ISO 9001:2015 Certified
Live Customer Support
4.5/5 on Trustpilot
100% Quality Guarantee

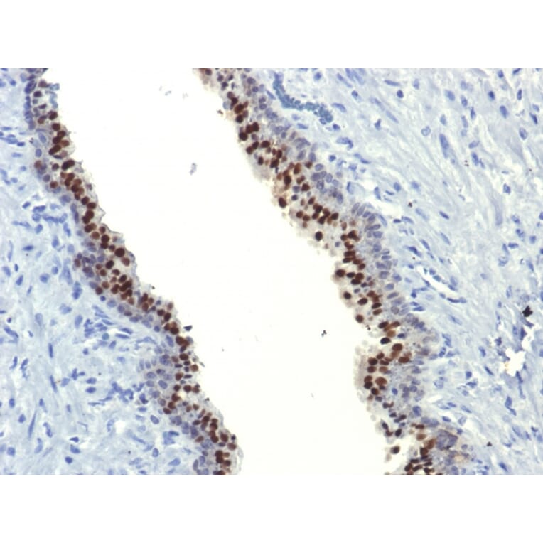
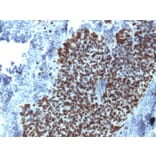
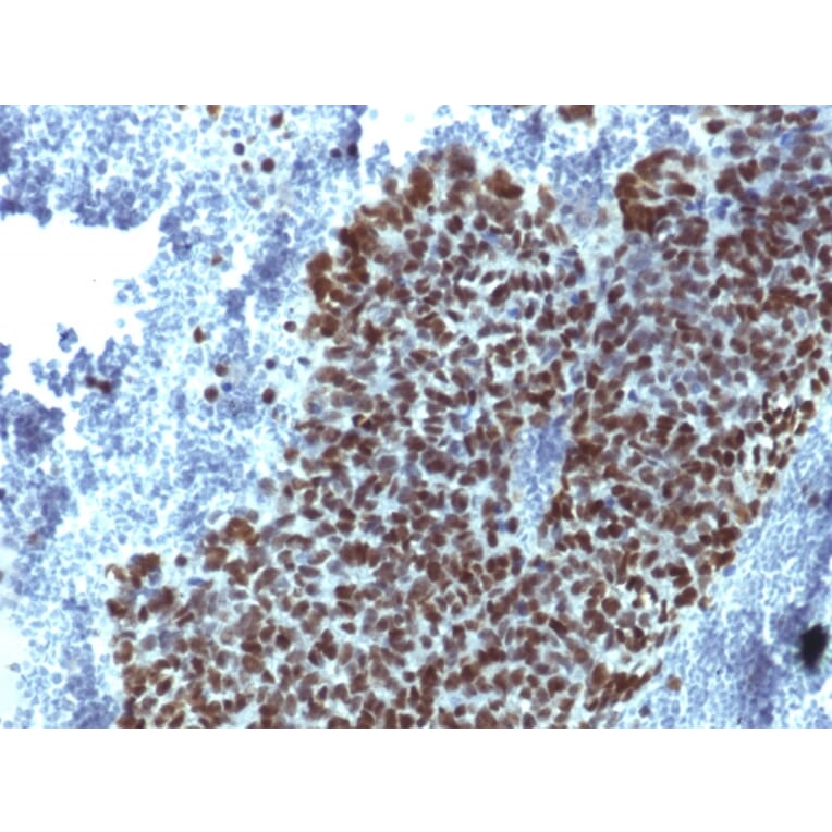
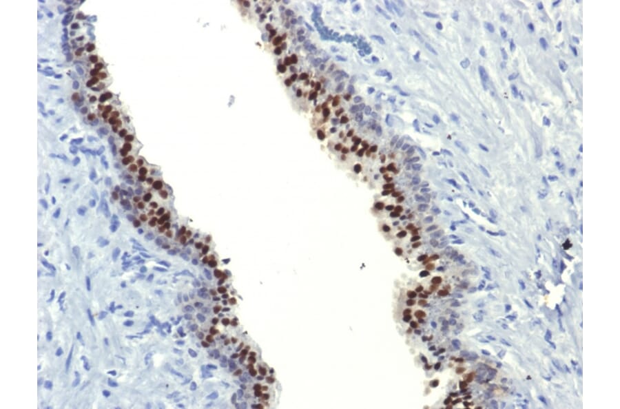
Anti-FOXA1 Antibody [FOXA1/1514] - BSA and Azide free (A252043)

