Western Blot - Anti-FOXO1A (phospho Thr24) + FOXO3A (phospho Thr32) + FOXO4 (phospho Thr28) Antibody (A90803)
Western blot analysis of extracts of various cell lines, using Anti-FOXO1A (phospho Thr24) + FOXO3A (phospho Thr32) + FOXO4 (phospho Thr28) Antibody (A90803) at 1:500 dilution. Jurkat cells were treated by Calyculin A (100 nM) at 37°C for 30 minutes. The secondary antibody was Goat Anti-Rabbit IgG H&L Antibody (HRP) at 1:10,000 dilution. Lysates/proteins were present at 25µg per lane. The blocking buffer used was 3% non-fat dry milk in TBST. Detection was with a ECL Basic Kit. Exposure time: 30s.
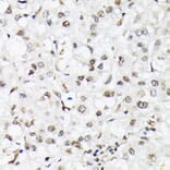
Immunohistochemistry analysis of paraffin-embedded rat liver using Anti-FOXO1A (phospho Thr24) + FOXO3A (phospho Thr32) + FOXO4 (phospho Thr28) Antibody (A90803) at a dilution of 1:200 (40x lens). Perform microwave antigen retrieval with 10 mM Tris/EDTA buffer pH 9.0 before commencing with IHC staining protocol.
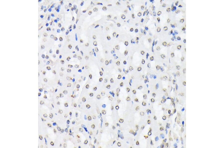
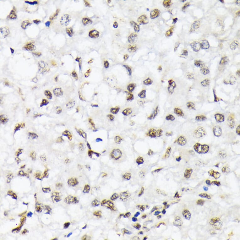
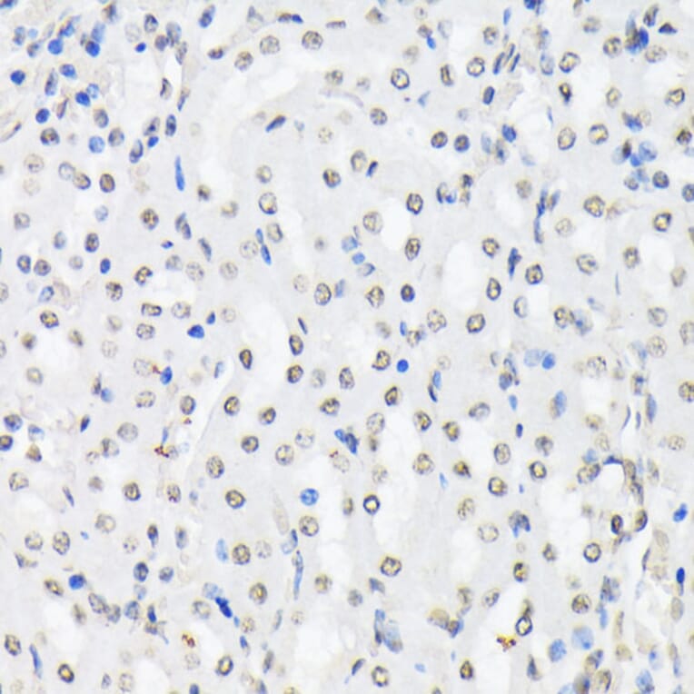
Immunohistochemistry analysis of paraffin-embedded human liver cancer using Anti-FOXO1A (phospho Thr24) + FOXO3A (phospho Thr32) + FOXO4 (phospho Thr28) Antibody (A90803) at a dilution of 1:200 (40x lens). Perform microwave antigen retrieval with 10 mM Tris/EDTA buffer pH 9.0 before commencing with IHC staining protocol.
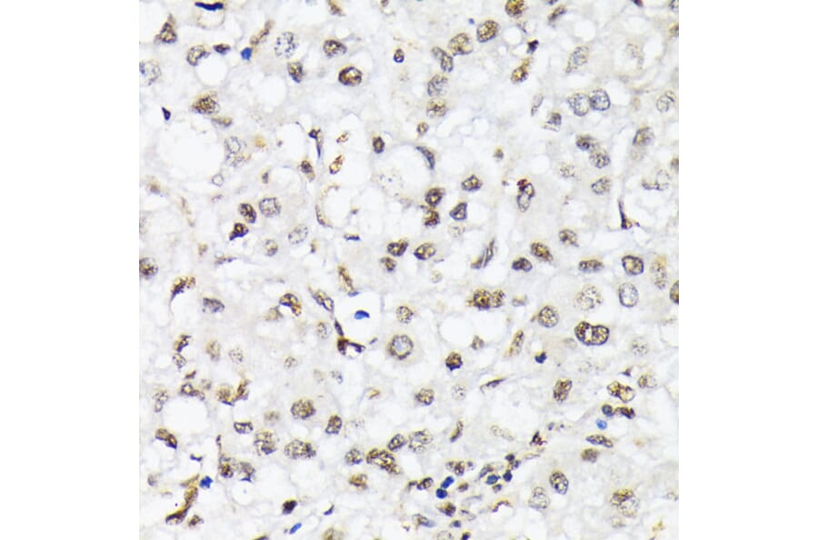
Immunohistochemistry analysis of paraffin-embedded mouse kidney using Anti-FOXO1A (phospho Thr24) + FOXO3A (phospho Thr32) + FOXO4 (phospho Thr28) Antibody (A90803) at a dilution of 1:200 (40x lens). Perform microwave antigen retrieval with 10 mM Tris/EDTA buffer pH 9.0 before commencing with IHC staining protocol.
Publishing research using Anti-FOXO1A (phospho Thr24) + FOXO3A (phospho Thr32) + FOXO4 (phospho Thr28) Antibody (A90803)? Please let us know so that we can list the citation on this page.