Primary Antibodies
Secondary Antibodies
Proteins & Peptides
ELISA Kits
About Us
Contact Us
Sign In/Register
0
ISO 9001:2015 Certified
Live Customer Support
4.5/5 on Trustpilot
100% Quality Guarantee
Home
Primary Antibodies
FOXB1 Antibodies
Anti-FOXB1 Antibody (A46077)
Anti-FOXB1 Antibody (A46077)
Overview
Specifications
Images
Enlarge Image
Enlarge Image
$430
Rabbit polyclonal antibody to FOXB1 for IHC.
100% Guarantee
Price Match Guarantee
Product Size:
100µl
Quantity:
1
2
3
4
5
6
7
8
9
10
Add To Cart
Request a Quotation
Custom or Bulk Request
Shipping Information
Freight/Packing Charges:
$40
Dispatched from St. Louis, MO.
Lead Time: 6-9 business days.
Specifications
Name
Anti-FOXB1 Antibody
Description
Rabbit polyclonal antibody to FOXB1
Specificity
The antibody detects endogenous levels of total FOXB1 protein.
Applications
IHC
Reactivity
Human, Mouse
Immunogen
Synthetic peptide corresponding to residues near the C terminal of human forkhead box B1
Host
Rabbit
Clonality
Polyclonal
Conjugate
Unconjugated
Purification
Antigen affinity purification.
Concentration
2.2 mg/ml
Formulation
Rabbit IgG in pH7.3 PBS, 0.05% NaN3, 50% Glycerol.
Storage
Store at -20˚C
Synonyms
FKH5, Forkhead box protein B1, Transcription factor FKH-5
Suitable Secondaries
Goat Anti-Rabbit IgG H&L Antibody (AP) (A294874)
Goat Anti-Rabbit IgG H&L Antibody (Biotin) (A294795)
Goat Anti-Rabbit IgG H&L Antibody (FITC) (A294887)
Goat Anti-Rabbit IgG H&L Antibody (HRP) (A294888)
See all Anti-Rabbit IgG Secondaries →
Disclaimer
This product is for research use only. It is not intended for diagnostic or therapeutic use.
Scientific Validation Data
Validation Data
(2)
Enlarge Image
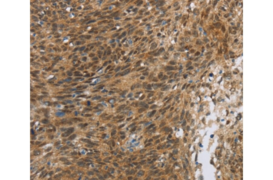
Immunohistochemistry - Anti-FOXB1 Antibody (A46077)
Immunohistochemical analysis of paraffin-embedded Human cervical cancer tissue using #36861 at dilution 1/30.
Enlarge Image
Immunohistochemistry - Anti-FOXB1 Antibody (A46077)
Immunohistochemical analysis of paraffin-embedded Human thyroid cancer tissue using #36861 at dilution 1/30.
Publishing research using Anti-FOXB1 Antibody (A46077)? Please
let us know
so that we can list the citation on this page.
Alternative products to Anti-FOXB1 Antibody (A46077)
(4)
A277630
Anti-FOXB1 Antibody [PCRP-FOXB1-1B7]
Mouse monoclonal [PCRP-FOXB1-1B7] antibody to FOXB1 for ELISA, IP, Flow Cytometry and IF.
(4)
A278218
Anti-FOXB1 Antibody [PCRP-FOXB1-1B7] - BSA and Azide free
Mouse monoclonal [PCRP-FOXB1-1B7] antibody to FOXB1 for ELISA, IP, Flow Cytometry and IF.
A83939
Anti-FOXB1 Antibody
Goat polyclonal antibody to FOXB1 for ELISA, WB, ICC and IF.
A26066
Anti-FoxB1/2 (I72) Antibody
Rabbit polyclonal antibody to FoxB1/2 (I72) for WB and IHC.
A41829
Anti-FOXB1 / 2 Antibody
Rabbit polyclonal antibody to FOXB1 / 2 for WB.
A89340
Anti-FOXB1 Antibody
Rabbit polyclonal antibody to FOXB1 for WB.
(4)
A277630
Anti-FOXB1 Antibody [PCRP-FOXB1-1B7]
Mouse monoclonal [PCRP-FOXB1-1B7] antibody to FOXB1 for ELISA, IP, Flow Cytometry and IF.
(4)
A278218
Anti-FOXB1 Antibody [PCRP-FOXB1-1B7] - BSA and Azide free
Mouse monoclonal [PCRP-FOXB1-1B7] antibody to FOXB1 for ELISA, IP, Flow Cytometry and IF.
A83939
Anti-FOXB1 Antibody
Goat polyclonal antibody to FOXB1 for ELISA, WB, ICC and IF.
A26066
Anti-FoxB1/2 (I72) Antibody
Rabbit polyclonal antibody to FoxB1/2 (I72) for WB and IHC.
A41829
Anti-FOXB1 / 2 Antibody
Rabbit polyclonal antibody to FOXB1 / 2 for WB.
A89340
Anti-FOXB1 Antibody
Rabbit polyclonal antibody to FOXB1 for WB.
See all FOXB1 Antibodies
Proteins predicted to interact with FOXB1
Predicted protein interactions based upon String database. Revelancy score correlates with probability of interaction.
FOXC2 Antibodies
55.5% Relevancy Score
OTP Antibodies
51.5% Relevancy Score
LHX5 Antibodies
51% Relevancy Score
LIM1 Antibodies
47.1% Relevancy Score
Neurogenin 1 Antibodies
45.8% Relevancy Score
TOMM40 Antibodies
45.8% Relevancy Score
SOX5 Antibodies
44.1% Relevancy Score
Neurogenin 3 Antibodies
43.7% Relevancy Score
IRX1 Antibodies
43.1% Relevancy Score
Top