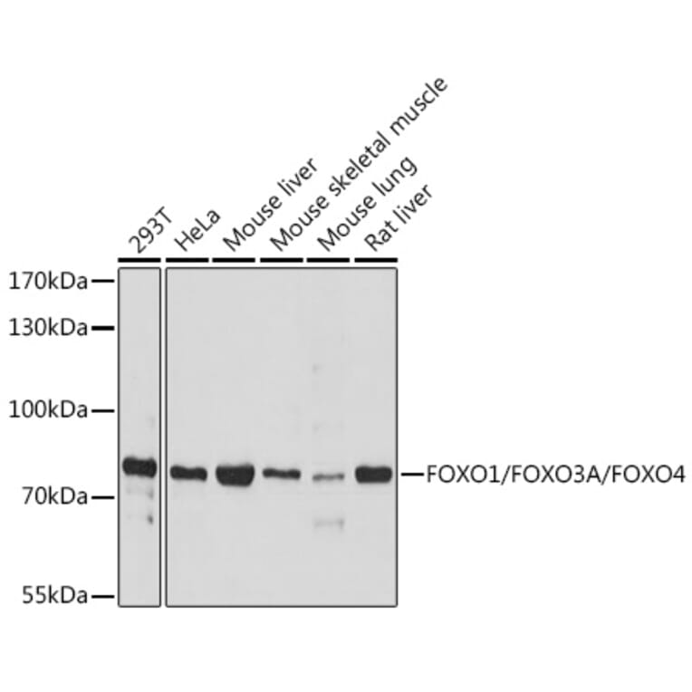
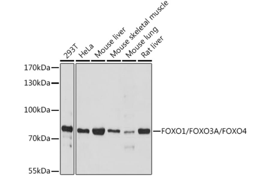
Western Blot - Anti-FOXO1A + FOXO3A + FOXO4/AFX Antibody (A93221)
Western blot analysis of extracts of various cell lines, using Anti-FOXO1A + FOXO3A + FOXO4/AFX Antibody (A93221) at 1:1,000 dilution. The secondary antibody was Goat Anti-Rabbit IgG H&L Antibody (HRP) at 1:10,000 dilution. Lysates/proteins were present at 25µg per lane. The blocking buffer used was 3% non-fat dry milk in TBST. Detection was with a ECL Basic Kit. Exposure time: 180s.
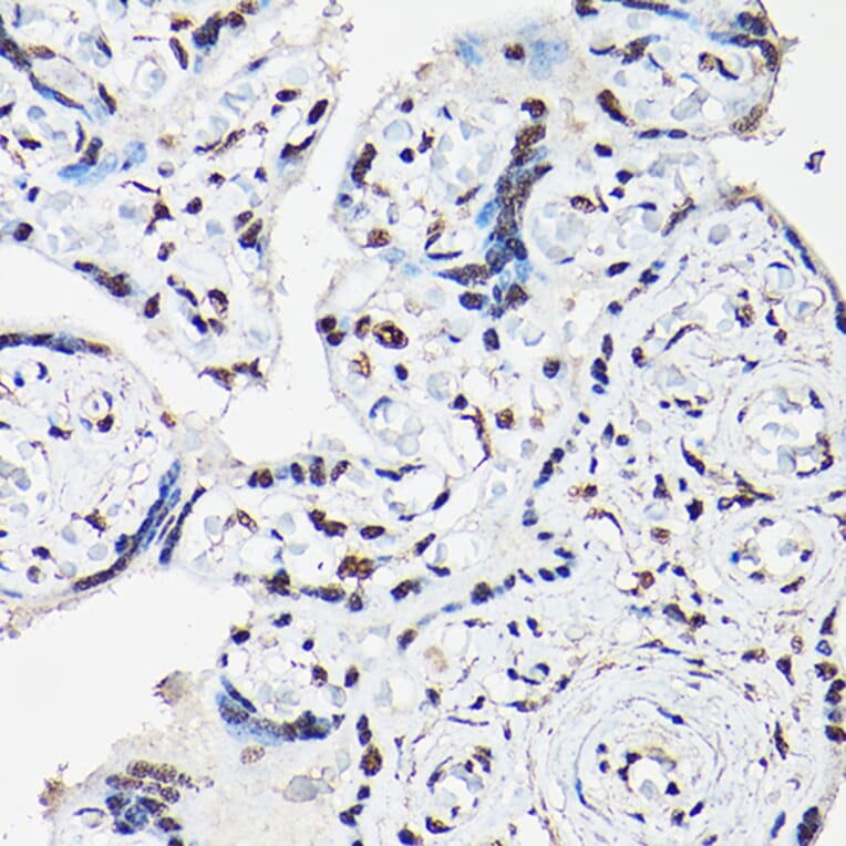
Immunohistochemistry analysis of paraffin-embedded human placenta using Anti-FOXO1A + FOXO3A + FOXO4/AFX Antibody (A93221) at a dilution of 1:50 (40x lens). Perform high pressure antigen retrieval with 10 mM citrate buffer pH 6.0 before commencing with IHC staining protocol.
