Primary Antibodies
Secondary Antibodies
Proteins & Peptides
ELISA Kits
About Us
Contact Us
Sign In/Register
0
ISO 9001:2015 Certified
Live Customer Support
4.5/5 on Trustpilot
100% Quality Guarantee
Home
Primary Antibodies
FOXA1 Antibodies
Anti-FOXA1 Antibody (A37978)
Anti-FOXA1 Antibody (A37978)
Overview
Specifications
Images
Enlarge Image
Enlarge Image
$430
Product Datasheet
Rabbit polyclonal antibody to FOXA1 for WB and IHC.
100% Guarantee
Price Match Guarantee
Product Size:
100µl
Quantity:
1
2
3
4
5
6
7
8
9
10
Add To Cart
Request a Quotation
Custom or Bulk Request
Shipping Information
Freight/Packing Charges:
$40
Dispatched from St. Louis, MO.
Lead Time: 6-9 business days.
Specifications
Name
Anti-FOXA1 Antibody
Description
Rabbit polyclonal antibody to FOXA1
Specificity
The antibody detects endogenous levels of total FOXA1 protein.
Applications
WB
,
IHC
Reactivity
Human
Immunogen
Synthetic peptide corresponding to a region derived from internal residues of human forkhead box A1
Host
Rabbit
Clonality
Polyclonal
Conjugate
Unconjugated
Purification
Antigen affinity purification.
Concentration
3.3 mg/mL
Formulation
Supplied in PBS, pH 7.3, containing 0.05% sodium azide and 50% glycerol.
Storage
Shipped at 4°C. Upon delivery aliquot and store at -20°C. Avoid freeze/thaw cycles.
Synonyms
Forkhead box protein A1, Hepatocyte nuclear factor 3-alpha, HNF-3-alpha, HNF-3A, HNF3A, TCF-3A, TCF3A, Transcription factor 3A
Suitable Secondaries
Goat Anti-Rabbit IgG H&L Antibody (AP) (A294874)
Goat Anti-Rabbit IgG H&L Antibody (Biotin) (A294795)
Goat Anti-Rabbit IgG H&L Antibody (FITC) (A294887)
Goat Anti-Rabbit IgG H&L Antibody (HRP) (A294888)
See all Anti-Rabbit IgG Secondaries →
Disclaimer
This product is for research use only. It is not intended for diagnostic or therapeutic use.
Scientific Validation Data
Validation Data
(2)
Enlarge Image
Anti-FOXA1 Antibody (A37978)
Gel: 8% SDS-PAGE Lysates (from left to right): Human prostate tissue and MCF-7 cell Amount of lysate: 40ug per lane Primary antibody: 1/300 dilution Secondary antibody dilution: 1/8000 Exposure time: 5 minutes
Enlarge Image
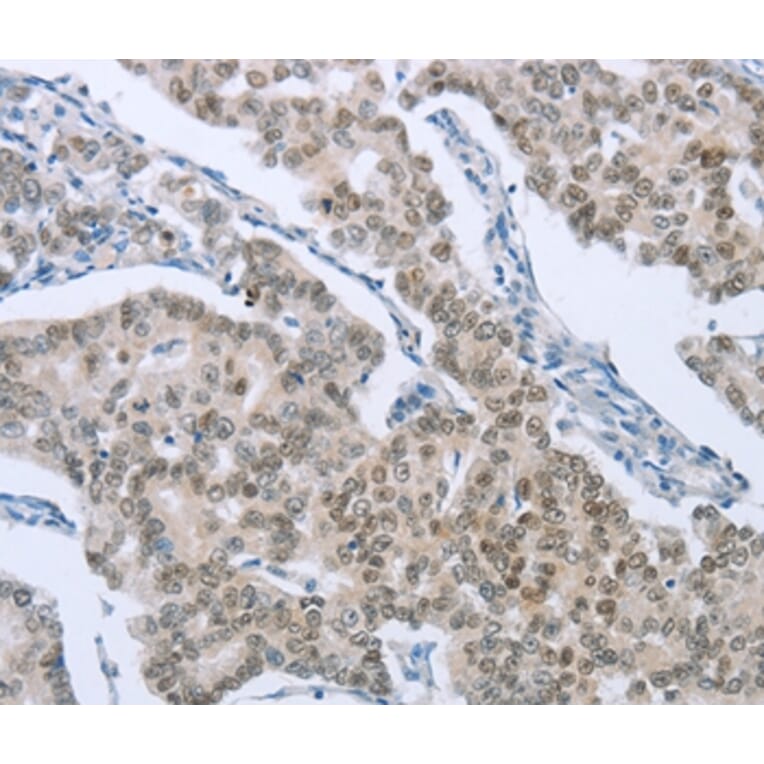
Immunohistochemistry - Anti-FOXA1 Antibody (A37978)
Immunohistochemical analysis of paraffin-embedded Human breast cancer tissue using #36860 at dilution 1/50.
Publishing research using Anti-FOXA1 Antibody (A37978)? Please
let us know
so that we can list the citation on this page.
Alternative products to Anti-FOXA1 Antibody (A37978)
(5)
A83938
Anti-FOXA1 Antibody
Goat polyclonal antibody to FOXA1 for ELISA, WB, IF and Flow Cytometry.
(6)
A248867
Anti-FOXA1 Antibody [FOXA1/1519]
Mouse monoclonal [FOXA1/1519] antibody to FOXA1 for Flow Cytometry, IF, WB and IHC-P.
