytoplasmic proteins that bind long-chain fatty acids and other hydrophobic ligands. FABPs may play roles in fatty acid uptake, transport, and metabolism. Polymorphisms in this gene are associated with type 2 diabetes. The human genome contains many pseudogenes similar to this locus. FABP5 is also associated with poor survival in triple-negative breast cancer. Additionally, FABP5 gene is upregulated in colorectal cancer cells compared to normal colon cells in a manner that correlates with disease stage and that FABP5 significantly promotes colorectal cancer cell growth and metastatic potential.
Applications
WB, IHC-P
Dilutions
WB: 1-2 µg/ml, IHC-P: 1-2 µg/ml
Reactivity
Human
Immunogen
Recombinant full-length human FABP5 protein.
Host
Mouse
Clonality
Monoclonal
Clone ID
CPTC-FABP5-3
Isotype
IgG2a
Light Chains
kappa
Conjugate

Unconjugated

Purification
Protein A/G chromatography.
Concentration
1 mg/ml
Molecular Weight
15.4 kDa
Product Form
Liquid
Formulation
Supplied in 10mM Phosphate Buffered Saline; without Sodium Azide and carrier free.
Storage
Shipped at 4°C. Upon delivery aliquot and store at -20°C. Avoid freeze / thaw cycles.
General Notes
This monoclonal antibody is also available in a different formulation with BSA and Sodium Azide - Anti-FABP5 Antibody [CPTC-FABP5-3] (A248524).
Synonyms
E-FABP, Epidermal-type fatty acid-binding protein, Fatty acid-binding protein 5, Fatty acid-binding protein, epidermal, PA-FABP, Psoriasis-associated fatty acid-binding protein homolog
Disclaimer
This product is for research use only. It is not intended for diagnostic or therapeutic use.
Publishing research using Anti-FABP5 Antibody [CPTC-FABP5-3] - BSA and Azide free (A251706)? Please let us know so that we can list the citation on this page.

Alternative products to Anti-FABP5 Antibody [CPTC-FABP5-3] - BSA and Azide free (A251706)

Proteins predicted to interact with FABP5

Predicted protein interactions based upon String database. Revelancy score correlates with probability of interaction.
98.8% Relevancy Score
89.6% Relevancy Score
89.1% Relevancy Score
88.3% Relevancy Score
82.8% Relevancy Score
77% Relevancy Score
75.6% Relevancy Score
74.2% Relevancy Score
74.2% Relevancy Score