ISO 9001:2015 Certified
Live Customer Support
4.5/5 on Trustpilot
100% Quality Guarantee

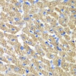
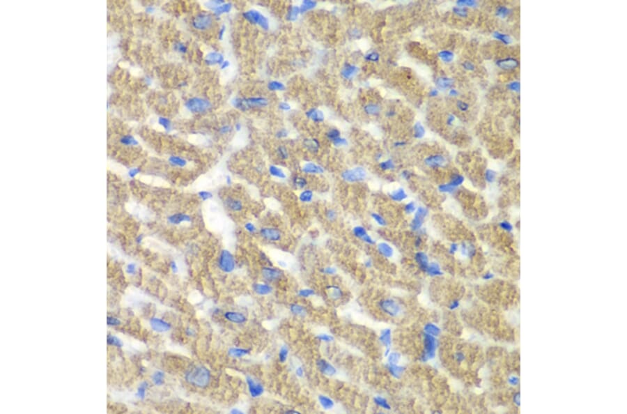
Anti-FIBP Antibody (A15227)

Rabbit polyclonal antibody to FIBP for WB, IHC-P, IP and ELISA.

Shipping Information

$40
Dispatched from St. Louis, MO.
Lead Time: 7-10 business days.
Name
Anti-FIBP Antibody
Description
Rabbit polyclonal antibody to FIBP.
Applications
WB, IHC-P, IP, ELISA
Positive Control
HeLa, SW620, MCF7, Rat brain.
Dilutions
WB: 1:500-1:2,000, IHC-P: 1:50-1:200, IP: 0.5µg-4µg antibody for 200µg-400µg extracts of whole cells
Reactivity
Human, Mouse, Rat
Immunogen
A recombinant fusion protein corresponding to amino acids 1-364 of human FIBP.
Sequence
MTSELDIFVGNTTLIDEDVYRLWLDGYSVTDAVALRVRSGILEQTGATAAVLQSDTMDHYRTFHMLERLLHAPPKLLHQLIFQIPPSRQALLIERYYAFDEAFVREVLGKKLSKGTKKDLDDISTKTGITLKSCRRQFDNFKRVFKVVEEMRGSLVDNIQQHFLLSDRLARDYAAIVFFANNRFETGKKKLQYLSFGDFAFCAELMIQNWTLGAVDSQMDDMDMDLDKEFLQDLKELKVLVADKDLLDLHKSLVCTALRGKLGVFSEMEANFKNLSRGLVNVAAKLTHNKDVRDLFVDLVEKFVEPCRSDHWPLSDVRFFLNQYSASVHSLDGFRHQALWDRYMGTLRGCLLRLYHD
Host
Rabbit
Clonality
Polyclonal
Isotype
IgG
Conjugate

Unconjugated

Purification
Affinity purification.
Concentration
Lot Specific
Molecular Weight
42 kDa
Predicted MW
42 kDa
Product Form
Liquid
Formulation
Supplied in Phosphate Buffered Saline, pH 7.3, with 50% Glycerol and 0.02% Sodium Azide.
Storage
Shipped at 4°C. Upon delivery aliquot and store at -20°C. Avoid freeze/thaw cycles.
Synonyms
Acidic fibroblast growth factor intracellular-binding protein, aFGF intracellular-binding protein, FGF-1 intracellular-binding protein
Disclaimer
This product is for research use only. It is not intended for diagnostic or therapeutic use.
Publishing research using Anti-FIBP Antibody (A15227)? Please let us know so that we can list the citation on this page.

Alternative products to Anti-FIBP Antibody (A15227)

Proteins predicted to interact with FIBP

Predicted protein interactions based upon String database. Revelancy score correlates with probability of interaction.
95.1% Relevancy Score
93.5% Relevancy Score
87.5% Relevancy Score
83.6% Relevancy Score
82.9% Relevancy Score
68.9% Relevancy Score
66.7% Relevancy Score
61.7% Relevancy Score
59.9% Relevancy Score