ISO 9001:2015 Certified
Live Customer Support
4.5/5 on Trustpilot
100% Quality Guarantee

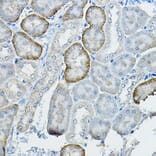
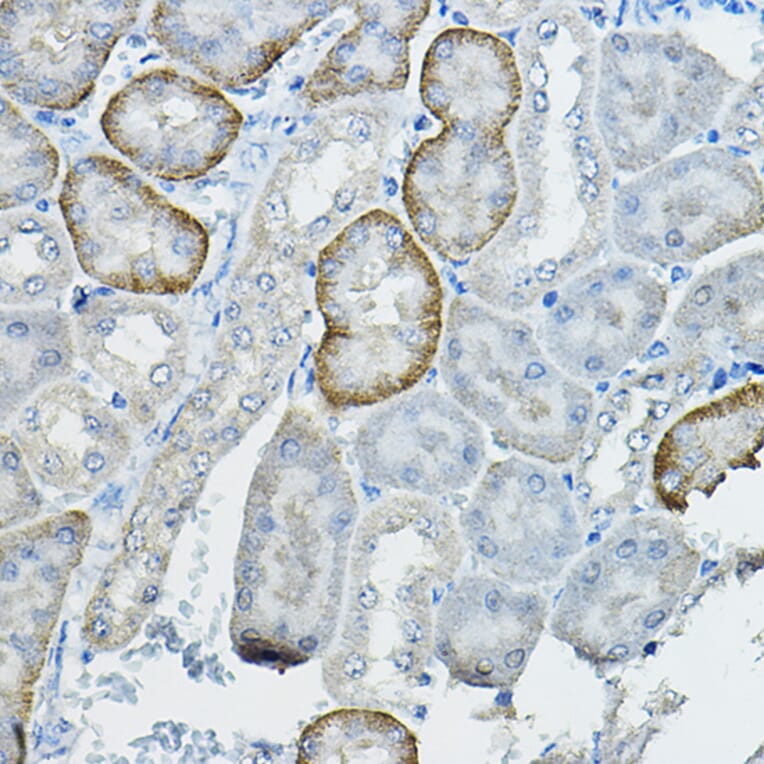
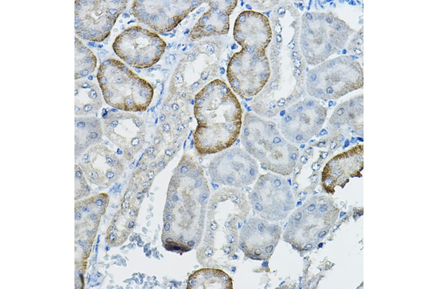
Anti-Fhip2b Antibody (A305973)

Rabbit polyclonal antibody to Fhip2b for WB, IHC, ICC/IF and IP.

Shipping Information

$40
Dispatched from St. Louis, MO.
Lead Time: 7-10 business days.
Name
Anti-Fhip2b Antibody
Description
Rabbit polyclonal antibody to Fhip2b.
Applications
WB, IHC, ICC/IF, IP
Dilutions
WB: 1:500-1:1,000, IHC: 1:50-1:200, ICC/IF: 1:50-1:200, IP: 1:500-1:1,000
Reactivity
Human, Mouse, Rat
Immunogen
Recombinant fusion protein containing a sequence corresponding to amino acids 74-303 of mouse FAM160B2 (NP_919326.1).
Sequence
GEAGPCLEYLLQHKILETLCTLGKAEYPPGMRQQVFQFFSKVLSQVQHPLLHYLSVHRPVQKLLRLGGTVPGSLTEKEEVQFTSVLCSKIQQDPELLAYILEGKKIIGKKKTARESTAPPKDIAGYRDKDCPHSDALNRDPGLDKEHCGVPALSIHLPAETEGPENGPGESNLITSLLGLCKSKKSRLALKAQENILLLVSVASPAAATYLTQSTSCCMAIAEHLCQLYR
Host
Rabbit
Clonality
Polyclonal
Isotype
IgG
Conjugate

Unconjugated

Purification
Affinity purification.
Concentration
Lot Specific
Molecular Weight
82 kDa
Product Form
Liquid
Formulation
Supplied in Phosphate Buffered Saline, pH 7.3, with 50% Glycerol and 0.01% Thiomersal.
Storage
Shipped at 4°C. Upon delivery aliquot and store at -20°C. Avoid freeze/thaw cycles.
Synonyms
FAM160B2, FHF complex subunit HOOK-interacting protein 2B, Retinoic acid-induced protein 16
Disclaimer
This product is for research use only. It is not intended for diagnostic or therapeutic use.
Publishing research using Anti-Fhip2b Antibody (A305973)? Please let us know so that we can list the citation on this page.

Alternative products to Anti-Fhip2b Antibody (A305973)