Anti-FCGRT Antibody [FCGRT/2932] - BSA and Azide free
Description
Mouse monoclonal [FCGRT/2932] antibody to FCGRT.
Specificity
This gene encodes a receptor that binds the Fc region of monomeric immunoglobulin G. FCGRT is present in the intestinal epithelium of neonates and mediates the selective uptake of immunoglobulin G (IgG) in mothers' milk, thereby helping newborn to acquire passive immunity. FCGRT is comprised of a heavy chain and -2-Microglobulin. FCGRT localizes in endosomes of vascular endothelial cells and selectively recycles IgG to the cell surface, thus protecting IgG from lysosomal degradation.
Applications
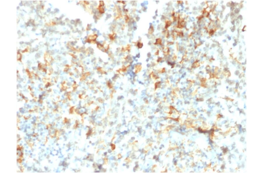
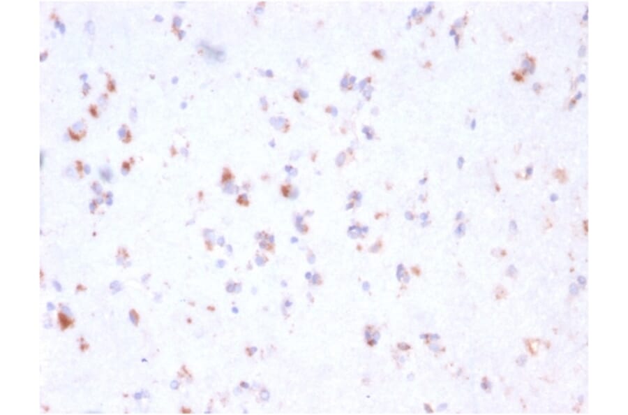
IHC-P
Dilutions
IHC-P: 2-4 µg/ml
Reactivity
Human
Immunogen
Recombinant fragment, around amino acids 24-215, of human FCGRT protein. The exact sequence is proprietary.
Host
Mouse
Clonality
Monoclonal
Clone ID
FCGRT/2932
Isotype
IgG2b
Light Chains
kappa
Conjugate
Unconjugated
Purification
Protein A/G chromatography.
Concentration
1 mg/ml
Molecular Weight
46 kDa
Product Form
Liquid
Formulation
Supplied in 10mM Phosphate Buffered Saline; without Sodium Azide and carrier free.
Storage
Shipped at 4°C. Upon delivery aliquot and store at -20°C. Avoid freeze / thaw cycles.
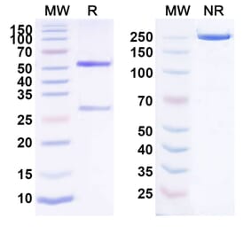
SDS-PAGE analysis of Anti-FCGRT Antibody [FCGRT/2932] under non-reduced and reduced conditions; showing intact IgG and intact heavy and light chains, respectively. SDS-PAGE analysis confirms the integrity and purity of the antibody.
Anti-FCGRT Antibody [FCGRT/2932] - BSA and Azide free (A251720)
Analysis of protein array containing more than 19,000 full-length human proteins using Anti-FCGRT Antibody [FCGRT/2932]. Z-Score and S- Score: The Z-score represents the strength of a signal that a monoclonal antibody (MAb) (in combination with a fluorescently-tagged anti-IgG secondary antibody) produces when binding to a particular protein on the HuProtTM array. Z-scores are described in units of standard deviations (SD's) above the mean value of all signals generated on that array. If targets on HuProtTM are arranged in descending order of the Z-score, the S-score is the difference (also in units of SD's) between the Z-score. S-score therefore represents the relative target specificity of a MAb to its intended target; a MAb is considered to be specific to its intended target, if the MAb has an S-score of at least 2.5. For example, if a MAb binds to protein X with a Z-score of 43 and to protein Y with a Z-score of 14, then the S-score for the binding of that MAb to protein X is equal to 29.
Publishing research using Anti-FCGRT Antibody [FCGRT/2932] - BSA and Azide free (A251720)? Please let us know so that we can list the citation on this page.
Alternative products to Anti-FCGRT Antibody [FCGRT/2932] - BSA and Azide free (A251720)
Recombinant human monoclonal antibody to FcRn for use as a research grade Batoclimab biosimilar for ELISA, Flow Cytometry, Functional Studies and in vivo Research.
Recombinant chimeric monoclonal antibody to FcRn for use as a research grade Orilanolimab biosimilar for ELISA, Flow Cytometry, Functional Studies and in vivo Research.
Recombinant humanized monoclonal antibody to FcRn for use as a research grade Rozanolixizumab biosim for ELISA, Flow Cytometry, Functional Studies and in vivo Research.
Recombinant human monoclonal antibody to FcRn for use as a research grade Nipocalimab biosimilar for ELISA, Flow Cytometry, Functional Studies and in vivo Research.
Recombinant human monoclonal antibody to FcRn for use as a research grade Efgartigimod biosimilar for ELISA, Flow Cytometry, Functional Studies and in vivo Research.
Recombinant human monoclonal antibody to FcRn for use as a research grade Anti-Human FcRn [SYNT001] for ELISA, Flow Cytometry, Functional Studies and in vivo Research.
Recombinant human monoclonal antibody to FcRn for use as a research grade imeroprubart biosimilar for ELISA, Flow Cytometry, Functional Studies and in vivo Research.
Recombinant human monoclonal antibody to FcRn for use as a research grade Anti-Human FcRn [HBM9161] for ELISA, Flow Cytometry, Functional Studies and in vivo Research.
Recombinant human monoclonal antibody to FcRn for use as a research grade Batoclimab biosimilar for ELISA, Flow Cytometry, Functional Studies and in vivo Research.
Recombinant chimeric monoclonal antibody to FcRn for use as a research grade Orilanolimab biosimilar for ELISA, Flow Cytometry, Functional Studies and in vivo Research.
Recombinant humanized monoclonal antibody to FcRn for use as a research grade Rozanolixizumab biosim for ELISA, Flow Cytometry, Functional Studies and in vivo Research.
Recombinant human monoclonal antibody to FcRn for use as a research grade Nipocalimab biosimilar for ELISA, Flow Cytometry, Functional Studies and in vivo Research.
Recombinant human monoclonal antibody to FcRn for use as a research grade Efgartigimod biosimilar for ELISA, Flow Cytometry, Functional Studies and in vivo Research.
Recombinant human monoclonal antibody to FcRn for use as a research grade Anti-Human FcRn [SYNT001] for ELISA, Flow Cytometry, Functional Studies and in vivo Research.
Recombinant human monoclonal antibody to FcRn for use as a research grade imeroprubart biosimilar for ELISA, Flow Cytometry, Functional Studies and in vivo Research.
Recombinant human monoclonal antibody to FcRn for use as a research grade Anti-Human FcRn [HBM9161] for ELISA, Flow Cytometry, Functional Studies and in vivo Research.