Primary Antibodies
Secondary Antibodies
Proteins & Peptides
ELISA Kits
About Us
Contact Us
Sign In/Register
0
ISO 9001:2015 Certified
Live Customer Support
4.5/5 on Trustpilot
100% Quality Guarantee
Home
Primary Antibodies
FAIM Antibodies
Anti-FAIM Antibody (A38828)
Anti-FAIM Antibody (A38828)
Overview
Specifications
Images
Enlarge Image
Enlarge Image
$430
Product Datasheet
Rabbit polyclonal antibody to FAIM for WB and IHC.
100% Guarantee
Price Match Guarantee
Product Size:
100µl
Quantity:
1
2
3
4
5
6
7
8
9
10
Add To Cart
Request a Quotation
Custom or Bulk Request
Shipping Information
Freight/Packing Charges:
$40
Dispatched from St. Louis, MO.
Lead Time: 6-9 business days.
Specifications
Name
Anti-FAIM Antibody
Description
Rabbit polyclonal antibody to FAIM
Specificity
The antibody detects endogenous levels of total FAIM protein.
Applications
WB
,
IHC
Reactivity
Human
Immunogen
Synthetic peptide corresponding to a region derived from internal residues of human Fas apoptotic inhibitory molecule
Host
Rabbit
Clonality
Polyclonal
Conjugate
Unconjugated
Purification
Antigen affinity purification.
Concentration
2.7 mg/mL
Formulation
Supplied in PBS, pH 7.3, containing 0.05% sodium azide and 50% glycerol.
Storage
Shipped at 4°C. Upon delivery aliquot and store at -20°C. Avoid freeze/thaw cycles.
Synonyms
FAIM1, Fas apoptotic inhibitory molecule 1
Suitable Secondaries
Goat Anti-Rabbit IgG H&L Antibody (AP) (A294874)
Goat Anti-Rabbit IgG H&L Antibody (Biotin) (A294795)
Goat Anti-Rabbit IgG H&L Antibody (FITC) (A294887)
Goat Anti-Rabbit IgG H&L Antibody (HRP) (A294888)
See all Anti-Rabbit IgG Secondaries →
Disclaimer
This product is for research use only. It is not intended for diagnostic or therapeutic use.
