ISO 9001:2015 Certified
Live Customer Support
4.5/5 on Trustpilot
100% Quality Guarantee

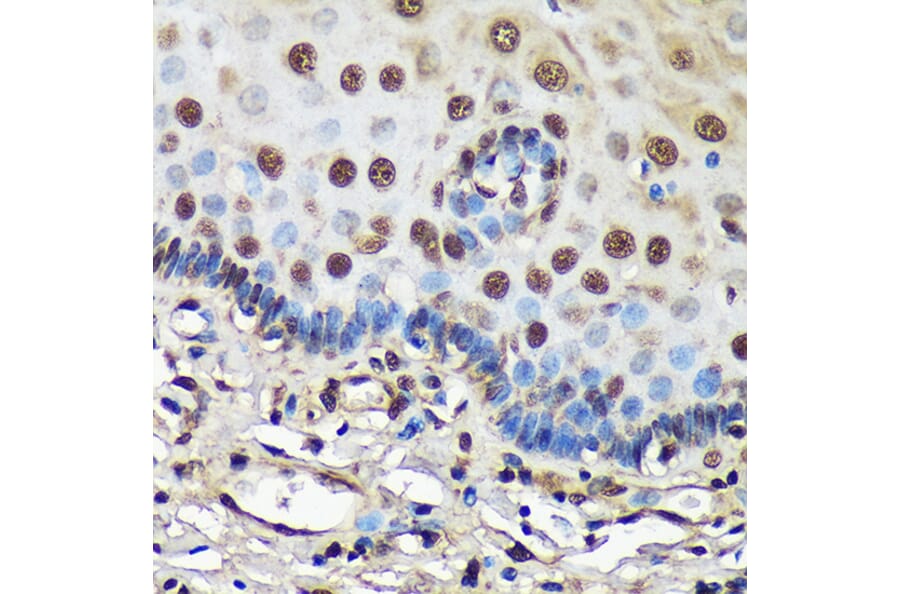
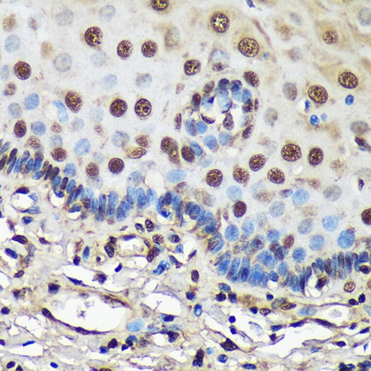
Anti-FCF1 Antibody (A91692)

Rabbit polyclonal antibody to FCF1 for WB, IHC and ICC/IF.

Shipping Information

$40
Dispatched from St. Louis, MO.
Lead Time: 7-10 business days.
Name
Anti-FCF1 Antibody
Description
Rabbit polyclonal antibody to FCF1.
Applications
WB, IHC, ICC/IF
Dilutions
WB: 1:500-1:2,000, IHC: 1:50-1:200, ICC/IF: 1:50-1:200
Reactivity
Human, Rat
Immunogen
A synthetic peptide corresponding to a sequence within amino acids 100-198 of human FCF1 (NP_057046.1).
Sequence
PCITDCVMAEIEKLGQKYRVALRIAKDPRFERLPCTHKGTYADDCLVQRVTQHKCYIVATVDRDLKRRIRKIPGVPIMYISNHRYNIERMPDDYGAPRF
Host
Rabbit
Clonality
Polyclonal
Isotype
IgG
Conjugate

Unconjugated

Purification
Affinity purification.
Concentration
Lot Specific
Molecular Weight
23 kDa
Product Form
Liquid
Formulation
Supplied in Phosphate Buffered Saline, pH 7.3, with 50% Glycerol and 0.01% Thiomersal.
Storage
Shipped at 4°C. Upon delivery aliquot and store at -20°C. Avoid freeze/thaw cycles.
Synonyms
C14orf111, rRNA-processing protein FCF1 homolog
Disclaimer
This product is for research use only. It is not intended for diagnostic or therapeutic use.
Publishing research using Anti-FCF1 Antibody (A91692)? Please let us know so that we can list the citation on this page.

Proteins predicted to interact with FCF1

Predicted protein interactions based upon String database. Revelancy score correlates with probability of interaction.
99.9% Relevancy Score
99.9% Relevancy Score
99.9% Relevancy Score
99.9% Relevancy Score
99.9% Relevancy Score
99.8% Relevancy Score
99.8% Relevancy Score
99.8% Relevancy Score
99.7% Relevancy Score