ISO 9001:2015 Certified
Live Customer Support
4.5/5 on Trustpilot
100% Quality Guarantee

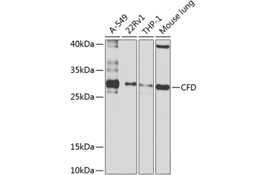
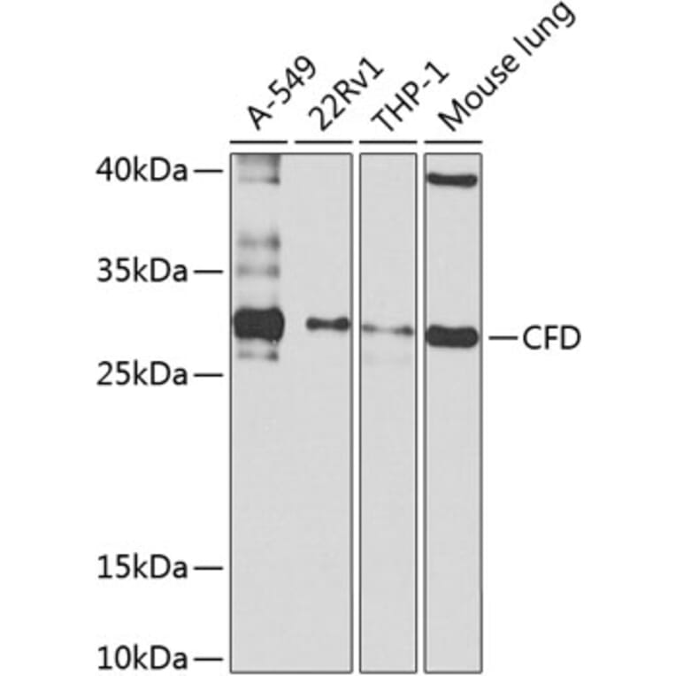
Anti-Factor D/CFD Antibody (A10302)

Rabbit polyclonal antibody to Factor D/CFD for WB.

Shipping Information

$40
Dispatched from St. Louis, MO.
Lead Time: 7-10 business days.
Name
Anti-Factor D/CFD Antibody
Description
Rabbit polyclonal antibody to Factor D/CFD.
Applications
WB
Dilutions
WB: 1:500-1:2,000
Reactivity
Human, Mouse
Immunogen
Recombinant fusion protein containing a sequence corresponding to amino acids 26-253 of human CFD (NP_001919.2).
Sequence
ILGGREAEAHARPYMASVQLNGAHLCGGVLVAEQWVLSAAHCLEDAADGKVQVLLGAHSLSQPEPSKRLYDVLRAVPHPDSQPDTIDHDLLLLQLSEKATLGPAVRPLPWQRVDRDVAPGTLCDVAGWGIVNHAGRRPDSLQHVLLPVLDRATCNRRTHHDGAITERLMCAESNRRDSCKGDSGGPLVCGGVLEGVVTSGSRVCGNRKKPGIYTRVASYAAWIDSVLA
Host
Rabbit
Clonality
Polyclonal
Isotype
IgG
Conjugate

Unconjugated

Purification
Affinity purification.
Concentration
Lot Specific
Molecular Weight
27 kDa
Product Form
Liquid
Formulation
Supplied in Phosphate Buffered Saline, pH 7.3, with 50% Glycerol and 0.02% Sodium Azide.
Storage
Shipped at 4°C. Upon delivery aliquot and store at -20°C. Avoid freeze/thaw cycles.
Disclaimer
This product is for research use only. It is not intended for diagnostic or therapeutic use.
Publishing research using Anti-Factor D/CFD Antibody (A10302)? Please let us know so that we can list the citation on this page.