Primary Antibodies
Secondary Antibodies
Proteins & Peptides
ELISA Kits
About Us
Contact Us
Sign In/Register
0
ISO 9001:2015 Certified
Live Customer Support
4.5/5 on Trustpilot
100% Quality Guarantee
Home
Primary Antibodies
FDCSP Antibodies
Anti-FDCSP Antibody (A46214)
Anti-FDCSP Antibody (A46214)
Overview
Specifications
Images
Enlarge Image
Enlarge Image
$430
Product Datasheet
Rabbit polyclonal antibody to FDCSP for IHC.
100% Guarantee
Price Match Guarantee
Product Size:
100µl
Quantity:
1
2
3
4
5
6
7
8
9
10
Add To Cart
Request a Quotation
Custom or Bulk Request
Shipping Information
Freight/Packing Charges:
$40
Dispatched from St. Louis, MO.
Lead Time: 6-9 business days.
Specifications
Name
Anti-FDCSP Antibody
Description
Rabbit polyclonal antibody to FDCSP
Specificity
The antibody detects endogenous levels of total FDCSP protein.
Applications
IHC
Reactivity
Human
Immunogen
Synthetic peptide corresponding to a region derived from internal residues of human follicular dendritic cell secreted protein
Host
Rabbit
Clonality
Polyclonal
Conjugate
Unconjugated
Purification
Antigen affinity purification.
Concentration
2.2 mg/mL
Formulation
Supplied in PBS, pH 7.3, containing 0.05% sodium azide and 50% glycerol.
Storage
Shipped at 4°C. Upon delivery aliquot and store at -20°C. Avoid freeze/thaw cycles.
Synonyms
C4orf7, FDC secreted protein, FDC-SP, Follicular dendritic cell secreted peptide
Suitable Secondaries
Goat Anti-Rabbit IgG H&L Antibody (AP) (A294874)
