Anti-Fibroblast Activation Protein alpha Antibody [FAP/4854]
Description
Mouse monoclonal [FAP/4854] antibody to Fibroblast Activation Protein alpha.
Specificity
FAP (fibroblast activation protein) is a cell surface glycoprotein and serine protease that is expressed primarily in fetal mesenchymal tissues and epithelial cancer fibroblasts. In cancer, FAP functions to promote cellular proliferation. In embryonic development, FAP functions to remodel developing tissues. FAP acts as an integral membrane gelatinase composed of N-glycosylated proteolytically inactive subunits. FAP expression on chondrocyte membranes is upregulated by the combination of the cytokines IL-1 and OSM and has been shown to increase in osteoarthritic patients. This expression is colocalized with MMP-1 and MMP-13 as well as CD44 (variants v3 and v7/8). Mice that lack all copies of the FAP gene have been found to be fertile and to have developmental defects or change in cancer susceptibility.
Applications
IHC-P
Dilutions
IHC-P: 1-2 µg/ml
Reactivity
Human
Immunogen
Recombinant fragment, around amino acids 1-200, of human Fibroblast Activation Protein alpha. The exact sequence is proprietary.
Host
Mouse
Clonality
Monoclonal
Clone ID
FAP/4854
Isotype
IgG2c
Light Chains
kappa
Conjugate
Unconjugated
Purification
Protein A/G chromatography.
Concentration
200 µg/ml
Molecular Weight
88 kDa
Product Form
Liquid
Formulation
Supplied in 10mM Phosphate Buffered Saline with 0.05% BSA and 0.05% Sodium Azide.
Storage
Shipped at 4°C. Upon delivery aliquot and store at -20°C. Avoid freeze / thaw cycles.
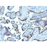
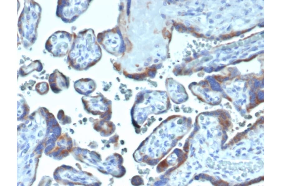
Immunohistochemistry - Anti-Fibroblast Activation Protein alpha Antibody [FAP/4854] (A277596)
Immunohistochemical analysis of formalin-fixed, paraffin-embedded human placenta tissue using Anti-Fibroblast Activation Protein alpha Antibody [FAP/4854].
Anti-Fibroblast Activation Protein alpha Antibody [FAP/4854] (A277596)
Analysis of protein array containing more than 19,000 full-length human proteins using Anti-Fibroblast Activation Protein alpha Antibody [FAP/4854]. Z-Score and S- Score: The Z-score represents the strength of a signal that a monoclonal antibody (MAb) (in combination with a fluorescently-tagged anti-IgG secondary antibody) produces when binding to a particular protein on the HuProtTM array. Z-scores are described in units of standard deviations (SD's) above the mean value of all signals generated on that array. If targets on HuProtTM are arranged in descending order of the Z-score, the S-score is the difference (also in units of SD's) between the Z-score. S-score therefore represents the relative target specificity of a MAb to its intended target; a MAb is considered to be specific to its intended target, if the MAb has an S-score of at least 2.5. For example, if a MAb binds to protein X with a Z-score of 43 and to protein Y with a Z-score of 14, then the S-score for the binding of that MAb to protein X is equal to 29.
Publishing research using Anti-Fibroblast Activation Protein alpha Antibody [FAP/4854] (A277596)? Please let us know so that we can list the citation on this page.
Most popular Anti-Fibroblast Activation Protein alpha Antibodies
Recombinant humanized monoclonal antibody to FAP for use as a research grade Sibrotuzumab biosimilar for ELISA, Flow Cytometry, Functional Studies and in vivo Research.
Recombinant human monoclonal antibody to FAP for use as a research grade Simlukafusp alfa biosimilar for ELISA, Flow Cytometry, Functional Studies and in vivo Research.
Recombinant human monoclonal antibody to FAP for use as a research grade Anti-Human FAP [NG-641] bio for ELISA, Flow Cytometry, Functional Studies and in vivo Research.
Recombinant humanized monoclonal antibody to FAP for use as a research grade Sibrotuzumab biosimilar for ELISA, Flow Cytometry, Functional Studies and in vivo Research.
Recombinant human monoclonal antibody to FAP for use as a research grade Simlukafusp alfa biosimilar for ELISA, Flow Cytometry, Functional Studies and in vivo Research.
Recombinant human monoclonal antibody to FAP for use as a research grade Anti-Human FAP [NG-641] bio for ELISA, Flow Cytometry, Functional Studies and in vivo Research.