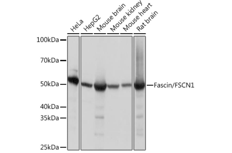
Western Blot - Anti-Fascin Antibody [ARC1638] (A306042)
Western blot analysis of extracts of various cell lines, using Anti-Fascin Antibody [ARC1638] (A306042) at 1:1,000 dilution. The secondary antibody was Goat Anti-Rabbit IgG H&L Antibody (HRP) at 1:10,000 dilution. Lysates/proteins were present at 25µg per lane. The blocking buffer used was 3% non-fat dry milk in TBST. Detection was with a ECL Basic Kit. Exposure time: 1s.
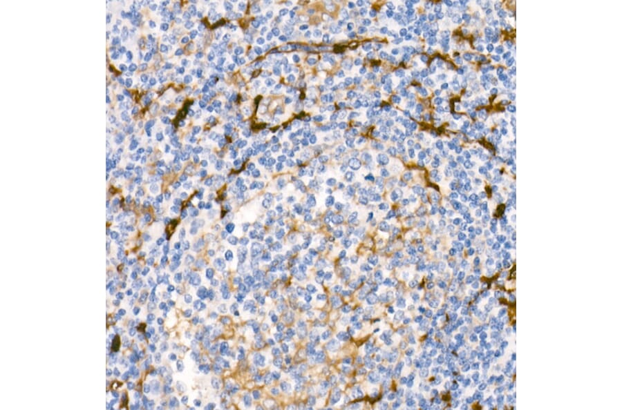
Immunohistochemistry analysis of paraffin-embedded human tonsil using Anti-Fascin Antibody [ARC1638] (A306042) at a dilution of 1:100 (40x lens). Perform microwave antigen retrieval with 10 mM Tris/EDTA buffer pH 9.0 before commencing with IHC staining protocol.
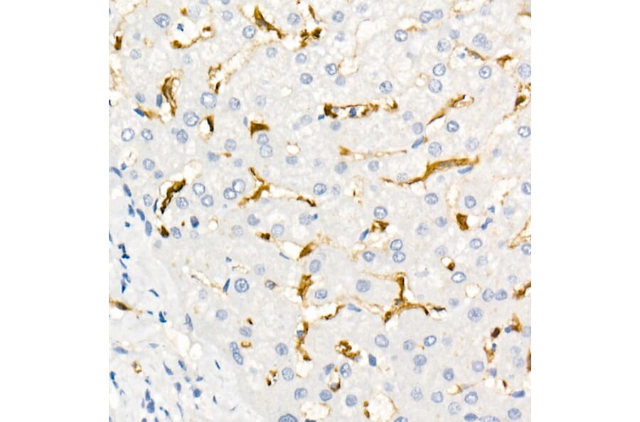
Immunohistochemistry analysis of paraffin-embedded human liver using Anti-Fascin Antibody [ARC1638] (A306042) at a dilution of 1:100 (40x lens). Perform microwave antigen retrieval with 10 mM Tris/EDTA buffer pH 9.0 before commencing with IHC staining protocol.
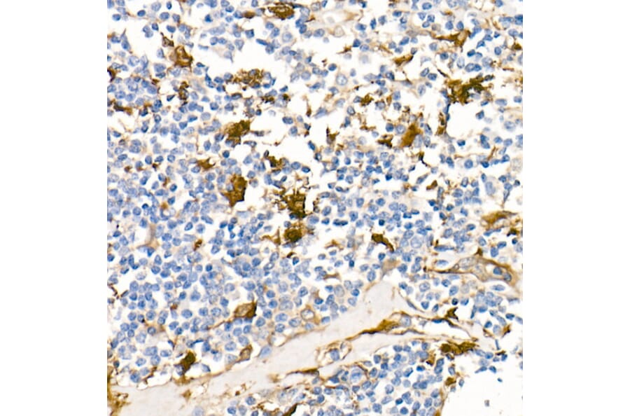
Immunohistochemistry analysis of paraffin-embedded human Hodgkin lymphoma (positive control antibody staining, clone 55k-2) using Anti-Fascin Antibody [ARC1638] (A306042) at a dilution of 1:100 (40x lens). Perform microwave antigen retrieval with 10 mM Tris/EDTA buffer pH 9.0 before commencing with IHC staining protocol.
Immunohistochemistry analysis of paraffin-embedded human liver (positive control antibody staining, clone 55k-2) using Anti-Fascin Antibody [ARC1638] (A306042) at a dilution of 1:100 (40x lens). Perform microwave antigen retrieval with 10 mM Tris/EDTA buffer pH 9.0 before commencing with IHC staining protocol.
Immunohistochemistry analysis of paraffin-embedded human Hodgkin lymphoma using Anti-Fascin Antibody [ARC1638] (A306042) at a dilution of 1:100 (40x lens). Perform microwave antigen retrieval with 10 mM Tris/EDTA buffer pH 9.0 before commencing with IHC staining protocol.
Immunohistochemistry analysis of paraffin-embedded human tonsil (positive control antibody staining, clone 55k-2) using Anti-Fascin Antibody [ARC1638] (A306042) at a dilution of 1:100 (40x lens). Perform microwave antigen retrieval with 10 mM Tris/EDTA buffer pH 9.0 before commencing with IHC staining protocol.