Goat Anti-Rabbit IgG H&L Antibody (Biotin) (A294795)
Goat Anti-Rabbit IgG H&L Antibody (FITC) (A294887)
Goat Anti-Rabbit IgG H&L Antibody (HRP) (A294888)
See all Anti-Rabbit IgG Secondaries →
Disclaimer
This product is for research use only. It is not intended for diagnostic or therapeutic use.
Scientific Validation Data
Validation Data
(2)
Enlarge Image
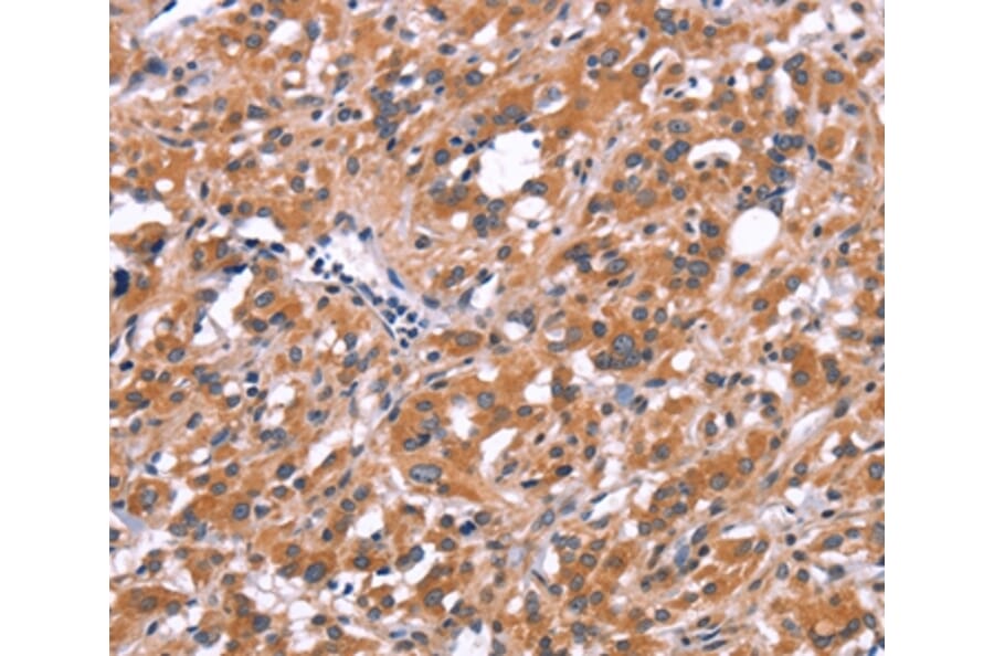
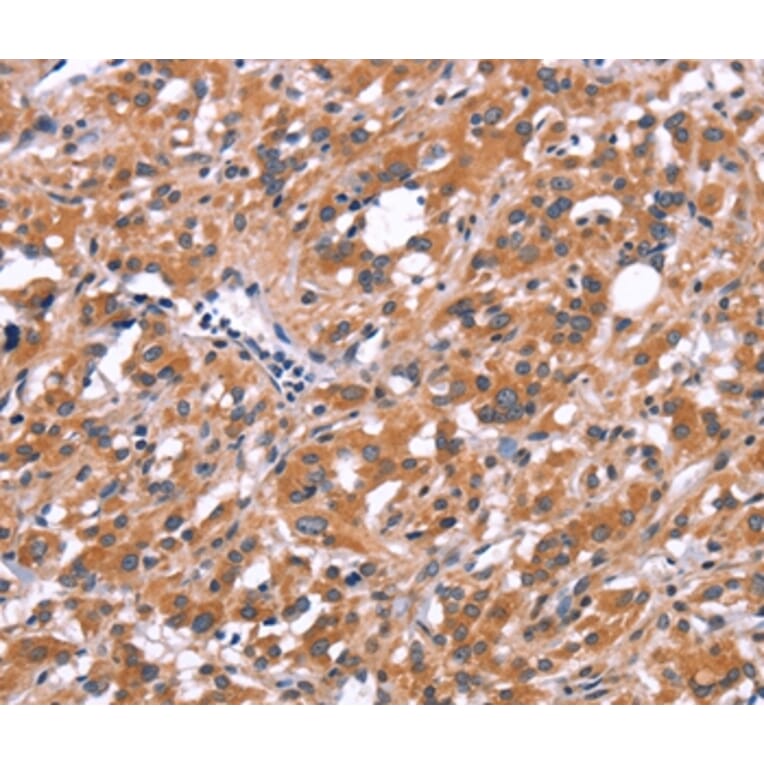
Immunohistochemistry - Anti-FDCSP Antibody (A46214)
Immunohistochemical analysis of paraffin-embedded Human gastric cancer tissue using #37568 at dilution 1/25.
Enlarge Image
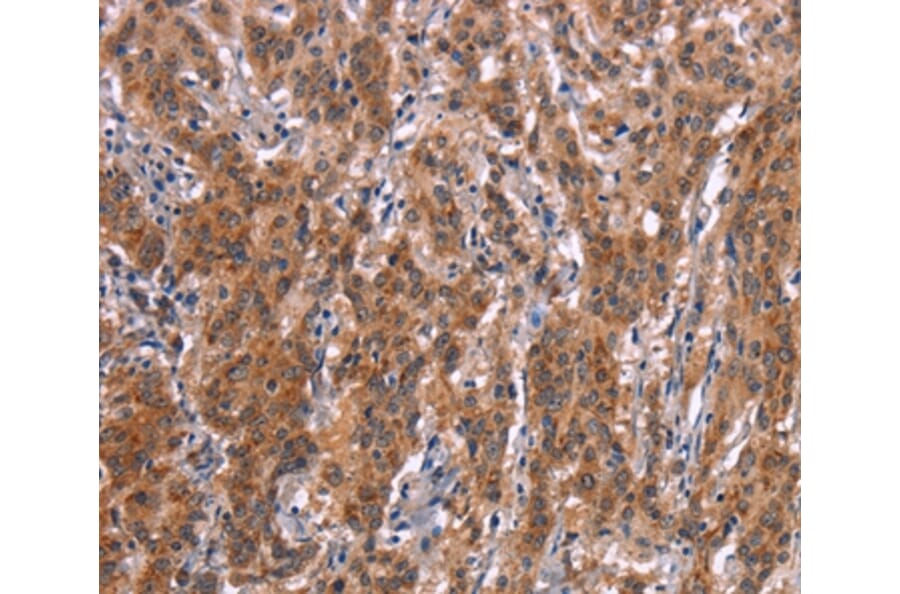
Immunohistochemistry - Anti-FDCSP Antibody (A46214)
Immunohistochemical analysis of paraffin-embedded Human thyroid cancer tissue using #37568 at dilution 1/25.
Publishing research using Anti-FDCSP Antibody (A46214)? Please
let us know
so that we can list the citation on this page.
Proteins predicted to interact with FDCSP
Predicted protein interactions based upon String database. Revelancy score correlates with probability of interaction.
CXCL13 Antibodies
53.1% Relevancy Score
KAAG1 Antibodies
52.9% Relevancy Score
CXCL2 Antibodies
49.5% Relevancy Score
TNFSF5 Antibodies
44% Relevancy Score
IL-8 Antibodies
42.2% Relevancy Score
OR6T1 Antibodies
41.8% Relevancy Score
CCL21 Antibodies
37.9% Relevancy Score
IL-4 Antibodies
35.1% Relevancy Score
CD21 Antibodies
33.5% Relevancy Score
Top