ISO 9001:2015 Certified
Live Customer Support
4.5/5 on Trustpilot
100% Quality Guarantee

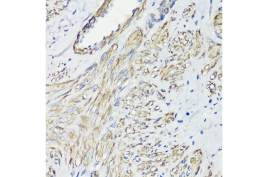
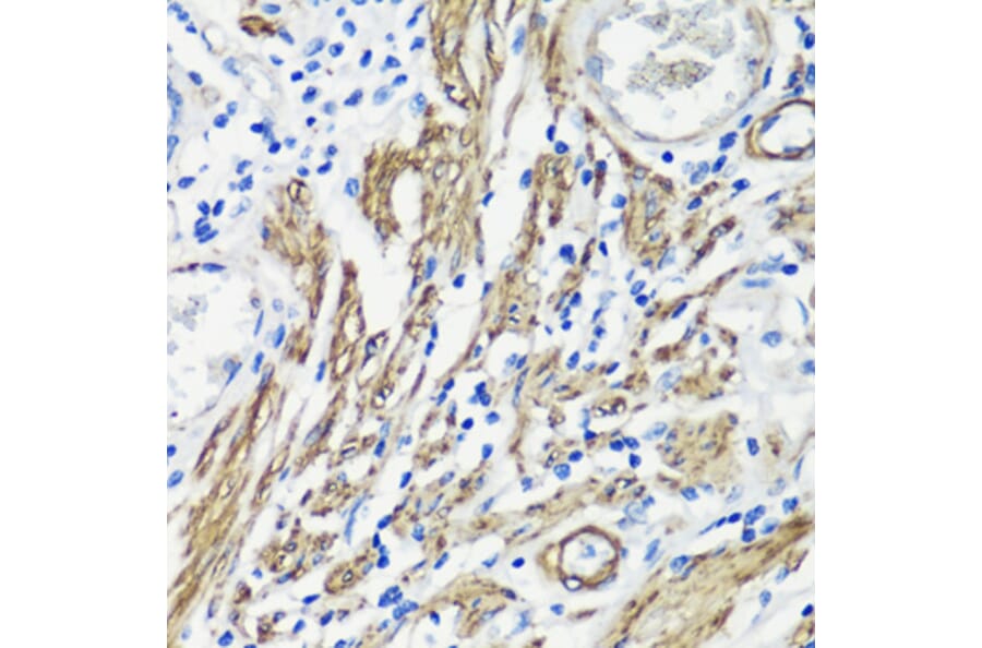
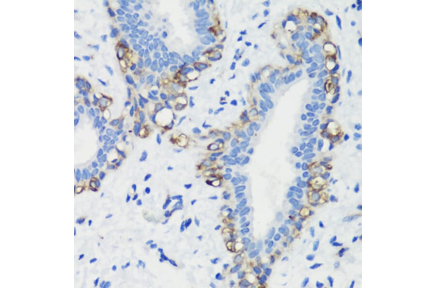
Anti-Filamin A Antibody (A12186)

This product is discontinued

Anti-Filamin A Antibody (A12186) has been discontinued and is no longer available.

View all Filamin A Antibodies.

Name
Anti-Filamin A Antibody
Description
Rabbit polyclonal antibody to Filamin A.
Applications
WB, IHC
Dilutions
WB: 1:500-1:2,000, IHC: 1:50-1:200
Reactivity
Human, Mouse, Rat
Immunogen
A synthetic peptide corresponding to a sequence within amino acids 2500 to the C-terminus of human Filamin A (NP_001104026.1).
Sequence
KYGGPYHIGGSPFKAKVTGPRLVSNHSLHETSSVFVDSLTKATCAPQHGAPGPGPADASKVVAKGLGLSKAYVGQKSSFTVDCSKAGNNMLLVGVHGPRTPCEEILVKHVGSRLYSVSYLLKDKGEYTLVVKWGDEHIPGSPYRVVVP
Host
Rabbit
Clonality
Polyclonal
Isotype
IgG
Conjugate

Unconjugated

Purification
Affinity purification.
Molecular Weight
315 kDa
Product Form
Liquid
Formulation
Supplied in Phosphate Buffered Saline, pH 7.3, with 50% Glycerol and 0.02% Sodium Azide.
Storage
Shipped at 4°C. Upon delivery aliquot and store at -20°C. Avoid freeze / thaw cycles.
Synonyms
ABP-280, Actin-binding protein 280, Alpha-filamin, Endothelial actin-binding protein, Filamin-1, Filamin-A, FLN, FLN-A, FLN1, FLNA, Non-muscle filamin
Disclaimer
This product is for research use only. It is not intended for diagnostic or therapeutic use.

Alternative products to Anti-Filamin A Antibody (A12186)

Proteins predicted to interact with Filamin A

Predicted protein interactions based upon String database. Revelancy score correlates with probability of interaction.
99.9% Relevancy Score
99.9% Relevancy Score
99.8% Relevancy Score
99.8% Relevancy Score
99.6% Relevancy Score
99.4% Relevancy Score
99.3% Relevancy Score
98.9% Relevancy Score
98.5% Relevancy Score