Primary Antibodies
Secondary Antibodies
Proteins & Peptides
ELISA Kits
About Us
Contact Us
Sign In/Register
0
ISO 9001:2015 Certified
Live Customer Support
4.5/5 on Trustpilot
100% Quality Guarantee
Home
Primary Antibodies
FLCN Antibodies
Anti-FLCN Antibody (A46795)
Anti-FLCN Antibody (A46795)
Overview
Specifications
Images
Enlarge Image
Enlarge Image
$430
Product Datasheet
Rabbit polyclonal antibody to FLCN for IHC.
100% Guarantee
Price Match Guarantee
Product Size:
100µl
Quantity:
1
2
3
4
5
6
7
8
9
10
Add To Cart
Request a Quotation
Custom or Bulk Request
Shipping Information
Freight/Packing Charges:
$40
Dispatched from St. Louis, MO.
Lead Time: 6-9 business days.
Specifications
Name
Anti-FLCN Antibody
Description
Rabbit polyclonal antibody to FLCN
Specificity
The antibody detects endogenous levels of total FLCN protein.
Applications
IHC
Reactivity
Human
Immunogen
Fusion protein corresponding to residues near the C terminal of human folliculin
Host
Rabbit
Clonality
Polyclonal
Conjugate
Unconjugated
Purification
Antigen affinity purification.
Concentration
1.8 mg/mL
Formulation
Supplied in PBS, pH 7.3, containing 0.05% sodium azide and 50% glycerol.
Storage
Shipped at 4°C. Upon delivery aliquot and store at -20°C. Avoid freeze/thaw cycles.
Synonyms
BHD, BHD skin lesion fibrofolliculoma protein, Birt-Hogg-Dube syndrome protein, Folliculin
Suitable Secondaries
Goat Anti-Rabbit IgG H&L Antibody (AP) (A294874)
Goat Anti-Rabbit IgG H&L Antibody (Biotin) (A294795)
Goat Anti-Rabbit IgG H&L Antibody (FITC) (A294887)
Goat Anti-Rabbit IgG H&L Antibody (HRP) (A294888)
See all Anti-Rabbit IgG Secondaries →
Disclaimer
This product is for research use only. It is not intended for diagnostic or therapeutic use.
Scientific Validation Data
Validation Data
(2)
Enlarge Image
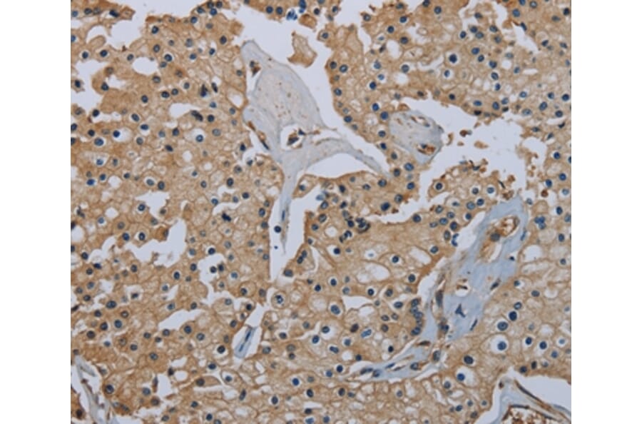
Immunohistochemistry - Anti-FLCN Antibody (A46795)
Immunohistochemical analysis of paraffin-embedded Human prostate cancer tissue using #36486 at dilution 1/40.
Enlarge Image
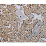
Immunohistochemistry - Anti-FLCN Antibody (A46795)
Immunohistochemical analysis of paraffin-embedded Human brain tissue using #36486 at dilution 1/40.
Publishing research using Anti-FLCN Antibody (A46795)? Please
let us know
so that we can list the citation on this page.
Alternative products to Anti-FLCN Antibody (A46795)
(4)
A91110
Anti-FLCN Antibody
Rabbit polyclonal antibody to FLCN for WB and ICC/IF.
(2)
A40048
Anti-FLCN Antibody
Rabbit polyclonal antibody to FLCN for WB and IHC.
A15251
Anti-FLCN Antibody
Rabbit polyclonal antibody to FLCN for WB and IHC.
(4)
A91110
Anti-FLCN Antibody
Rabbit polyclonal antibody to FLCN for WB and ICC/IF.
(2)
A40048
Anti-FLCN Antibody
Rabbit polyclonal antibody to FLCN for WB and IHC.
A15251
Anti-FLCN Antibody
Rabbit polyclonal antibody to FLCN for WB and IHC.
Proteins predicted to interact with FLCN
Predicted protein interactions based upon String database. Revelancy score correlates with probability of interaction.
FNIP2 Antibodies
99.9% Relevancy Score
RRAGC Antibodies
99.9% Relevancy Score
RRAGA Antibodies
99.8% Relevancy Score
RRAGD Antibodies
98.3% Relevancy Score
LAMTOR1 Antibodies
94.1% Relevancy Score
LAMTOR4 Antibodies
94% Relevancy Score
LAMTOR2 Antibodies
93.4% Relevancy Score
MAPKSP1 Antibodies
93.3% Relevancy Score
HBXIP Antibodies
92% Relevancy Score
Top