Western Blot - Anti-FACL4 Antibody [ARC53209] (A306923)
Western blot analysis of extracts of various lysates, using Anti-FACL4 Antibody [ARC53209] (A306923) at 1:4,000 dilution. The secondary antibody was Goat Anti-Rabbit IgG H&L Antibody (HRP) at 1:10,000 dilution. Lysates/proteins were present at 25µg per lane. The blocking buffer used was 3% non-fat dry milk in TBST. Detection was with a ECL Basic Kit. Exposure time: 0. 3s.
Western Blot - Anti-FACL4 Antibody [ARC53209] (A306923)
Western blot analysis of extracts of Rat liver, using Anti-FACL4 Antibody [ARC53209] (A306923) at 1:24000 dilution. The secondary antibody was Goat Anti-Rabbit IgG H&L Antibody (HRP) at 1:10,000 dilution. Lysates/proteins were present at 25µg per lane. The blocking buffer used was 3% non-fat dry milk in TBST. Detection was with a ECL Basic Kit. Exposure time: 10s.
Western Blot - Anti-FACL4 Antibody [ARC53209] (A306923)
Western blot analysis of extracts of Mouse liver, using Anti-FACL4 Antibody [ARC53209] (A306923) at 1:24000 dilution. The secondary antibody was Goat Anti-Rabbit IgG H&L Antibody (HRP) at 1:10,000 dilution. Lysates/proteins were present at 25µg per lane. The blocking buffer used was 3% non-fat dry milk in TBST. Detection was with a ECL Basic Kit. Exposure time: 30s.
Immunohistochemistry analysis of paraffin-embedded human colon carcinoma tissue using Anti-FACL4 Antibody [ARC53209] (A306923) at a dilution of 1:200(40x lens). Perform high pressure antigen retrieval with 10 mM citrate buffer pH 6.0 before commencing with IHC staining protocol.
Immunohistochemistry analysis of paraffin-embedded human lung using Anti-FACL4 Antibody [ARC53209] (A306923) at a dilution of 1:200(40x lens). Perform high pressure antigen retrieval with 10 mM citrate buffer pH 6.0 before commencing with IHC staining protocol.
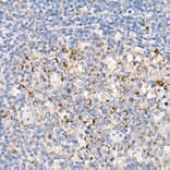
Immunohistochemistry analysis of paraffin-embedded human tonsil using Anti-FACL4 Antibody [ARC53209] (A306923) at a dilution of 1:200(40x lens). Perform high pressure antigen retrieval with 10 mM citrate buffer pH 6.0 before commencing with IHC staining protocol.
Immunohistochemistry analysis of paraffin-embedded mouse spinal cord using Anti-FACL4 Antibody [ARC53209] (A306923) at a dilution of 1:200(40x lens). Perform high pressure antigen retrieval with 10 mM citrate buffer pH 6.0 before commencing with IHC staining protocol.
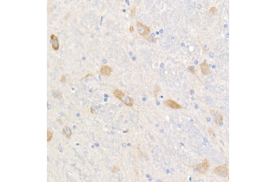
Immunohistochemistry analysis of paraffin-embedded rat brain using Anti-FACL4 Antibody [ARC53209] (A306923) at a dilution of 1:200(40x lens). Perform high pressure antigen retrieval with 10 mM citrate buffer pH 6.0 before commencing with IHC staining protocol.
Confocal imaging of HepG2 cells using Anti-FACL4 Antibody [ARC53209] (A306923), at a dilution of 1:1000, (red). DAPI was used for nuclear staining (Blue). Objective: 60x.
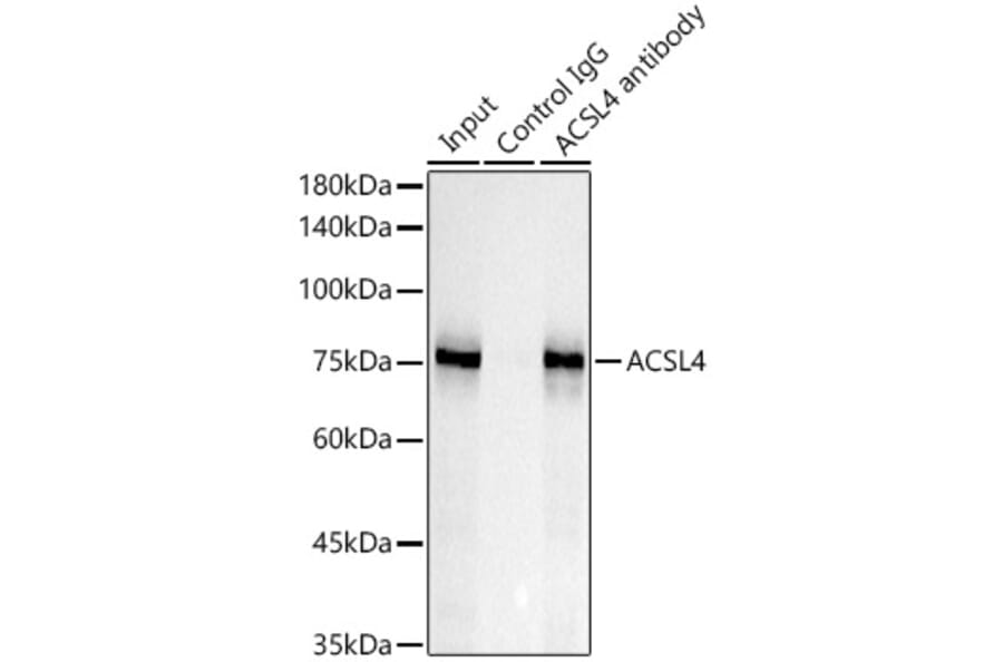
Western Blot - Anti-FACL4 Antibody [ARC53209] (A306923)
Immunoprecipitation analysis of 300µg extracts of HepG2 cells using 3µg of Anti-FACL4 Antibody [ARC53209] (A306923). This Western blot was performed on the immunoprecipitate using Anti-FACL4 Antibody [ARC53209] (A306923) at a dilution of 1:1000.