Primary Antibodies
Secondary Antibodies
Proteins & Peptides
ELISA Kits
About Us
Contact Us
Sign In/Register
0
ISO 9001:2015 Certified
Live Customer Support
4.5/5 on Trustpilot
100% Quality Guarantee
Home
Primary Antibodies
FBXO31 Antibodies
Anti-FBXO31 Antibody (A45565)
Anti-FBXO31 Antibody (A45565)
Overview
Specifications
Images
Enlarge Image
Enlarge Image
$430
Product Datasheet
Rabbit polyclonal antibody to FBXO31 for IHC.
100% Guarantee
Price Match Guarantee
Product Size:
100µl
Quantity:
1
2
3
4
5
6
7
8
9
10
Add To Cart
Request a Quotation
Custom or Bulk Request
Shipping Information
Freight/Packing Charges:
$40
Dispatched from St. Louis, MO.
Lead Time: 6-9 business days.
Specifications
Name
Anti-FBXO31 Antibody
Description
Rabbit polyclonal antibody to FBXO31
Specificity
The antibody detects endogenous levels of total FBXO31 protein.
Applications
IHC
Reactivity
Human
Immunogen
Synthetic peptide corresponding to residues near the C terminal of human F-box protein 31
Host
Rabbit
Clonality
Polyclonal
Conjugate
Unconjugated
Purification
Antigen affinity purification.
Concentration
2.8 mg/mL
Formulation
Supplied in PBS, pH 7.3, containing 0.05% sodium azide and 50% glycerol.
Storage
Shipped at 4°C. Upon delivery aliquot and store at -20°C. Avoid freeze/thaw cycles.
Synonyms
F-box only protein 31, FBX14, FBX31
Suitable Secondaries
Goat Anti-Rabbit IgG H&L Antibody (AP) (A294874)
Goat Anti-Rabbit IgG H&L Antibody (Biotin) (A294795)
Goat Anti-Rabbit IgG H&L Antibody (FITC) (A294887)
Goat Anti-Rabbit IgG H&L Antibody (HRP) (A294888)
See all Anti-Rabbit IgG Secondaries →
Disclaimer
This product is for research use only. It is not intended for diagnostic or therapeutic use.
Scientific Validation Data
Validation Data
(2)
Enlarge Image
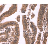
Immunohistochemistry - Anti-FBXO31 Antibody (A45565)
Immunohistochemical analysis of paraffin-embedded Human gastric cancer tissue using #37567 at dilution 1/40.
Enlarge Image
Immunohistochemistry - Anti-FBXO31 Antibody (A45565)
Immunohistochemical analysis of paraffin-embedded Human colon cancer tissue using #37567 at dilution 1/40.
Publishing research using Anti-FBXO31 Antibody (A45565)? Please
let us know
so that we can list the citation on this page.
Alternative products to Anti-FBXO31 Antibody (A45565)
A90687
Anti-FBXO31 Antibody
Rabbit polyclonal antibody to FBXO31 for WB.
A90687
Anti-FBXO31 Antibody
Rabbit polyclonal antibody to FBXO31 for WB.
Proteins predicted to interact with FBXO31
Predicted protein interactions based upon String database. Revelancy score correlates with probability of interaction.
SKP1 Antibodies
99.6% Relevancy Score
Cyclin D1 Antibodies
98.5% Relevancy Score
CUL1 Antibodies
96.9% Relevancy Score
RBX1 Antibodies
85.3% Relevancy Score
ATM Antibodies
57.1% Relevancy Score
NEDD8 Antibodies
54.3% Relevancy Score
UBC12 Antibodies
50.9% Relevancy Score
CAND1 Antibodies
50.4% Relevancy Score
APPBP1 Antibodies
50.1% Relevancy Score
Top