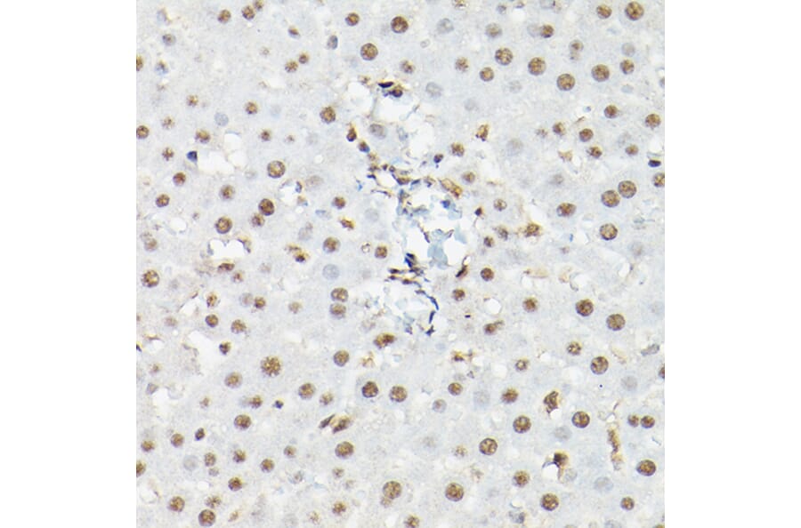
Immunohistochemistry analysis of paraffin-embedded mouse liver using Anti-FOXO1A + FOXO3A + FOXO4/AFX Antibody (A93221) at a dilution of 1:50 (40x lens). Perform high pressure antigen retrieval with 10 mM citrate buffer pH 6.0 before commencing with IHC staining protocol.
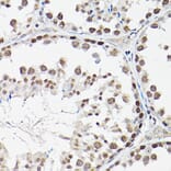
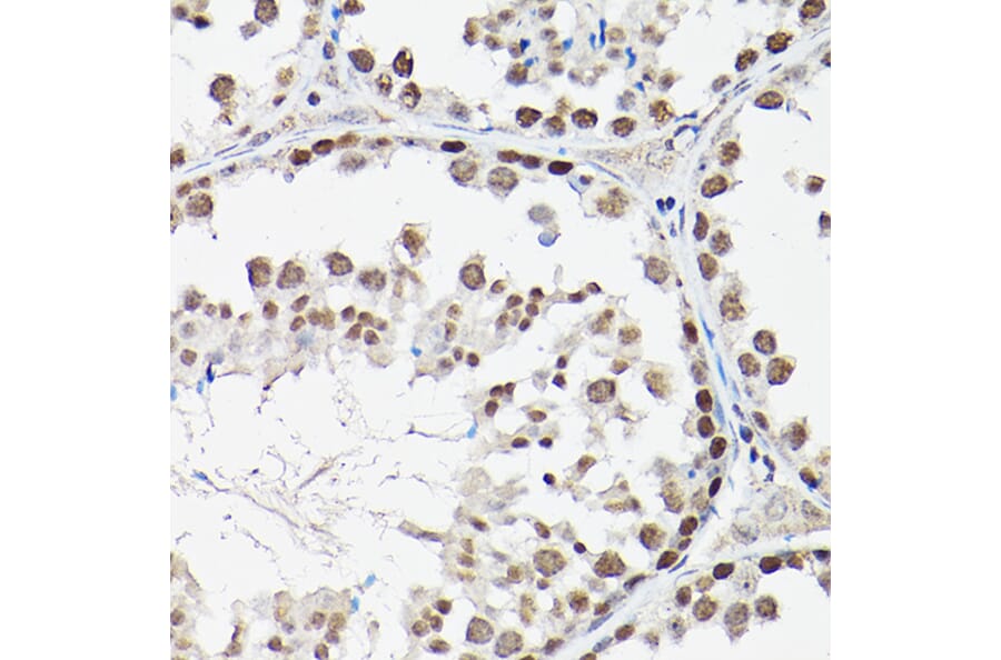
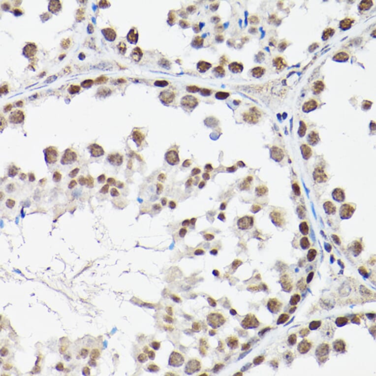
Immunohistochemistry analysis of paraffin-embedded rat testis using Anti-FOXO1A + FOXO3A + FOXO4/AFX Antibody (A93221) at a dilution of 1:50 (40x lens). Perform high pressure antigen retrieval with 10 mM citrate buffer pH 6.0 before commencing with IHC staining protocol.
Publishing research using Anti-FOXO1A + FOXO3A + FOXO4/AFX Antibody (A93221)? Please let us know so that we can list the citation on this page.