Primary Antibodies
Secondary Antibodies
Proteins & Peptides
ELISA Kits
About Us
Contact Us
Sign In/Register
0
ISO 9001:2015 Certified
Live Customer Support
4.5/5 on Trustpilot
100% Quality Guarantee
Home
Primary Antibodies
FLI1 Antibodies
Anti-FLI1 Antibody [ABT-FLI1] (A99229)
Anti-FLI1 Antibody [ABT-FLI1] (A99229)
Overview
Specifications
Images
Enlarge Image
Enlarge Image
Enlarge Image
$190
Product Datasheet
Mouse monoclonal (ABT-FLI1) antibody to FLI1 for IHC and WB.
100% Guarantee
Price Match Guarantee
Product Size:
10µl
50µl
100µl
Quantity:
1
2
3
4
5
6
7
8
9
10
Add To Cart
Request a Quotation
Custom or Bulk Request
Shipping Information
Freight/Packing Charges:
$40
Dispatched from St. Louis, MO.
Lead Time: 6-8 business days.
Specifications
Name
Anti-FLI1 Antibody [ABT-FLI1]
Description
Mouse monoclonal (ABT-FLI1) antibody to FLI1.
Applications
IHC
,
WB
Reactivity
Human
Immunogen
Synthetic peptide derived from human FLI1.
Host
Mouse
Clonality
Monoclonal
Clone ID
ABT-FLI1
Isotype
IgG
Conjugate
Unconjugated
Purification
Immunogen affinity purified.
Product Form
Liquid
Formulation
Supplied in Tris Buffered Saline with 0.5% Bovine Serum Albumin and 0.1% Kathon CG/ICP.
Synonyms
Friend leukemia integration 1 transcription factor, Proto-oncogene Fli-1, Transcription factor ERGB
Isotype Controls
Mouse IgG (A17361)
Suitable Secondaries
Goat Anti-Mouse IgG H&L Antibody (AP) (A301438)
Goat Anti-Mouse IgG H&L Antibody (Biotin) (A301439)
Goat Anti-Mouse IgG H&L Antibody (FITC) (A301669)
Goat Anti-Mouse IgG H&L Antibody (HRP) (A301445)
See all Anti-Mouse IgG Secondaries →
Disclaimer
This product is for research use only. It is not intended for diagnostic or therapeutic use.
Scientific Validation Data
Validation Data
(3)
Enlarge Image
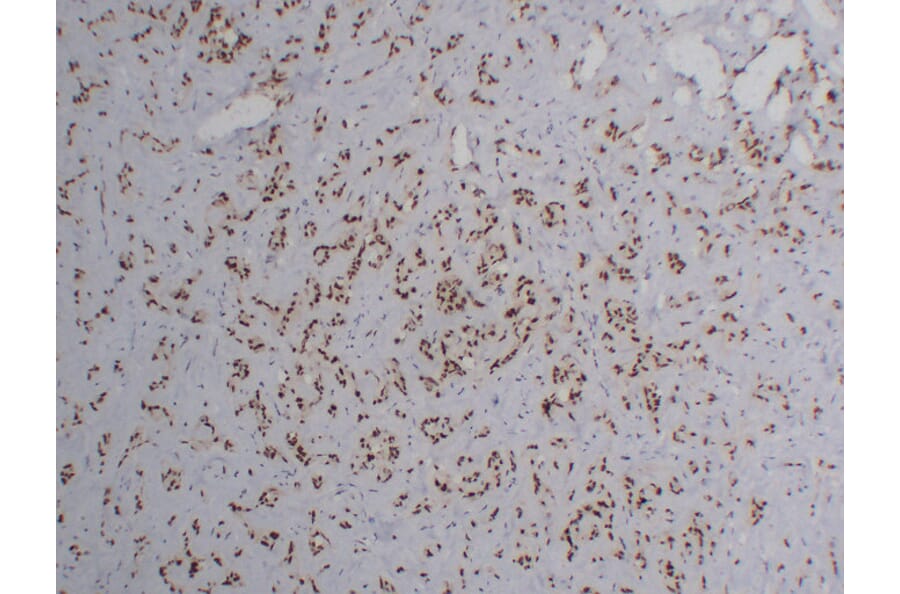
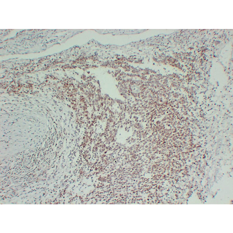
Immunohistochemistry - Anti-FLI1 Antibody [ABT-FLI1] (A99229)
Immunohistochemical analysis of paraffin-embedded human Hemangioendothelioma using Anti-FLI1 Antibody.
Enlarge Image
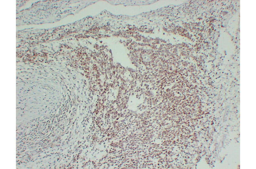
Immunohistochemistry - Anti-FLI1 Antibody [ABT-FLI1] (A99229)
Immunohistochemical analysis of paraffin-embedded human Hemangioendothelioma using Anti-FLI1 Antibody.
