Primary Antibodies
Secondary Antibodies
Proteins & Peptides
ELISA Kits
About Us
Contact Us
Sign In/Register
0
ISO 9001:2015 Certified
Live Customer Support
4.5/5 on Trustpilot
100% Quality Guarantee
Home
Primary Antibodies
FASTK Antibodies
Anti-FASTK Antibody (A45893)
Anti-FASTK Antibody (A45893)
Overview
Specifications
Images
Enlarge Image
Enlarge Image
$430
Product Datasheet
Rabbit polyclonal antibody to FASTK for IHC.
100% Guarantee
Price Match Guarantee
Product Size:
100µl
Quantity:
1
2
3
4
5
6
7
8
9
10
Add To Cart
Request a Quotation
Custom or Bulk Request
Shipping Information
Freight/Packing Charges:
$40
Dispatched from St. Louis, MO.
Lead Time: 6-9 business days.
Specifications
Name
Anti-FASTK Antibody
Description
Rabbit polyclonal antibody to FASTK
Specificity
The antibody detects endogenous levels of total FASTK protein.
Applications
IHC
Reactivity
Human
Immunogen
Fusion protein corresponding to residues near the C terminal of human fas-activated serine / threonine kinase
Host
Rabbit
Clonality
Polyclonal
Conjugate
Unconjugated
Purification
Antigen affinity purification.
Concentration
1.3 mg/mL
Formulation
Supplied in PBS, pH 7.3, containing 0.05% sodium azide and 50% glycerol.
Storage
Shipped at 4°C. Upon delivery aliquot and store at -20°C. Avoid freeze/thaw cycles.
Synonyms
Fas-activated serine/threonine kinase, FAST kinase
Suitable Secondaries
Goat Anti-Rabbit IgG H&L Antibody (AP) (A294874)
Goat Anti-Rabbit IgG H&L Antibody (Biotin) (A294795)
Goat Anti-Rabbit IgG H&L Antibody (FITC) (A294887)
Goat Anti-Rabbit IgG H&L Antibody (HRP) (A294888)
See all Anti-Rabbit IgG Secondaries →
Disclaimer
This product is for research use only. It is not intended for diagnostic or therapeutic use.
Scientific Validation Data
Validation Data
(2)
Enlarge Image
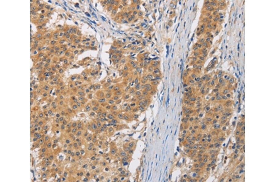
Immunohistochemistry - Anti-FASTK Antibody (A45893)
Immunohistochemical analysis of paraffin-embedded Human gastric cancer tissue using #35737 at dilution 1/30.
Enlarge Image
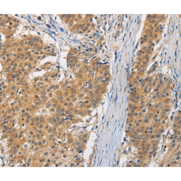
Immunohistochemistry - Anti-FASTK Antibody (A45893)
Immunohistochemical analysis of paraffin-embedded Human brain tissue using #35737 at dilution 1/30.
Publishing research using Anti-FASTK Antibody (A45893)? Please
let us know
so that we can list the citation on this page.
Alternative products to Anti-FASTK Antibody (A45893)
(2)
A98158
Anti-FAST Antibody
Rabbit polyclonal antibody to FAST for WB and ELISA.
A43417
Anti-FASTK Antibody
Rabbit polyclonal antibody to FASTK for WB.
(2)
A98158
Anti-FAST Antibody
Rabbit polyclonal antibody to FAST for WB and ELISA.
A43417
Anti-FASTK Antibody
Rabbit polyclonal antibody to FASTK for WB.
Proteins predicted to interact with FASTK
Predicted protein interactions based upon String database. Revelancy score correlates with probability of interaction.
FASTKD2 Antibodies
94.5% Relevancy Score
TIA1 Antibodies
80.2% Relevancy Score
FASTKD1 Antibodies
74.9% Relevancy Score
TIAR Antibodies
72.6% Relevancy Score
NADH Dehydrogenase Subunit 6 Antibodies
68.1% Relevancy Score
FASTKD5 Antibodies
64.7% Relevancy Score
SHARPIN Antibodies
64.7% Relevancy Score
eIF4E Antibodies
61.6% Relevancy Score
WIPF1 Antibodies
59.7% Relevancy Score
Top