Anti-FLT3 Antibody [FLT3/2458] - BSA and Azide free
Description
Mouse monoclonal [FLT3/2458] antibody to FLT3.
Specificity
Stem cell tyrosine kinase (STK-1) has been cloned from a CD34+ hematopoietic stem cell enriched library and identified as the human homolog of a previously identified gene of Mouse origin designated either Flk-2 or Flt-3. The STK-1 cDNA encodes a protein of 993 amino acids with 85% identity to Flt-3/Flk-2. STK-1 is a member of the type III receptor tyrosine kinase family that includes Kit (steel factor receptor), Fms and PDGF. STK-1 expression in blood and marrow is restricted to CD34+ cells, a population greatly enriched for hematopoietic stem/progenitor cells. STK-1 antiserum recognizes two polypeptides in these cells. The Mouse homolog of STK-1, designated Flt-3/Flk-2, is expressed at high levels in hematopoietic cells and also in neural, gonadal, hepatic and placental tissues. It has been suggested that STK-1 and its murine homolog Flt-3/Flk-2 may function as growth factor receptors on hematopoietic stem and/or progenitor cells.
Applications
IHC-P
Dilutions
IHC-P: 1-2 µg/ml
Reactivity
Human
Immunogen
Recombinant full-length human FLT3 protein.
Host
Mouse
Clonality
Monoclonal
Clone ID
FLT3/2458
Isotype
IgG2b
Light Chains
kappa
Conjugate
Unconjugated
Purification
Protein A/G chromatography.
Concentration
1 mg/ml
Molecular Weight
160 kDa
Product Form
Liquid
Formulation
Supplied in 10mM Phosphate Buffered Saline; without Sodium Azide and carrier free.
Storage
Shipped at 4°C. Upon delivery aliquot and store at -20°C. Avoid freeze / thaw cycles.
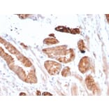
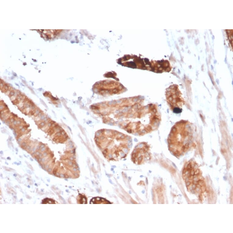
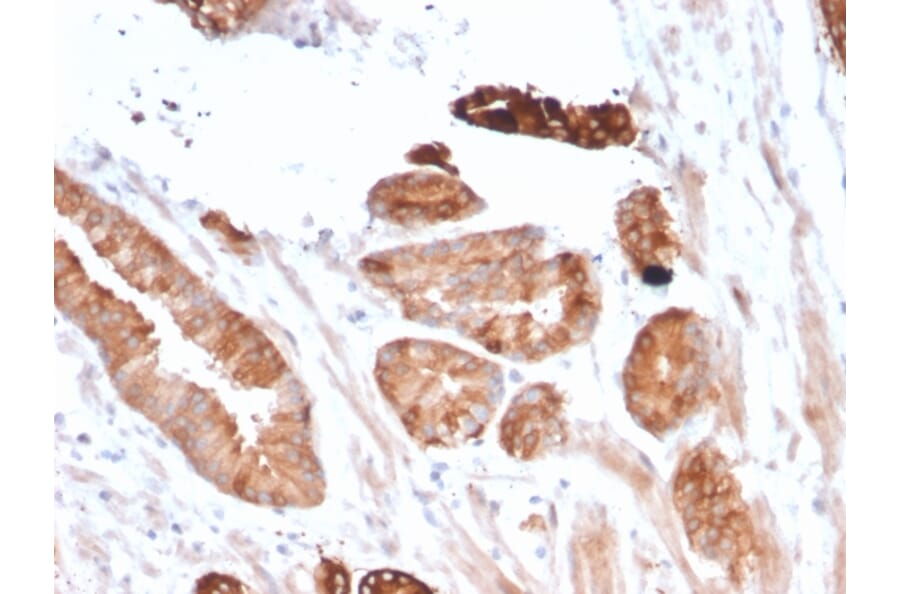
Immunohistochemical analysis of formalin-fixed, paraffin-embedded human breast carcinoma using Anti-FLT3 Antibody [FLT3/2458].
Publishing research using Anti-FLT3 Antibody [FLT3/2458] - BSA and Azide free (A251756)? Please let us know so that we can list the citation on this page.
Alternative products to Anti-FLT3 Antibody [FLT3/2458] - BSA and Azide free (A251756)
Recombinant human monoclonal antibody to FLT3 for use as a research grade Anti-Human FLT3 [4G8SDIEM] for ELISA, Flow Cytometry, Functional Studies and in vivo Research.
Recombinant human monoclonal antibody to FLT3 for use as a research grade Anti-Human FLT3 [AGS62P1] for ELISA, Flow Cytometry, Functional Studies and in vivo Research.
Recombinant human monoclonal antibody to FLT3 for use as a research grade Anti-Human FLT3 [IMC-EB10] for ELISA, Flow Cytometry, Functional Studies and in vivo Research.
Recombinant human monoclonal antibody to FLT3 for use as a research grade Anti-Human FLT3 [Flysyn] b for ELISA, Flow Cytometry, Functional Studies and in vivo Research.
Recombinant human monoclonal antibody to FLT3 for use as a research grade AMG 329 biosimilar for ELISA, Flow Cytometry, Functional Studies and in vivo Research.
Recombinant human monoclonal antibody to FLT3 for use as a research grade Anti-Human FLT3 [4G8SDIEM] for ELISA, Flow Cytometry, Functional Studies and in vivo Research.
Recombinant human monoclonal antibody to FLT3 for use as a research grade Anti-Human FLT3 [AGS62P1] for ELISA, Flow Cytometry, Functional Studies and in vivo Research.
Recombinant human monoclonal antibody to FLT3 for use as a research grade Anti-Human FLT3 [IMC-EB10] for ELISA, Flow Cytometry, Functional Studies and in vivo Research.
Recombinant human monoclonal antibody to FLT3 for use as a research grade Anti-Human FLT3 [Flysyn] b for ELISA, Flow Cytometry, Functional Studies and in vivo Research.
Recombinant human monoclonal antibody to FLT3 for use as a research grade AMG 329 biosimilar for ELISA, Flow Cytometry, Functional Studies and in vivo Research.