ISO 9001:2015 Certified
Live Customer Support
4.5/5 on Trustpilot
100% Quality Guarantee

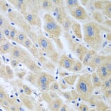
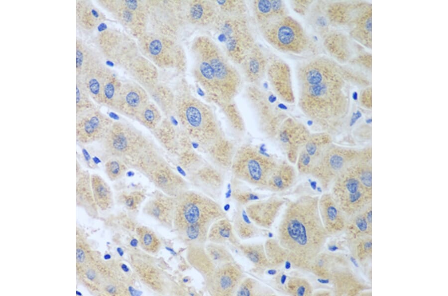
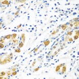
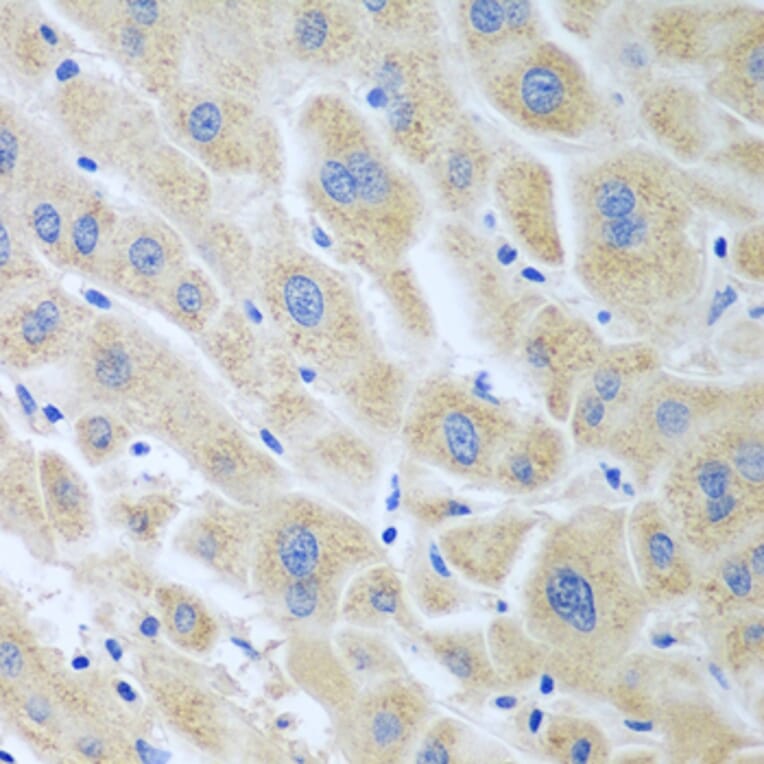
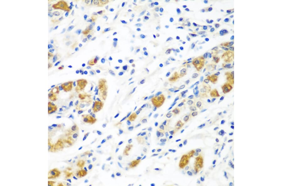
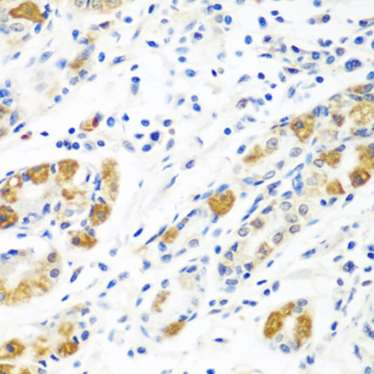
Anti-FLR Antibody (A10093)

Rabbit polyclonal antibody to FLR for WB and IHC.

Shipping Information

$40
Dispatched from St. Louis, MO.
Lead Time: 7-10 business days.
Name
Anti-FLR Antibody
Description
Rabbit polyclonal antibody to FLR.
Applications
WB, IHC
Dilutions
WB: 1:500-1:2,000, IHC: 1:50-1:100
Reactivity
Human, Mouse, Rat
Immunogen
Recombinant fusion protein containing a sequence corresponding to amino acids 1-206 of human BLVRB (NP_000704.1).
Sequence
MAVKKIAIFGATGQTGLTTLAQAVQAGYEVTVLVRDSSRLPSEGPRPAHVVVGDVLQAADVDKTVAGQDAVIVLLGTRNDLSPTTVMSEGARNIVAAMKAHGVDKVVACTSAFLLWDPTKVPPRLQAVTDDHIRMHKVLRESGLKYVAVMPPHIGDQPLTGAYTVTLDGRGPSRVISKHDLGHFMLRCLTTDEYDGHSTYPSHQYQ
Host
Rabbit
Clonality
Polyclonal
Isotype
IgG
Conjugate

Unconjugated

Purification
Affinity purification.
Concentration
Lot Specific
Molecular Weight
22 kDa
Product Form
Liquid
Formulation
Supplied in Phosphate Buffered Saline, pH 7.3, with 50% Glycerol and 0.02% Sodium Azide.
Storage
Shipped at 4°C. Upon delivery aliquot and store at -20°C. Avoid freeze/thaw cycles.
Synonyms
Biliverdin reductase B, Biliverdin-IX beta-reductase, BVR-B, Flavin reductase (NADPH), FR, GHBP, Green heme-binding protein, NADPH-dependent diaphorase, NADPH-flavin reductase, S-nitroso-CoA-assisted nitrosyltransferase, SCAN, SNO-CoA-assisted nitrosyltransferase
Disclaimer
This product is for research use only. It is not intended for diagnostic or therapeutic use.
Publishing research using Anti-FLR Antibody (A10093)? Please let us know so that we can list the citation on this page.

Alternative products to Anti-FLR Antibody (A10093)

Proteins predicted to interact with BLVRB

Predicted protein interactions based upon String database. Revelancy score correlates with probability of interaction.
99.3% Relevancy Score
95.2% Relevancy Score
95.1% Relevancy Score
91.4% Relevancy Score
91.3% Relevancy Score
87.6% Relevancy Score
86.2% Relevancy Score
84.8% Relevancy Score
84.2% Relevancy Score