Western Blot - Anti-FGF21 Antibody [ARC53983] (A306217)
Western blot analysis of extracts of various cell lines, using Anti-FGF21 Antibody (A306217) at 1:1,000 dilution. The secondary antibody was Goat Anti-Rabbit IgG H&L Antibody (HRP) at 1:10,000 dilution. Lysates/proteins were present at 25µg per lane. The blocking buffer used was 3% non-fat dry milk in TBST. Detection was with a ECL Basic Kit. Exposure time: 1s.
Western Blot - Anti-FGF21 Antibody [ARC53983] (A306217)
Western blot analysis of extracts of Mouse liver, using Anti-FGF21 Antibody (A306217) at 1:1,000 dilution. The secondary antibody was Goat Anti-Rabbit IgG H&L Antibody (HRP) at 1:10,000 dilution. Lysates/proteins were present at 25µg per lane. The blocking buffer used was 3% non-fat dry milk in TBST. Detection was with a ECL Basic Kit. Exposure time: 30s.
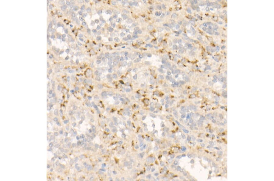
Immunohistochemistry analysis of paraffin-embedded human spleen using Anti-FGF21 Antibody (A306217) at a dilution of 1:100 (40x lens). Perform high pressure antigen retrieval with 10 mM citrate buffer pH 6.0 before commencing with IHC staining protocol.
Immunohistochemistry analysis of paraffin-embedded mouse liver using Anti-FGF21 Antibody (A306217) at a dilution of 1:100 (40x lens). Perform high pressure antigen retrieval with 10 mM citrate buffer pH 6.0 before commencing with IHC staining protocol.
Immunohistochemistry analysis of paraffin-embedded rat liver using Anti-FGF21 Antibody (A306217) at a dilution of 1:100 (40x lens). Perform high pressure antigen retrieval with 10 mM citrate buffer pH 6.0 before commencing with IHC staining protocol.
Recombinant human monoclonal antibody to FGF21 for use as a research grade Anti-Human FGF21 [CVX-343 for ELISA, Flow Cytometry, Functional Studies and in vivo Research.
Recombinant human monoclonal antibody to FGF21 for use as a research grade Anti-Human FGF21 [ARX618] for ELISA, Flow Cytometry, Functional Studies and in vivo Research.
Recombinant human monoclonal antibody to FGF21 for use as a research grade Anti-Human FGF21 [CVX-343 for ELISA, Flow Cytometry, Functional Studies and in vivo Research.
Recombinant human monoclonal antibody to FGF21 for use as a research grade Anti-Human FGF21 [ARX618] for ELISA, Flow Cytometry, Functional Studies and in vivo Research.