Mouse monoclonal [FOXA1/1514] antibody to FOXA1 for Flow Cytometry, IF, WB and IHC.

Alternative Formats and ConjugatesAlternative Formats

Shipping Information

$40
Dispatched from St. Louis, MO.
Lead Time: 5-8 business days.
Name
Anti-FOXA1 Antibody [FOXA1/1514] - BSA and Azide free
Description
Mouse monoclonal [FOXA1/1514] antibody to FOXA1.
Specificity
The transcription factor Forkhead-box A1 (FOXA1), also known as hepatocyte nuclear factor 3-alpha, is a member of the FOX class of transcription factors. HNF-1 (), and HNF-6 compose, in part, a homeoprotein family designated the hepatocyte nuclear factor family. The various HNF-1 isoforms regulate transcription of genes in the liver as well as in other tissues such as kidney, small intestine and thymus. FOXA1 is expressed in normal breast ductal epithelium and other epithelium in different organs, such as lung, pancreas, bladder, prostate, and colon. Recently, FOXA1 has been shown to be a major determinant of estrogen-ER activity and endocrine response in breast cancer cells. FOXA1 expression correlates with estrogen receptor (ER)-positivity, especially in luminal subtype A breast cancers, which is associated with favorable prognosis. FOXA1 is useful in the sub-classification of breast carcinomas.
Applications
Flow Cytometry, IF, WB, IHC
Dilutions
Flow Cytometry: 0.5-1 µg/million cells, IF: 0.5-1 µg/ml, WB: 1-2 µg/ml, IHC: 1-2 µg/ml
Reactivity
Human
Cross Reactivity
This antibody does not cross react with Rat.
Immunogen
Recombinant fragment, around amino acids 372-472, of human FOXA1 protein. The exact sequence is proprietary.
Host
Mouse
Clonality
Monoclonal
Clone ID
FOXA1/1514
Isotype
IgG2b
Light Chains
kappa
Conjugate

Unconjugated

Purification
Protein A/G chromatography.
Concentration
1 mg/ml
Molecular Weight
49 kDa
Product Form
Liquid
Formulation
Supplied in 10mM Phosphate Buffered Saline; without Sodium Azide and carrier free.
Storage
Shipped at 4°C. Upon delivery aliquot and store at -20°C. Avoid freeze / thaw cycles.
General Notes
This monoclonal antibody is also available in a different formulation with BSA and Sodium Azide - Anti-FOXA1 Antibody [FOXA1/1514] (A248863).
Synonyms
Forkhead box protein A1, Hepatocyte nuclear factor 3-alpha, HNF-3-alpha, HNF-3A, HNF3A, TCF-3A, TCF3A, Transcription factor 3A
Disclaimer
This product is for research use only. It is not intended for diagnostic or therapeutic use.
Publishing research using Anti-FOXA1 Antibody [FOXA1/1514] - BSA and Azide free (A252043)? Please let us know so that we can list the citation on this page.

Alternative products to Anti-FOXA1 Antibody [FOXA1/1514] - BSA and Azide free (A252043)

Proteins predicted to interact with FOXA1

Predicted protein interactions based upon String database. Revelancy score correlates with probability of interaction.
99.7% Relevancy Score
99.6% Relevancy Score
97.6% Relevancy Score
93.3% Relevancy Score
91.6% Relevancy Score
90.2% Relevancy Score
88.8% Relevancy Score