ISO 9001:2015 Certified
Live Customer Support
4.5/5 on Trustpilot
100% Quality Guarantee

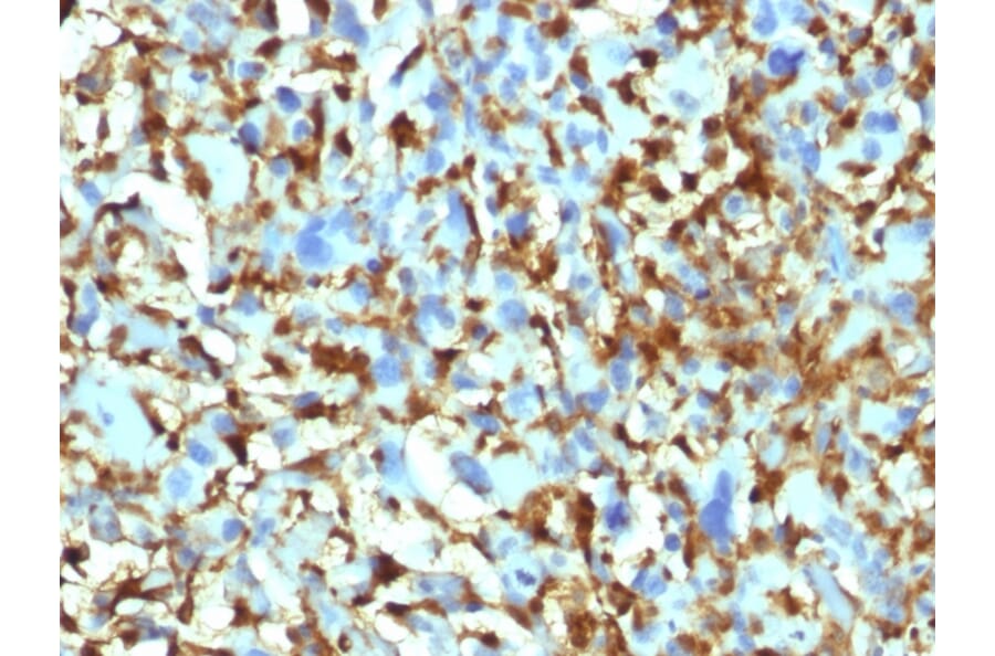
Anti-Factor XIIIa Antibody [F13A1/1448] - BSA and Azide free (A251694)

Mouse monoclonal [F13A1/1448] antibody to Factor XIIIa for ELISA, Flow Cytometry, IF, WB and IHC-P.

Alternative Formats and ConjugatesAlternative Formats

Shipping Information

$40
Dispatched from St. Louis, MO.
Lead Time: 5-8 business days.
Name
Anti-Factor XIIIa Antibody [F13A1/1448] - BSA and Azide free
Description
Mouse monoclonal [F13A1/1448] antibody to Factor XIIIa.
Specificity
The specificity of this monoclonal antibody to its intended target was validated by HuProtTM Array, containing more than 19,000 full-length human proteins. It recognizes a protein of 83kDa, which is identified as Factor XIIIa. It has been identified in platelets, megakaryocytes, and fibroblast-like mesenchymal or histiocytic cells in the placenta, uterus, and prostate, monocytes and macrophages and dermal dendritic cells. Anti-factor XIIIa has been found to be useful in differentiating between dermatofibroma (almost all cases are positive), dermatofibrosarcoma protuberans (-/+) and desmoplastic malignant melanoma (-). Anti-factor XIIIa positivity is also seen in capillary hemagioblastoma, hemangioendothelioma, hemangiopericytoma, xanthogranuloma, xanthoma, hepatocellular carcinoma, glomus tumor, and meningioma.
Applications
ELISA, Flow Cytometry, IF, WB, IHC-P
Dilutions
Flow Cytometry: 1-2 µg/million cells, IF: 1-2 µg/ml, WB: 1-2 µg/ml, IHC-P: 1-2 µg/ml
Reactivity
Human
Immunogen
Recombinant fragment, around amino acids 46-181, of human Factor XIIIa protein. The exact sequence is proprietary.
Host
Mouse
Clonality
Monoclonal
Clone ID
F13A1/1448
Isotype
IgG2b
Light Chains
kappa
Conjugate

Unconjugated

Purification
Protein A/G chromatography.
Concentration
1 mg/ml
Molecular Weight
83 kDa
Product Form
Liquid
Formulation
Supplied in 10mM Phosphate Buffered Saline; without Sodium Azide and carrier free.
Storage
Shipped at 4°C. Upon delivery aliquot and store at -20°C. Avoid freeze / thaw cycles.
General Notes
This monoclonal antibody is also available in a different formulation with BSA and Sodium Azide - Anti-Factor XIIIa Antibody [F13A1/1448] (A248512).
Synonyms
Coagulation factor XIII A chain, Coagulation factor XIIIa, F13A, F13A1, Protein-glutamine gamma-glutamyltransferase A chain, Transglutaminase A chain
Disclaimer
This product is for research use only. It is not intended for diagnostic or therapeutic use.
Publishing research using Anti-Factor XIIIa Antibody [F13A1/1448] - BSA and Azide free (A251694)? Please let us know so that we can list the citation on this page.

Alternative products to Anti-Factor XIIIa Antibody [F13A1/1448] - BSA and Azide free (A251694)

Proteins predicted to interact with Factor XIIIa

Predicted protein interactions based upon String database. Revelancy score correlates with probability of interaction.
99.7% Relevancy Score
95.4% Relevancy Score
78.4% Relevancy Score
78.3% Relevancy Score
71.3% Relevancy Score
70.7% Relevancy Score