Immunofluorescent analysis of mouse cerebellum section stained with Anti-FOX2 Antibody (A104328), at a dilution of 1:2,000, in red, and co-stained with Anti-NF-L Antibody [7D1] (A85453), at a dilution of 1:5,000, in green. The blue is Hoechst staining of nuclear DNA. Following transcardial perfusion of mouse with 4% paraformaldehyde, brain was post fixed for 24 hours, cut to 45 µM, and free-floating sections were stained with above antibodies. Anti-FOX2 Antibody (A104328) reveals protein expressed in the nuclei of certain granule cells and all Purkinje cells, while Anti-NF-L Antibody [7D1] (A85453) labels dendrites and axons.
Western blot analysis of nuclear enriched fractions from different tissue and cells using Anti-FOX2 Antibody (A104328), in green. The lanes contain: [Lane 1] protein standard, [Lane 2] rat brain, [Lane 3] mouse brain, [Lane 4] HEK293 cells, and [Lane 5] NIH-3T3 cells. The bands between 50kDa and 75kDa correspond to the FOX2 protein.
Immunofluorescent analysis of rat hippocampus section stained with Anti-FOX2 Antibody (A104328) at a dilution of 1:2,000 (red) and costained with Anti-MAP2 Antibody [2C4] (A85459) at a dilution of 1:5,000 (green). Nuclei were stained with Hoechst (blue). Following transcardial perfusion of rat with 4% paraformaldehyde, brain was post fixed for 24 hours, cut to 45µM, and free-floating sections were stained with above antibodies. The FOX2 antibody stains the nuclei of neuronal cells while the Anti-MAP2 Antibody [2C4] antibody labels MAP2 protein in the perikarya and dendrites of most neurons.
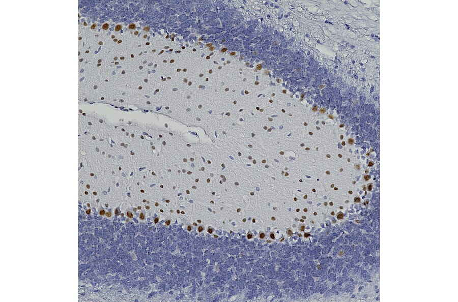
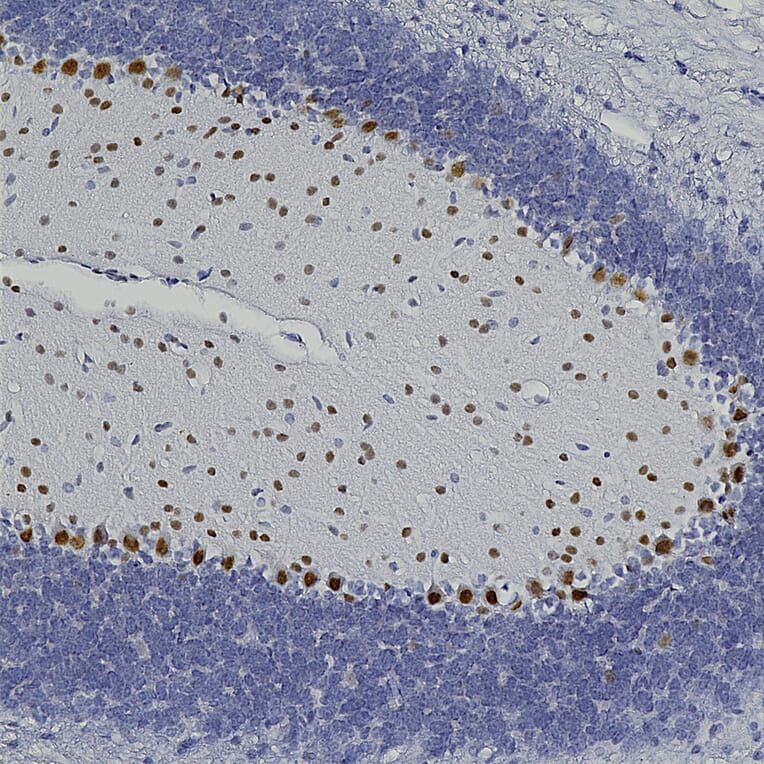
Immunohistochemistry analysis of a formalin fixed paraffin embedded mouse cerebellum section with Anti-FOX2 Antibody (A104328) at a dilution of 1:2,000 detected in DAB (brown) following the ABC method. Counterstained with Hematoxylin (blue). Anti-FOX2 Antibody (A104328) recognizes a nuclear protein found in Purkinje cells and some cells in the granular layer. Interestingly these cells are completely negative for the closely related protein FOX3, also known as NeuN. However FOX3/NeuN is heavily expressed in cerebellar granule cells which do not express FOX2.
Publishing research using Anti-FOX2 Antibody (A104328)? Please let us know so that we can list the citation on this page.
Proteins predicted to interact with RBM9
Predicted protein interactions based upon String database. Revelancy score correlates with probability of interaction.