Primary Antibodies
Secondary Antibodies
Proteins & Peptides
ELISA Kits
About Us
Contact Us
Sign In/Register
0
ISO 9001:2015 Certified
Live Customer Support
4.5/5 on Trustpilot
100% Quality Guarantee
Home
Primary Antibodies
FBP1 Antibodies
Anti-FBP1 Antibody (A35551)
Anti-FBP1 Antibody (A35551)
Overview
Specifications
Images
Enlarge Image
Enlarge Image
Enlarge Image
$415
Product Datasheet
Rabbit polyclonal antibody to FBP1 for WB and ICC/IF.
100% Guarantee
Price Match Guarantee
Product Size:
50µl
100µl
Quantity:
1
2
3
4
5
6
7
8
9
10
Add To Cart
Request a Quotation
Custom or Bulk Request
Shipping Information
Freight/Packing Charges:
$40
Dispatched from St. Louis, MO.
Lead Time: 6-9 business days.
Specifications
Name
Anti-FBP1 Antibody
Description
Rabbit polyclonal antibody to FBP1
Specificity
The antibody detects endogenous level of total FBP1 protein.
Applications
WB
,
ICC/IF
Reactivity
Human, Mouse, Rat
Immunogen
Recombinant protein of human FBP1.
Host
Rabbit
Clonality
Polyclonal
Conjugate
Unconjugated
Purification
Antibodies were purified by affinity purification using immunogen.
Concentration
1.0 mg/mL
Formulation
Supplied in phosphate-buffered saline (without Mg²? and Ca²?), pH 7.4, containing 150 mM NaCl, 0.02% sodium azide, and 50% glycerol.
Storage
Shipped at 4°C. Upon delivery aliquot and store at -20°C. Avoid freeze/thaw cycles.
Synonyms
D-fructose-1,6-bisphosphate 1-phosphohydrolase 1, FBP, FBPase 1, Fructose-1,6-bisphosphatase 1, Liver FBPase
Suitable Secondaries
Goat Anti-Rabbit IgG H&L Antibody (AP) (A294874)
Goat Anti-Rabbit IgG H&L Antibody (Biotin) (A294795)
Goat Anti-Rabbit IgG H&L Antibody (FITC) (A294887)
Goat Anti-Rabbit IgG H&L Antibody (HRP) (A294888)
See all Anti-Rabbit IgG Secondaries →
Disclaimer
This product is for research use only. It is not intended for diagnostic or therapeutic use.
Scientific Validation Data
Validation Data
(3)
Enlarge Image
Anti-FBP1 Antibody (A35551)
Western blot analysis of extracts of various cell lines, using RAD51 antibody.
Enlarge Image
Immunofluorescence - Anti-FBP1 Antibody (A35551)
Immunofluorescence analysis of MCF-7 cell using FBP1 antibody. Blue: DAPI for nuclear staining.
Enlarge Image
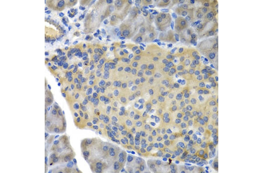
Immunohistochemistry - Anti-FBP1 Antibody (A35551)
Immunohistochemistry of paraffin-embedded mouse pancreas using FBP1 antibody at dilution of 1: 200 (400x lens).
Publishing research using Anti-FBP1 Antibody (A35551)? Please
let us know
so that we can list the citation on this page.
Alternative products to Anti-FBP1 Antibody (A35551)
(4)
A80698
Anti-FBP1 Antibody [ARC0664]
Rabbit monoclonal [ARC0664] antibody to FBP1 for WB and ICC/IF.
(4)
A14740
Anti-FBP1 Antibody
Rabbit polyclonal antibody to FBP1 for WB and ICC/IF.
(2)
A30772
Anti-FBP1 Antibody
Rabbit polyclonal antibody to FBP1 for WB, IHC and IF.
(4)
A80698
Anti-FBP1 Antibody [ARC0664]
Rabbit monoclonal [ARC0664] antibody to FBP1 for WB and ICC/IF.
(4)
A14740
Anti-FBP1 Antibody
Rabbit polyclonal antibody to FBP1 for WB and ICC/IF.
(2)
A30772
Anti-FBP1 Antibody
Rabbit polyclonal antibody to FBP1 for WB, IHC and IF.
Proteins predicted to interact with FBP1
Predicted protein interactions based upon String database. Revelancy score correlates with probability of interaction.
GPI Antibodies
99.2% Relevancy Score
Transaldolase 1 Antibodies
99.2% Relevancy Score
PFKM Antibodies
98.3% Relevancy Score
FBP2 Antibodies
98.3% Relevancy Score
Aldolase B Antibodies
98.2% Relevancy Score
Transketolase Antibodies
98.1% Relevancy Score
PFKP Antibodies
98% Relevancy Score
TKTL1 Antibodies
97.9% Relevancy Score
PFKL Antibodies
97.9% Relevancy Score
Top