Primary Antibodies
Secondary Antibodies
Proteins & Peptides
ELISA Kits
About Us
Contact Us
Sign In/Register
0
ISO 9001:2015 Certified
Live Customer Support
4.5/5 on Trustpilot
100% Quality Guarantee
Home
Primary Antibodies
FOLH1B Antibodies
Anti-FOLH1B Antibody (A45566)
Anti-FOLH1B Antibody (A45566)
Overview
Specifications
Images
Enlarge Image
Enlarge Image
$430
Product Datasheet
Rabbit polyclonal antibody to FOLH1B for IHC.
100% Guarantee
Price Match Guarantee
Product Size:
100µl
Quantity:
1
2
3
4
5
6
7
8
9
10
Add To Cart
Request a Quotation
Custom or Bulk Request
Shipping Information
Freight/Packing Charges:
$40
Dispatched from St. Louis, MO.
Lead Time: 6-9 business days.
Specifications
Name
Anti-FOLH1B Antibody
Description
Rabbit polyclonal antibody to FOLH1B
Specificity
The antibody detects endogenous levels of total FOLH1B protein.
Applications
IHC
Reactivity
Human
Immunogen
Synthetic peptide corresponding to a region derived from internal residues of human folate hydrolase 1B
Host
Rabbit
Clonality
Polyclonal
Conjugate
Unconjugated
Purification
Antigen affinity purification.
Concentration
0.8 mg/mL
Formulation
Supplied in PBS, pH 7.3, containing 0.05% sodium azide and 50% glycerol.
Storage
Shipped at 4°C. Upon delivery aliquot and store at -20°C. Avoid freeze/thaw cycles.
Synonyms
Cell growth-inhibiting gene 26 protein, NAALADase, Prostate-specific membrane antigen-like protein, PSMAL, Putative folate hydrolase 1B, Putative N-acetylated-alpha-linked acidic dipeptidase
Suitable Secondaries
Goat Anti-Rabbit IgG H&L Antibody (AP) (A294874)
Goat Anti-Rabbit IgG H&L Antibody (Biotin) (A294795)
Goat Anti-Rabbit IgG H&L Antibody (FITC) (A294887)
Goat Anti-Rabbit IgG H&L Antibody (HRP) (A294888)
See all Anti-Rabbit IgG Secondaries →
Disclaimer
This product is for research use only. It is not intended for diagnostic or therapeutic use.
Scientific Validation Data
Validation Data
(2)
Enlarge Image
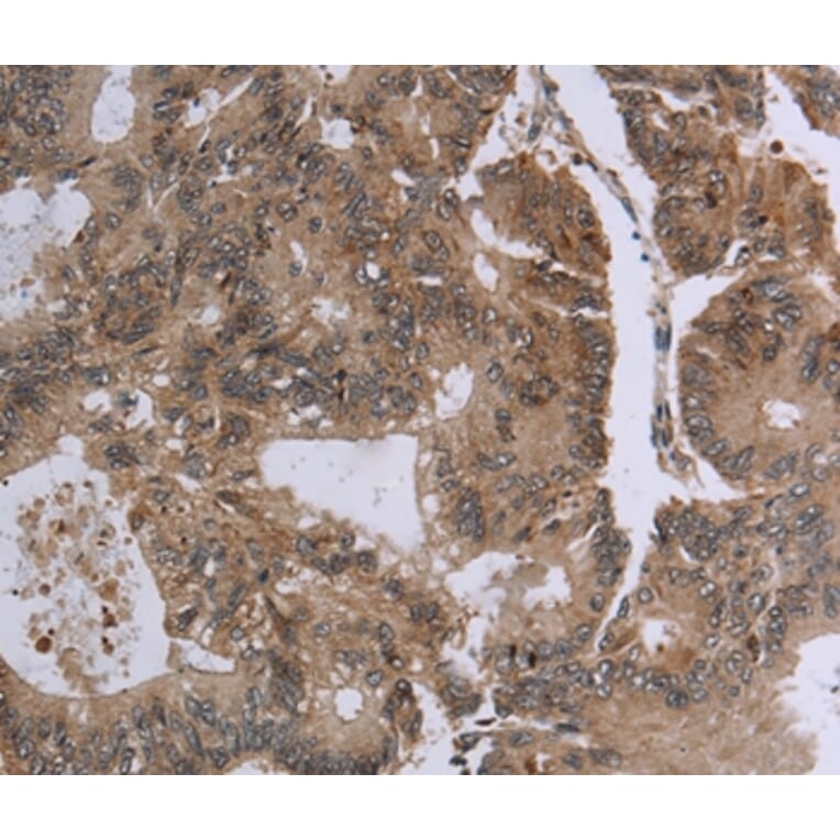
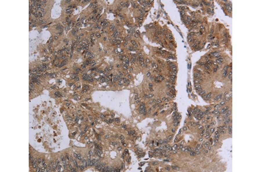
Immunohistochemistry - Anti-FOLH1B Antibody (A45566)
Immunohistochemical analysis of paraffin-embedded Human colon cancer tissue using #37575 at dilution 1/20.
Enlarge Image
Immunohistochemistry - Anti-FOLH1B Antibody (A45566)
Immunohistochemical analysis of paraffin-embedded Human tonsil tissue using #37575 at dilution 1/20.
Publishing research using Anti-FOLH1B Antibody (A45566)? Please
let us know
so that we can list the citation on this page.
Top