Primary Antibodies
Secondary Antibodies
Proteins & Peptides
ELISA Kits
About Us
Contact Us
Sign In/Register
0
ISO 9001:2015 Certified
Live Customer Support
4.5/5 on Trustpilot
100% Quality Guarantee
Home
Primary Antibodies
FbxL12 Antibodies
Anti-FBXL12 Antibody (A36994)
Anti-FBXL12 Antibody (A36994)
Overview
Specifications
Images
Enlarge Image
Enlarge Image
$645
Product Datasheet
Rabbit polyclonal antibody to FBXL12 for WB and IHC.
100% Guarantee
Price Match Guarantee
Product Size:
100µl
Quantity:
1
2
3
4
5
6
7
8
9
10
Add To Cart
Request a Quotation
Custom or Bulk Request
Shipping Information
Freight/Packing Charges:
$40
Dispatched from St. Louis, MO.
Lead Time: 6-9 business days.
Specifications
Name
Anti-FBXL12 Antibody
Description
Rabbit polyclonal antibody to FBXL12
Applications
WB
,
IHC
Reactivity
Human, Mouse
Immunogen
Synthetic peptide contain a sequence corresponding to a region within amino acids 265 and 326 of FBXL12
Host
Rabbit
Clonality
Polyclonal
Conjugate
Unconjugated
Purification
Purified by antigen-affinity chromatography.
Formulation
Supplied in 1XPBS, 10% Glycerol (pH7.0). 0.01% Thimerosal was added as a preservative.
Storage
Shipped at 4°C. Upon delivery aliquot and store at -20°C. Avoid freeze/thaw cycles.
Synonyms
F-box and leucine-rich repeat protein 12, F-box protein FBL12, F-box/LRR-repeat protein 12, FBL12
Suitable Secondaries
Goat Anti-Rabbit IgG H&L Antibody (AP) (A294874)
Goat Anti-Rabbit IgG H&L Antibody (Biotin) (A294795)
Goat Anti-Rabbit IgG H&L Antibody (FITC) (A294887)
Goat Anti-Rabbit IgG H&L Antibody (HRP) (A294888)
See all Anti-Rabbit IgG Secondaries →
Disclaimer
This product is for research use only. It is not intended for diagnostic or therapeutic use.
Scientific Validation Data
Validation Data
(2)
Enlarge Image
Anti-FBXL12 Antibody (A36994)
Sample (30 µg of whole cell lysate) Hep G2 10% SDS PAGE Primary antibody diluted at 1: 1000
Enlarge Image
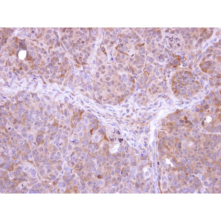
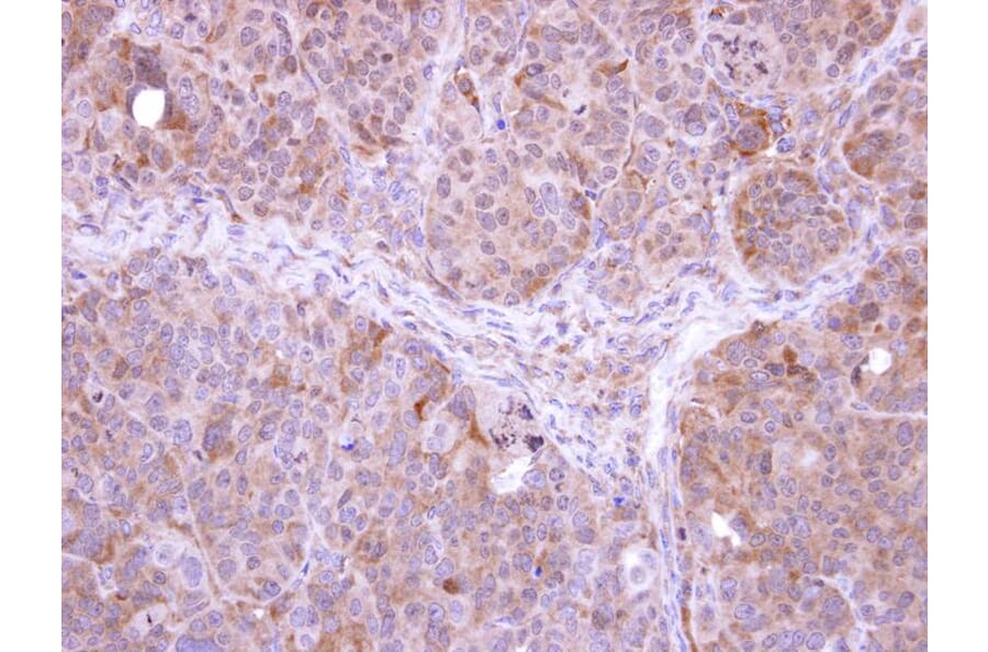
Immunohistochemistry - Anti-FBXL12 Antibody (A36994)
Immunohistochemical analysis of paraffin-embedded SW480 xenograft, using FBXL12 antibody at 1: 500 dilution.
Publishing research using Anti-FBXL12 Antibody (A36994)? Please
let us know
so that we can list the citation on this page.
Alternative products to Anti-FBXL12 Antibody (A36994)
A89548
Anti-FbxL12 Antibody
Rabbit polyclonal antibody to FbxL12 for WB.
A83950
Anti-FbxL12 Antibody
Goat polyclonal antibody to FbxL12 for ELISA and IHC.
A89548
Anti-FbxL12 Antibody
Rabbit polyclonal antibody to FbxL12 for WB.
A83950
Anti-FbxL12 Antibody
Goat polyclonal antibody to FbxL12 for ELISA and IHC.
Proteins predicted to interact with FbxL12
Predicted protein interactions based upon String database. Revelancy score correlates with probability of interaction.
SKP1 Antibodies
99% Relevancy Score
CUL1 Antibodies
98.3% Relevancy Score
RBX1 Antibodies
78.2% Relevancy Score
NEDD8 Antibodies
63.4% Relevancy Score
PRAME Antibodies
62.1% Relevancy Score
CAND1 Antibodies
56.8% Relevancy Score
FBXW8 Antibodies
54.7% Relevancy Score
FBXL5 Antibodies
52.4% Relevancy Score
UBE1C Antibodies
51.8% Relevancy Score
Top