ISO 9001:2015 Certified
Live Customer Support
4.5/5 on Trustpilot
100% Quality Guarantee

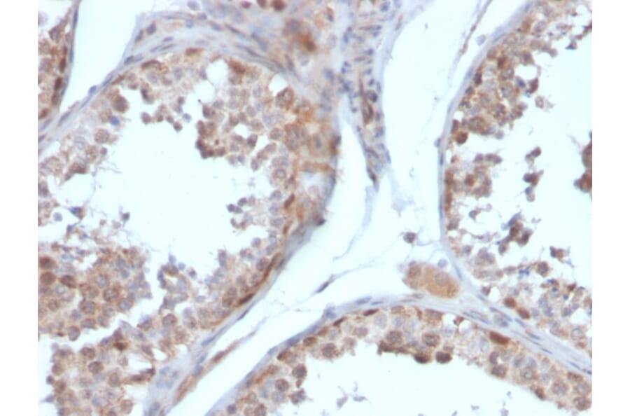
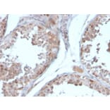
Anti-Follistatin Antibody [FST/4281] - BSA and Azide free (A251302)

Mouse monoclonal [FST/4281] antibody to Follistatin for ELISA and IHC-P.

Alternative Formats and ConjugatesAlternative Formats

Shipping Information

$40
Dispatched from St. Louis, MO.
Lead Time: 5-8 business days.
Name
Anti-Follistatin Antibody [FST/4281] - BSA and Azide free
Description
Mouse monoclonal [FST/4281] antibody to Follistatin.
Specificity
This antibody recognizes both human Fst 288 and human Fst 315.
Applications
ELISA, IHC-P
Dilutions
IHC-P: 1-2 µg/ml
Reactivity
Human
Immunogen
Human Follistatin (Fst) 288.
Host
Mouse
Clonality
Monoclonal
Clone ID
FST/4281
Isotype
IgG1
Conjugate

Unconjugated

Purification
Protein A/G chromatography.
Concentration
1 mg/ml
Molecular Weight
37 kDa
Product Form
Liquid
Formulation
Supplied in 10mM Phosphate Buffered Saline; without Sodium Azide and carrier free.
Storage
Shipped at 4°C. Upon delivery aliquot and store at -20°C. Avoid freeze / thaw cycles.
General Notes
This monoclonal antibody is also available in a different formulation with BSA and Sodium Azide - Anti-Follistatin Antibody [FST/4281] (A248119).
Synonyms
Activin-binding protein, FS, FST
Disclaimer
This product is for research use only. It is not intended for diagnostic or therapeutic use.
Publishing research using Anti-Follistatin Antibody [FST/4281] - BSA and Azide free (A251302)? Please let us know so that we can list the citation on this page.

Alternative products to Anti-Follistatin Antibody [FST/4281] - BSA and Azide free (A251302)

Proteins predicted to interact with Follistatin

Predicted protein interactions based upon String database. Revelancy score correlates with probability of interaction.
99.9% Relevancy Score
99.9% Relevancy Score
99.1% Relevancy Score
98.9% Relevancy Score
98% Relevancy Score
97% Relevancy Score
94.9% Relevancy Score
92.6% Relevancy Score
89.3% Relevancy Score