Primary Antibodies
Secondary Antibodies
Proteins & Peptides
ELISA Kits
About Us
Contact Us
Sign In/Register
0
ISO 9001:2015 Certified
Live Customer Support
4.5/5 on Trustpilot
100% Quality Guarantee
Home
Primary Antibodies
FGL2 Antibodies
Anti-Fgl2 Antibody (A101449)
Anti-Fgl2 Antibody (A101449)
Overview
Specifications
Images
Enlarge Image
Enlarge Image
$200
Product Datasheet
Rabbit polyclonal antibody to Fgl2 for WB and ELISA.
100% Guarantee
Price Match Guarantee
Product Size:
10µg
100µg
Quantity:
1
2
3
4
5
6
7
8
9
10
Add To Cart
Request a Quotation
Custom or Bulk Request
Shipping Information
Freight/Packing Charges:
$40
Dispatched from St. Louis, MO.
Lead Time: 6-8 business days.
Specifications
Name
Anti-Fgl2 Antibody
Description
Rabbit polyclonal antibody to Fgl2.
Applications
WB
,
ELISA
Dilutions
WB: 1:500~1:1000, ELISA: 1:10000
Reactivity
Human, Rat, Mouse
Cross Reactivity
No reported cross-reactivity.
Immunogen
Synthetic peptide derived from human Fgl2 (amino acids 38-87).
Host
Rabbit
Clonality
Polyclonal
Isotype
IgG
Conjugate
Unconjugated
Purification
Purified from rabbit serum by antigen affinity chromatography using the immunizing peptide.
Molecular Weight
50kDa
Product Form
Liquid
Formulation
Supplied in Phosphate Buffered Saline (without Mg2+ and Ca2+), pH 7.4, with 150mM NaCl, 0.02% Sodium Azide, and 50% Glycerol.
Storage
Shipped at 4°C. Upon delivery aliquot and store at -20°C. Avoid freeze / thaw cycles.
Synonyms
Fibrinogen-like protein 2, Fibroleukin, pT49
Isotype Controls
Rabbit IgG (A82272)
Rabbit IgG (A17360)
Suitable Secondaries
Goat Anti-Rabbit IgG H&L Antibody (AP) (A294874)
Goat Anti-Rabbit IgG H&L Antibody (Biotin) (A294795)
Goat Anti-Rabbit IgG H&L Antibody (FITC) (A294887)
Goat Anti-Rabbit IgG H&L Antibody (HRP) (A294888)
See all Anti-Rabbit IgG Secondaries →
Disclaimer
This product is for research use only. It is not intended for diagnostic or therapeutic use.
Scientific Validation Data
Validation Data
(2)
Enlarge Image
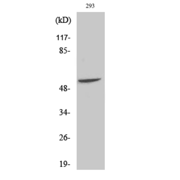
Western Blot - Anti-Fgl2 Antibody (A101449)
Western blot analysis of lysate from 293 cells treated with insulin using Anti-Fgl2 Antibody.
Enlarge Image
Western Blot - Anti-Fgl2 Antibody (A101449)
Western blot analysis of various cells using Anti-Fgl2 Antibody.
Publishing research using Anti-Fgl2 Antibody (A101449)? Please
let us know
so that we can list the citation on this page.
Alternative products to Anti-Fgl2 Antibody (A101449)
(2)
A38733
Anti-FGL2 Antibody
Rabbit polyclonal antibody to FGL2 for ELISA, WB and IHC.
A26614
Anti-Fgl2 (V38) Antibody
Rabbit polyclonal antibody to Fgl2 (V38) for WB.
(2)
A38733
Anti-FGL2 Antibody
Rabbit polyclonal antibody to FGL2 for ELISA, WB and IHC.
A26614
Anti-Fgl2 (V38) Antibody
Rabbit polyclonal antibody to Fgl2 (V38) for WB.
Proteins predicted to interact with FGL2
Predicted protein interactions based upon String database. Revelancy score correlates with probability of interaction.
CD32 Antibodies
89.6% Relevancy Score
Fibrinogen beta Chain Antibodies
78.8% Relevancy Score
Fibrinogen gamma Chain Antibodies
78.7% Relevancy Score
Fibrinogen alpha Chain Antibodies
78.1% Relevancy Score
Thrombospondin 1 Antibodies
77.8% Relevancy Score
FGL1 Antibodies
76.4% Relevancy Score
Fibronectin Antibodies
75.6% Relevancy Score
alpha 2 Antiplasmin Antibodies
75.6% Relevancy Score
MS4A6A Antibodies
70.5% Relevancy Score
Top