Primary Antibodies
Secondary Antibodies
Proteins & Peptides
ELISA Kits
About Us
Contact Us
Sign In/Register
0
ISO 9001:2015 Certified
Live Customer Support
4.5/5 on Trustpilot
100% Quality Guarantee
Home
Primary Antibodies
FAM3B Antibodies
Anti-FAM3B Antibody (A46003)
Anti-FAM3B Antibody (A46003)
Overview
Specifications
Images
Enlarge Image
$430
Product Datasheet
Rabbit polyclonal antibody to FAM3B for IHC.
100% Guarantee
Price Match Guarantee
Product Size:
100µl
Quantity:
1
2
3
4
5
6
7
8
9
10
Add To Cart
Request a Quotation
Custom or Bulk Request
Shipping Information
Freight/Packing Charges:
$40
Dispatched from St. Louis, MO.
Lead Time: 6-9 business days.
Specifications
Name
Anti-FAM3B Antibody
Description
Rabbit polyclonal antibody to FAM3B
Specificity
The antibody detects endogenous levels of total FAM3B protein.
Applications
IHC
Reactivity
Human
Immunogen
Fusion protein corresponding to a region derived from internal residues of human family with sequence similarity 3, member B
Host
Rabbit
Clonality
Polyclonal
Conjugate
Unconjugated
Purification
Antigen affinity purification.
Concentration
1.6 mg/mL
Formulation
Supplied in PBS, pH 7.3, containing 0.05% sodium azide and 50% glycerol.
Storage
Shipped at 4°C. Upon delivery aliquot and store at -20°C. Avoid freeze/thaw cycles.
Synonyms
C21orf11, C21orf76, Cytokine-like protein 2-21, Pancreatic-derived factor, PANDER, Protein FAM3B
Suitable Secondaries
Goat Anti-Rabbit IgG H&L Antibody (AP) (A294874)
Goat Anti-Rabbit IgG H&L Antibody (Biotin) (A294795)
Goat Anti-Rabbit IgG H&L Antibody (FITC) (A294887)
Goat Anti-Rabbit IgG H&L Antibody (HRP) (A294888)
See all Anti-Rabbit IgG Secondaries →
Disclaimer
This product is for research use only. It is not intended for diagnostic or therapeutic use.
Scientific Validation Data
Validation Data
(1)
Enlarge Image
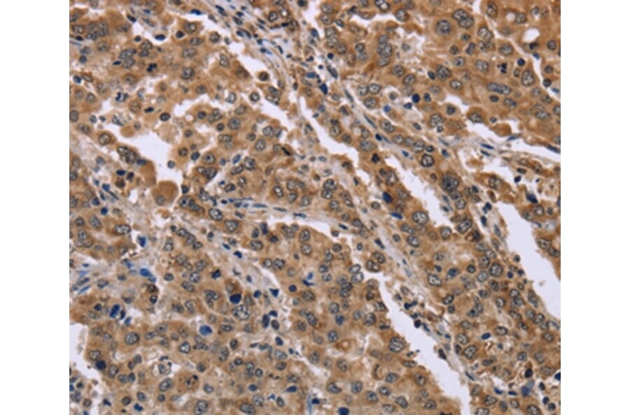
Immunohistochemistry - Anti-FAM3B Antibody (A46003)
Immunohistochemical analysis of paraffin-embedded Human liver cancer tissue using #36462 at dilution 1/40.
Publishing research using Anti-FAM3B Antibody (A46003)? Please
let us know
so that we can list the citation on this page.
Alternative products to Anti-FAM3B Antibody (A46003)
(4)
A13080
Anti-PANDER Antibody
Rabbit polyclonal antibody to PANDER for IHC and ICC/IF.
A43274
Anti-FAM3B Antibody
Rabbit polyclonal antibody to FAM3B for ICC/IF.
(4)
A13080
Anti-PANDER Antibody
Rabbit polyclonal antibody to PANDER for IHC and ICC/IF.
A43274
Anti-FAM3B Antibody
Rabbit polyclonal antibody to FAM3B for ICC/IF.
Proteins predicted to interact with FAM3B
Predicted protein interactions based upon String database. Revelancy score correlates with probability of interaction.
RPGR Antibodies
69.3% Relevancy Score
FUT3 Antibodies
69.3% Relevancy Score
C7orf10 Antibodies
60.9% Relevancy Score
C9orf89 Antibodies
59.3% Relevancy Score
MYOM2 Antibodies
55.4% Relevancy Score
MAVS Antibodies
50.8% Relevancy Score
Glycophorin C Antibodies
45.2% Relevancy Score
SH2D3A Antibodies
44.7% Relevancy Score
CBR1 Antibodies
43.1% Relevancy Score
Top