ISO 9001:2015 Certified
Live Customer Support
4.5/5 on Trustpilot
100% Quality Guarantee

Anti-Factor XII Antibody (A13597)

This product is discontinued

Anti-Factor XII Antibody (A13597) has been discontinued and is no longer available.

View all Factor XII Antibodies.

Name
Anti-Factor XII Antibody
Description
Rabbit polyclonal antibody to Factor XII.
Applications
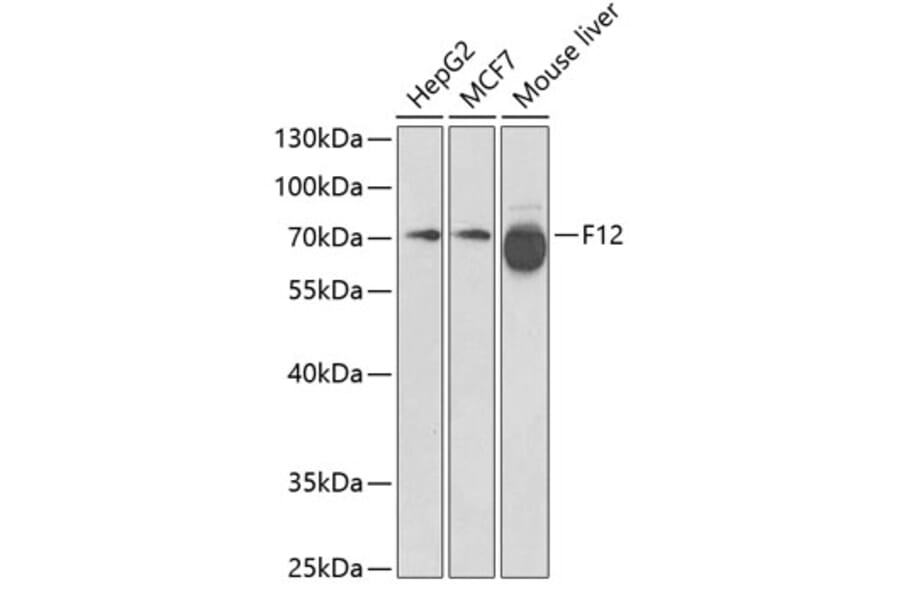
WB
Dilutions
WB: 1:500-1:2,000
Reactivity
Human, Mouse
Immunogen
Recombinant fusion protein containing a sequence corresponding to amino acids 336-615 of human F12 (NP_000496.2).
Sequence
QTPGALPAKREQPPSLTRNGPLSCGQRLRKSLSSMTRVVGGLVALRGAHPYIAALYWGHSFCAGSLIAPCWVLTAAHCLQDRPAPEDLTVVLGQERRNHSCEPCQTLAVRSYRLHEAFSPVSYQHDLALLRLQEDADGSCALLSPYVQPVCLPSGAARPSETTLCQVAGWGHQFEGAEEYASFLQEAQVPFLSLERCSAPDVHGSSILPGMLCAGFLEGGTDACQGDSGGPLVCEDQAAERRLTLQGIISWGSGCGDRNKPGVYTDVAYYLAWIREHTVS
Host
Rabbit
Clonality
Polyclonal
Isotype
IgG
Conjugate

Unconjugated

Purification
Affinity purification.
Molecular Weight
71 kDa
Product Form
Liquid
Formulation
Supplied in Phosphate Buffered Saline, pH 7.3, with 50% Glycerol and 0.02% Sodium Azide.
Storage
Shipped at 4°C. Upon delivery aliquot and store at -20°C. Avoid freeze / thaw cycles.
Synonyms
Coagulation factor XII, F12, HAF, Hageman factor
Disclaimer
This product is for research use only. It is not intended for diagnostic or therapeutic use.

Alternative products to Anti-Factor XII Antibody (A13597)

Proteins predicted to interact with Factor XII

Predicted protein interactions based upon String database. Revelancy score correlates with probability of interaction.
99.8% Relevancy Score
98.7% Relevancy Score
97.2% Relevancy Score
96.9% Relevancy Score
96.6% Relevancy Score
96.5% Relevancy Score
95.4% Relevancy Score
93.7% Relevancy Score
88% Relevancy Score