Primary Antibodies
Secondary Antibodies
Proteins & Peptides
ELISA Kits
About Us
Contact Us
Sign In/Register
0
ISO 9001:2015 Certified
Live Customer Support
4.5/5 on Trustpilot
100% Quality Guarantee
Home
Primary Antibodies
FGF1 Antibodies
Anti-FGF1 Antibody (A46818)
Anti-FGF1 Antibody (A46818)
Overview
Specifications
Images
Enlarge Image
Enlarge Image
$430
Product Datasheet
Rabbit polyclonal antibody to FGF1 for IHC.
100% Guarantee
Price Match Guarantee
Product Size:
100µl
Quantity:
1
2
3
4
5
6
7
8
9
10
Add To Cart
Request a Quotation
Custom or Bulk Request
Shipping Information
Freight/Packing Charges:
$40
Dispatched from St. Louis, MO.
Lead Time: 6-9 business days.
Specifications
Name
Anti-FGF1 Antibody
Description
Rabbit polyclonal antibody to FGF1
Specificity
The antibody detects endogenous levels of total FGF1 protein.
Applications
IHC
Reactivity
Human, Mouse, Rat
Immunogen
Synthetic peptide corresponding to a region derived from internal residues of human Fibroblast growth factor 1
Host
Rabbit
Clonality
Polyclonal
Conjugate
Unconjugated
Purification
Antigen affinity purification.
Concentration
1.2 mg/mL
Formulation
Supplied in PBS, pH 7.3, containing 0.05% sodium azide and 50% glycerol.
Storage
Shipped at 4°C. Upon delivery aliquot and store at -20°C. Avoid freeze/thaw cycles.
Synonyms
Acidic fibroblast growth factor, aFGF, ECGF, Endothelial cell growth factor, FGF-1, FGFA, Fibroblast growth factor 1, HBGF-1, Heparin-binding growth factor 1
Suitable Secondaries
Goat Anti-Rabbit IgG H&L Antibody (AP) (A294874)
Goat Anti-Rabbit IgG H&L Antibody (Biotin) (A294795)
Goat Anti-Rabbit IgG H&L Antibody (FITC) (A294887)
Goat Anti-Rabbit IgG H&L Antibody (HRP) (A294888)
See all Anti-Rabbit IgG Secondaries →
Disclaimer
This product is for research use only. It is not intended for diagnostic or therapeutic use.
Scientific Validation Data
Validation Data
(2)
Enlarge Image
Immunohistochemistry - Anti-FGF1 Antibody (A46818)
Immunohistochemical analysis of paraffin-embedded Human brain tissue using #36770 at dilution 1/50.
Enlarge Image
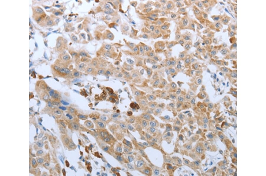
Immunohistochemistry - Anti-FGF1 Antibody (A46818)
Immunohistochemical analysis of paraffin-embedded Human liver cancer tissue using #36770 at dilution 1/50.
Publishing research using Anti-FGF1 Antibody (A46818)? Please
let us know
so that we can list the citation on this page.
Alternative products to Anti-FGF1 Antibody (A46818)
(4)
A12678
Anti-FGF1 Antibody
Rabbit polyclonal antibody to FGF1 for WB, IHC and ICC/IF.
(4)
A306191
Anti-FGF1 Antibody [ARC1414]
Rabbit monoclonal [ARC1414] antibody to FGF1 for WB and ICC/IF.
(2)
A97036
Anti-FGF-1 Antibody
Rabbit polyclonal antibody to FGF-1 for IHC, IF and ELISA.
A43972
Anti-FGF1 Antibody
Rabbit polyclonal antibody to FGF1 for WB, ICC/IF and IHC.
(3)
A92157
Anti-FGF1 Antibody
Rabbit polyclonal antibody to FGF1 for ICC/IF.
A28535
Anti-FGF1 Antibody
Rabbit polyclonal antibody to FGF1 for WB.
A91
Anti-FGF1 Antibody [KT115]
Rat monoclonal [2246] antibody to FGF1 for WB and ELISA .
(2)
A41182
Anti-Fibroblast growth factor 1 Antibody
Rabbit polyclonal antibody to Fibroblast growth factor 1 for WB.
(4)
A12678
Anti-FGF1 Antibody
Rabbit polyclonal antibody to FGF1 for WB, IHC and ICC/IF.
(4)
A306191
Anti-FGF1 Antibody [ARC1414]
Rabbit monoclonal [ARC1414] antibody to FGF1 for WB and ICC/IF.
(2)
A97036
Anti-FGF-1 Antibody
Rabbit polyclonal antibody to FGF-1 for IHC, IF and ELISA.
A43972
Anti-FGF1 Antibody
Rabbit polyclonal antibody to FGF1 for WB, ICC/IF and IHC.
(3)
A92157
Anti-FGF1 Antibody
Rabbit polyclonal antibody to FGF1 for ICC/IF.
A28535
Anti-FGF1 Antibody
Rabbit polyclonal antibody to FGF1 for WB.
A91
Anti-FGF1 Antibody [KT115]
Rat monoclonal [2246] antibody to FGF1 for WB and ELISA .
(2)
A41182
Anti-Fibroblast growth factor 1 Antibody
Rabbit polyclonal antibody to Fibroblast growth factor 1 for WB.
See all FGF1 Antibodies
Proteins predicted to interact with FGF1
Predicted protein interactions based upon String database. Revelancy score correlates with probability of interaction.
FGFR2 Antibodies
99.9% Relevancy Score
FGFR1 Antibodies
99.9% Relevancy Score
FGFR4 Antibodies
99.9% Relevancy Score
FGFR3 Antibodies
99.9% Relevancy Score
FGFBP1 Antibodies
99.6% Relevancy Score
S100A13 Antibodies
99.5% Relevancy Score
Synaptotagmin 1 Antibodies
97.8% Relevancy Score
FGF2 Antibodies
96.2% Relevancy Score
FGF17 Antibodies
95.3% Relevancy Score
Top