(7)
A252041
Anti-FOXA1 Antibody [FOXA1/1241] - BSA and Azide free
Mouse monoclonal [FOXA1/1241] antibody to FOXA1 for Flow Cytometry, IF, WB and IHC-P.
(7)
A248861
Anti-FOXA1 Antibody [FOXA1/1241]
Mouse monoclonal [FOXA1/1241] antibody to FOXA1 for Flow Cytometry, IF, WB and IHC-P.
(6)
A248866
Anti-FOXA1 Antibody [FOXA1/1518]
Mouse monoclonal [FOXA1/1518] antibody to FOXA1 for Flow Cytometry, IF, WB and IHC-P.
(7)
A248862
Anti-FOXA1 Antibody [FOXA1/1512]
Mouse monoclonal [FOXA1/1512] antibody to FOXA1 for Flow Cytometry, IF, WB and IHC-P.
(6)
A252046
Anti-FOXA1 Antibody [FOXA1/1518] - BSA and Azide free
Mouse monoclonal [FOXA1/1518] antibody to FOXA1 for Flow Cytometry, IF, WB and IHC-P.
(7)
A252042
Anti-FOXA1 Antibody [FOXA1/1512] - BSA and Azide free
Mouse monoclonal [FOXA1/1512] antibody to FOXA1 for Flow Cytometry, IF, WB and IHC-P.
(6)
A252047
Anti-FOXA1 Antibody [FOXA1/1519] - BSA and Azide free
Mouse monoclonal [FOXA1/1519] antibody to FOXA1 for Flow Cytometry, IF, WB and IHC-P.
(5)
A252048
Anti-FOXA1 Antibody [FOXA1/2230R] - BSA and Azide free
Recombinant rabbit monoclonal [FOXA1/2230R] antibody to FOXA1 for Flow Cytometry, WB, IF and IHC-P.
(5)
A248868
Anti-FOXA1 Antibody [FOXA1/2230R]
Recombinant rabbit monoclonal [FOXA1/2230R] antibody to FOXA1 for Flow Cytometry, WB, IF and IHC-P.
(5)
A248864
Anti-FOXA1 Antibody [FOXA1/1515]
Mouse monoclonal [FOXA1/1515] antibody to FOXA1 for Flow Cytometry, IF, WB and IHC-P.
(5)
A83938
Anti-FOXA1 Antibody
Goat polyclonal antibody to FOXA1 for ELISA, WB, IF and Flow Cytometry.
(6)
A248867
Anti-FOXA1 Antibody [FOXA1/1519]
Mouse monoclonal [FOXA1/1519] antibody to FOXA1 for Flow Cytometry, IF, WB and IHC-P.
(7)
A252041
Anti-FOXA1 Antibody [FOXA1/1241] - BSA and Azide free
Mouse monoclonal [FOXA1/1241] antibody to FOXA1 for Flow Cytometry, IF, WB and IHC-P.
(7)
A248861
Anti-FOXA1 Antibody [FOXA1/1241]
Mouse monoclonal [FOXA1/1241] antibody to FOXA1 for Flow Cytometry, IF, WB and IHC-P.
(6)
A248866
Anti-FOXA1 Antibody [FOXA1/1518]
Mouse monoclonal [FOXA1/1518] antibody to FOXA1 for Flow Cytometry, IF, WB and IHC-P.
(7)
A248862
Anti-FOXA1 Antibody [FOXA1/1512]
Mouse monoclonal [FOXA1/1512] antibody to FOXA1 for Flow Cytometry, IF, WB and IHC-P.
(6)
A252046
Anti-FOXA1 Antibody [FOXA1/1518] - BSA and Azide free
Mouse monoclonal [FOXA1/1518] antibody to FOXA1 for Flow Cytometry, IF, WB and IHC-P.
(7)
A252042
Anti-FOXA1 Antibody [FOXA1/1512] - BSA and Azide free
Mouse monoclonal [FOXA1/1512] antibody to FOXA1 for Flow Cytometry, IF, WB and IHC-P.
(6)
A252047
Anti-FOXA1 Antibody [FOXA1/1519] - BSA and Azide free
Mouse monoclonal [FOXA1/1519] antibody to FOXA1 for Flow Cytometry, IF, WB and IHC-P.
(5)
A252048
Anti-FOXA1 Antibody [FOXA1/2230R] - BSA and Azide free
Recombinant rabbit monoclonal [FOXA1/2230R] antibody to FOXA1 for Flow Cytometry, WB, IF and IHC-P.
(5)
A248868
Anti-FOXA1 Antibody [FOXA1/2230R]
Recombinant rabbit monoclonal [FOXA1/2230R] antibody to FOXA1 for Flow Cytometry, WB, IF and IHC-P.
(5)
A248864
Anti-FOXA1 Antibody [FOXA1/1515]
Mouse monoclonal [FOXA1/1515] antibody to FOXA1 for Flow Cytometry, IF, WB and IHC-P.
See all FOXA1 Antibodies
Proteins predicted to interact with FOXA1
Predicted protein interactions based upon String database. Revelancy score correlates with probability of interaction.
Estrogen Receptor alpha Antibodies
99.8% Relevancy Score
GATA3 Antibodies
99.7% Relevancy Score
Androgen Receptor Antibodies
99.6% Relevancy Score
HDAC7 Antibodies
97.6% Relevancy Score
p300 Antibodies
93.3% Relevancy Score
TTF1 Antibodies
91.6% Relevancy Score
RIP140 Antibodies
90.2% Relevancy Score
ONECUT1 Antibodies
88.8% Relevancy Score
Progesterone Receptor Antibodies
88.7% Relevancy Score
Top