Scientific Validation Data
Validation Data
(2)
Enlarge Image
Anti-FAIM Antibody (A38828)
Gel: 10% SDS-PAGE Lysate: 40ug Raji cell Primary antibody: 1/200 dilution Secondary antibody dilution: 1/8000 Exposure time: 15 seconds
Enlarge Image
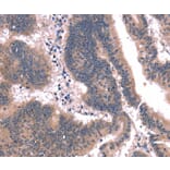
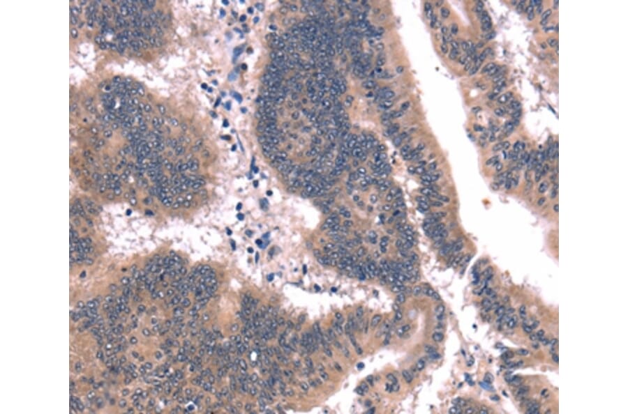
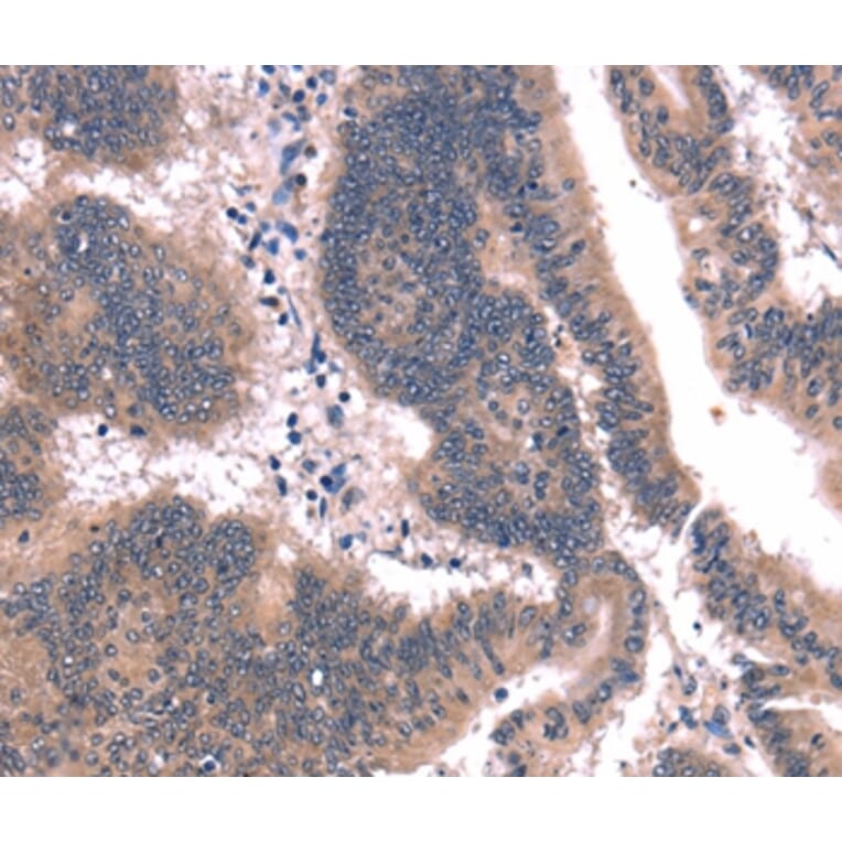
Immunohistochemistry - Anti-FAIM Antibody (A38828)
Immunohistochemical analysis of paraffin-embedded Human colon cancer tissue using #37562 at dilution 1/25.
Publishing research using Anti-FAIM Antibody (A38828)? Please
let us know
so that we can list the citation on this page.
Alternative products to Anti-FAIM Antibody (A38828)
(2)
A83464
Anti-FAIM1 Antibody
Goat polyclonal antibody to FAIM1 for ELISA, WB and IHC.
(2)
A38857
Anti-FAIM Antibody
Rabbit polyclonal antibody to FAIM for WB.
A49640
Anti-FAIM Antibody
Rabbit polyclonal antibody to FAIM for ELISA and WB.
(2)
A83464
Anti-FAIM1 Antibody
Goat polyclonal antibody to FAIM1 for ELISA, WB and IHC.
(2)
A38857
Anti-FAIM Antibody
Rabbit polyclonal antibody to FAIM for WB.
A49640
Anti-FAIM Antibody
Rabbit polyclonal antibody to FAIM for ELISA and WB.
Proteins predicted to interact with FAIM
Predicted protein interactions based upon String database. Revelancy score correlates with probability of interaction.
XIAP Antibodies
59.6% Relevancy Score
KIFAP3 Antibodies
59.5% Relevancy Score
FAH Antibodies
50.2% Relevancy Score
FAIM2 Antibodies
49.1% Relevancy Score
PDCD2 Antibodies
41.1% Relevancy Score
PKM2 Antibodies
37.1% Relevancy Score
IkB alpha Antibodies
37.1% Relevancy Score
GCIP Interacting Protein P29 Antibodies
35.5% Relevancy Score
CLASP1 Antibodies
35.3% Relevancy Score
Top