Primary Antibodies
Secondary Antibodies
Proteins & Peptides
ELISA Kits
About Us
Contact Us
Sign In/Register
0
ISO 9001:2015 Certified
Live Customer Support
4.5/5 on Trustpilot
100% Quality Guarantee
Home
Primary Antibodies
FAIM2 Antibodies
Anti-FAIM2 Antibody (A46002)
Anti-FAIM2 Antibody (A46002)
Overview
Specifications
Images
Enlarge Image
Enlarge Image
$430
Product Datasheet
Rabbit polyclonal antibody to FAIM2 for IHC.
100% Guarantee
Price Match Guarantee
Product Size:
100µl
Quantity:
1
2
3
4
5
6
7
8
9
10
Add To Cart
Request a Quotation
Custom or Bulk Request
Shipping Information
Freight/Packing Charges:
$40
Dispatched from St. Louis, MO.
Lead Time: 6-9 business days.
Specifications
Name
Anti-FAIM2 Antibody
Description
Rabbit polyclonal antibody to FAIM2
Specificity
The antibody detects endogenous levels of total FAIM2 protein.
Applications
IHC
Reactivity
Human
Immunogen
Fusion protein corresponding to residues near the N terminal of human Fas apoptotic inhibitory molecule 2
Host
Rabbit
Clonality
Polyclonal
Conjugate
Unconjugated
Purification
Antigen affinity purification.
Concentration
2.1 mg/mL
Formulation
Supplied in PBS, pH 7.3, containing 0.05% sodium azide and 50% glycerol.
Storage
Shipped at 4°C. Upon delivery aliquot and store at -20°C. Avoid freeze/thaw cycles.
Synonyms
Fas apoptotic inhibitory molecule 2, KIAA0950, LFG, LFG2, Neural membrane protein 35, NMP35, Protein lifeguard 2, TMBIM2, Transmembrane BAX inhibitor motif-containing protein 2
Suitable Secondaries
Goat Anti-Rabbit IgG H&L Antibody (AP) (A294874)
Goat Anti-Rabbit IgG H&L Antibody (Biotin) (A294795)
Goat Anti-Rabbit IgG H&L Antibody (FITC) (A294887)
Goat Anti-Rabbit IgG H&L Antibody (HRP) (A294888)
See all Anti-Rabbit IgG Secondaries →
Disclaimer
This product is for research use only. It is not intended for diagnostic or therapeutic use.
Scientific Validation Data
Validation Data
(2)
Enlarge Image
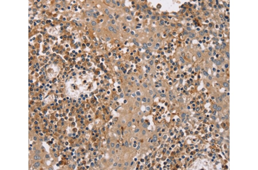
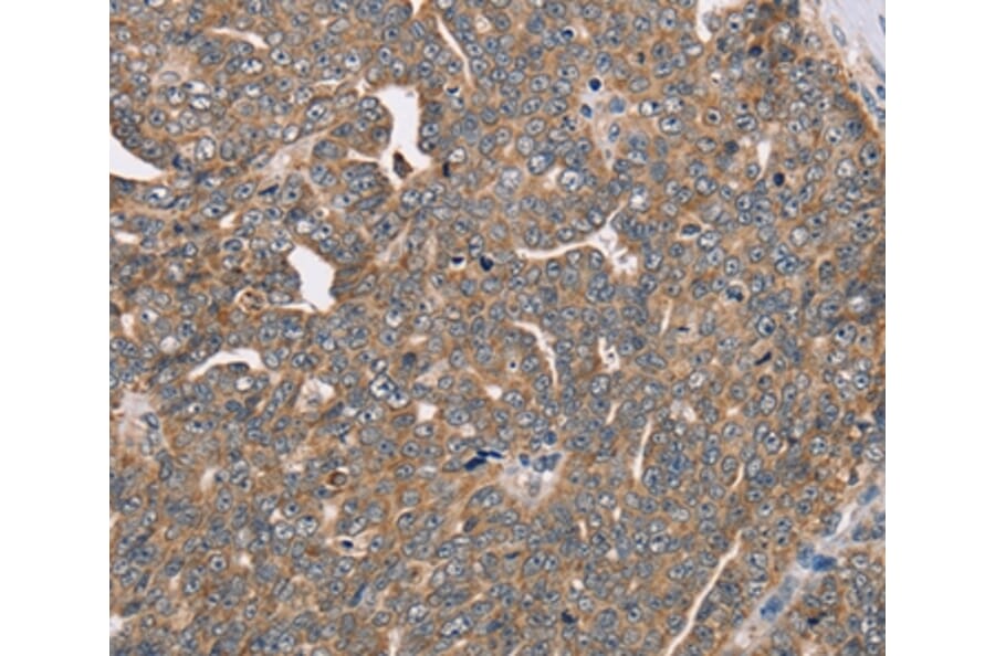
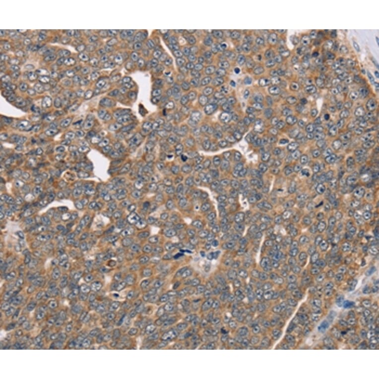
Immunohistochemistry - Anti-FAIM2 Antibody (A46002)
Immunohistochemical analysis of paraffin-embedded Human cervical cancer tissue using #36459 at dilution 1/40.
Enlarge Image
Immunohistochemistry - Anti-FAIM2 Antibody (A46002)
Immunohistochemical analysis of paraffin-embedded Human tonsil tissue using #36459 at dilution 1/40.
Publishing research using Anti-FAIM2 Antibody (A46002)? Please
let us know
so that we can list the citation on this page.
Alternative products to Anti-FAIM2 Antibody (A46002)
(2)
A48591
Anti-LFG Antibody
Rabbit polyclonal antibody to LFG for ELISA, WB and IHC.
(2)
A48591
Anti-LFG Antibody
Rabbit polyclonal antibody to LFG for ELISA, WB and IHC.
Proteins predicted to interact with FAIM2
Predicted protein interactions based upon String database. Revelancy score correlates with probability of interaction.
GNPDA2 Antibodies
77.7% Relevancy Score
LZTR2 Antibodies
77.3% Relevancy Score
BCDIN3D Antibodies
76.4% Relevancy Score
BclXL Antibodies
73.6% Relevancy Score
KCTD15 Antibodies
72% Relevancy Score
TMEM18 Antibodies
71.9% Relevancy Score
SH2B1 Antibodies
69.7% Relevancy Score
MTCH2 Antibodies
69.6% Relevancy Score
NEGR1 Antibodies
69% Relevancy Score
Top