Enlarge Image
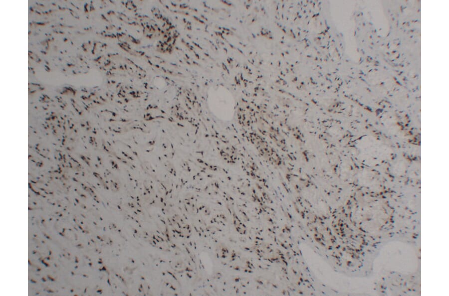
Immunohistochemistry - Anti-FLI1 Antibody [ABT-FLI1] (A99229)
Immunohistochemical analysis of paraffin-embedded human PNET using Anti-FLI1 Antibody.
Publishing research using Anti-FLI1 Antibody [ABT-FLI1] (A99229)? Please
let us know
so that we can list the citation on this page.
Alternative products to Anti-FLI1 Antibody [ABT-FLI1] (A99229)
A55120
Anti-FLI1 Antibody
Rabbit polyclonal antibody to FLI1 for CM, ELISA, ICC, IF, IHC, IP and WB.
(4)
A98149
Anti-FLI1 Antibody
Rabbit polyclonal antibody to FLI1 for WB, IHC and ELISA.
(2)
A35572
Anti-FLI1 Antibody
Rabbit polyclonal antibody to FLI1 for WB, IHC and IF.
(2)
A14879
Anti-FLI1 Antibody
Rabbit polyclonal antibody to FLI1 for WB and IP.
A55121
Anti-FLI1 Antibody
Rabbit polyclonal antibody to FLI1 for ELISA, IP and WB.
A248550
Anti-FLI1 Antibody [FLI1/1312]
Mouse monoclonal [FLI1/1312] antibody to FLI1 for Flow Cytometry, IF and WB.
(2)
A38594
Anti-FLI1 Antibody
Rabbit polyclonal antibody to FLI1 for WB and IHC.
A251732
Anti-FLI1 Antibody [FLI1/1312] - BSA and Azide free
Mouse monoclonal [FLI1/1312] antibody to FLI1 for Flow Cytometry, IF and WB.
(2)
A248551
Anti-FLI1 Antibody [FLI1/3183]
Mouse monoclonal [FLI1/3183] antibody to FLI1 for ELISA.
(2)
A251733
Anti-FLI1 Antibody [FLI1/3183] - BSA and Azide free
Mouse monoclonal [FLI1/3183] antibody to FLI1 for ELISA.
A316355
Anti-FLI1 Antibody [FLI1/7508] - BSA and Azide free
Mouse monoclonal [FLI1/7508] antibody to FLI1 for WB and IHC-P.
A43536
Anti-FLI1 Antibody
Rabbit polyclonal antibody to FLI1 for WB.
A55120
Anti-FLI1 Antibody
Rabbit polyclonal antibody to FLI1 for CM, ELISA, ICC, IF, IHC, IP and WB.
(4)
A98149
Anti-FLI1 Antibody
Rabbit polyclonal antibody to FLI1 for WB, IHC and ELISA.
(2)
A35572
Anti-FLI1 Antibody
Rabbit polyclonal antibody to FLI1 for WB, IHC and IF.
(2)
A14879
Anti-FLI1 Antibody
Rabbit polyclonal antibody to FLI1 for WB and IP.
A55121
Anti-FLI1 Antibody
Rabbit polyclonal antibody to FLI1 for ELISA, IP and WB.
A248550
Anti-FLI1 Antibody [FLI1/1312]
Mouse monoclonal [FLI1/1312] antibody to FLI1 for Flow Cytometry, IF and WB.
(2)
A38594
Anti-FLI1 Antibody
Rabbit polyclonal antibody to FLI1 for WB and IHC.
A251732
Anti-FLI1 Antibody [FLI1/1312] - BSA and Azide free
Mouse monoclonal [FLI1/1312] antibody to FLI1 for Flow Cytometry, IF and WB.
(2)
A248551
Anti-FLI1 Antibody [FLI1/3183]
Mouse monoclonal [FLI1/3183] antibody to FLI1 for ELISA.
(2)
A251733
Anti-FLI1 Antibody [FLI1/3183] - BSA and Azide free
Mouse monoclonal [FLI1/3183] antibody to FLI1 for ELISA.
A316355
Anti-FLI1 Antibody [FLI1/7508] - BSA and Azide free
Mouse monoclonal [FLI1/7508] antibody to FLI1 for WB and IHC-P.
A43536
Anti-FLI1 Antibody
Rabbit polyclonal antibody to FLI1 for WB.
See all FLI1 Antibodies
Proteins predicted to interact with FLI1
Predicted protein interactions based upon String database. Revelancy score correlates with probability of interaction.
FBXW7 Antibodies
99.5% Relevancy Score
TPP1 Antibodies
94% Relevancy Score
GATA2 Antibodies
92.8% Relevancy Score
RUNX1 Antibodies
92.1% Relevancy Score
EWS Antibodies
91.2% Relevancy Score
TAL1 Antibodies
91.1% Relevancy Score
RUNX2 Antibodies
84.9% Relevancy Score
PU.1 Antibodies
84.8% Relevancy Score
c-Myb Antibodies
84.4% Relevancy Score
Top