Western blot analysis of various lysates, using Anti-Fibronectin Antibody (A89094) at 1:600 dilution. The secondary antibody was Goat Anti-Rabbit IgG H&L Antibody (HRP) at 1:10,000 dilution. Lysates/proteins were present at 25µg per lane. The blocking buffer used was 3% non-fat dry milk in TBST. Detection was with a ECL Basic Kit. Exposure time: 10s.
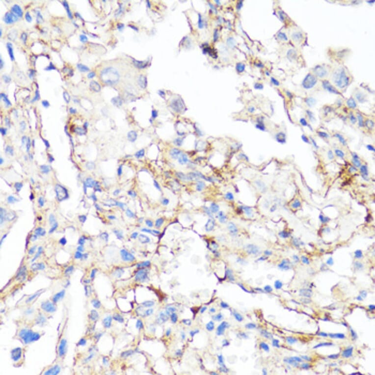
Immunohistochemistry analysis of paraffin-embedded human lung cancer using Anti-Fibronectin Antibody (A89094) at a dilution of 1:100 (40x lens). Perform microwave antigen retrieval with 10 mM PBS buffer pH 7.2 before commencing with IHC staining protocol.
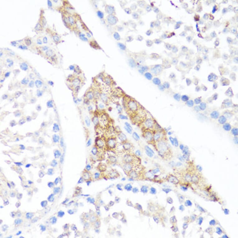
Immunohistochemistry analysis of paraffin-embedded mouse testis leydig using Anti-Fibronectin Antibody (A89094) at a dilution of 1:100 (40x lens). Perform microwave antigen retrieval with 10 mM PBS buffer pH 7.2 before commencing with IHC staining protocol.
Immunofluorescence analysis of HepG2 cells using Anti-Fibronectin Antibody (A89094) at a dilution of 1:50 (40x lens). DAPI was used to stain the cell nuclei (blue).
Publishing research using Anti-Fibronectin Antibody (A89094)? Please let us know so that we can list the citation on this page.
Alternative products to Anti-Fibronectin Antibody (A89094)
Human monoclonal antibody to Fibronectin Research grade Anti-Human Fibronectin [HuBC-1 ScFv] biosim for ELISA, Flow Cytometry, Functional Studies and in vivo Research.
Human monoclonal antibody to Fibronectin Research grade Anti-Human Fibronectin [F8-IL12] biosimilar for ELISA, Flow Cytometry, Functional Studies and in vivo Research.
Human monoclonal antibody to Fibronectin Research grade Anti-Human Fibronectin [F8-IL-4] biosimilar for ELISA, Flow Cytometry, Functional Studies and in vivo Research.
Human monoclonal antibody to Fibronectin Research grade Anti-Human Fibronectin [HuBC-1 ScFv] biosim for ELISA, Flow Cytometry, Functional Studies and in vivo Research.
Human monoclonal antibody to Fibronectin Research grade Anti-Human Fibronectin [F8-IL12] biosimilar for ELISA, Flow Cytometry, Functional Studies and in vivo Research.
Human monoclonal antibody to Fibronectin Research grade Anti-Human Fibronectin [F8-IL-4] biosimilar for ELISA, Flow Cytometry, Functional Studies and in vivo Research.