ISO 9001:2015 Certified
Live Customer Support
4.5/5 on Trustpilot
100% Quality Guarantee

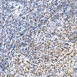
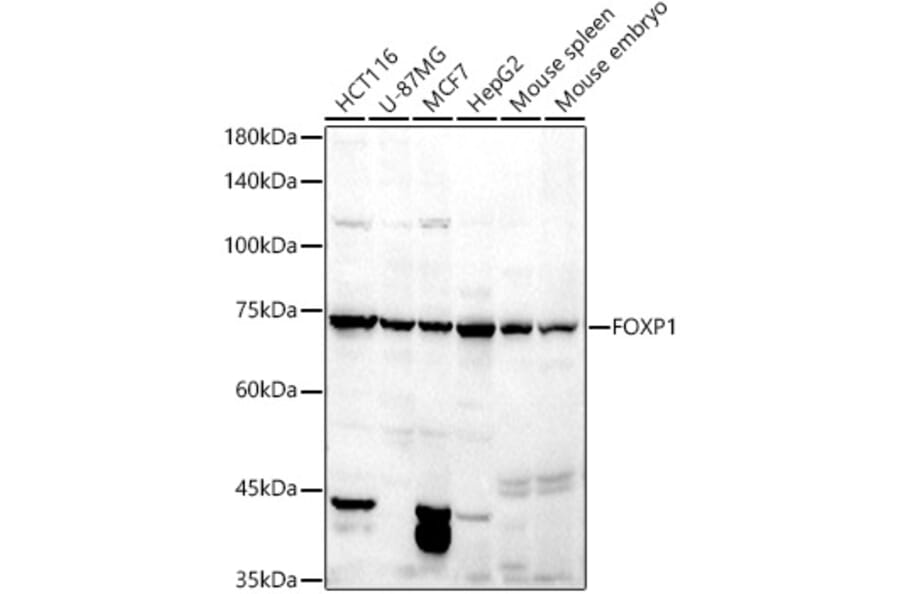
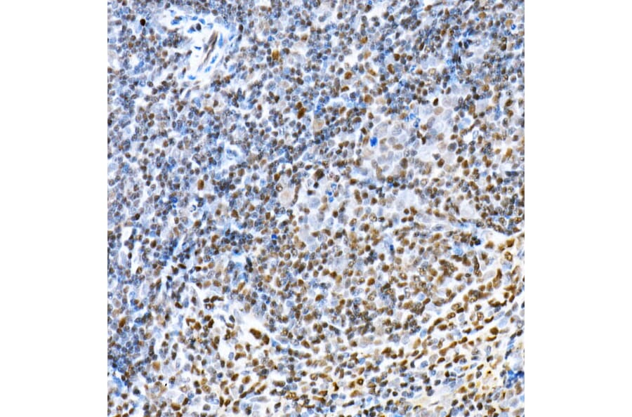
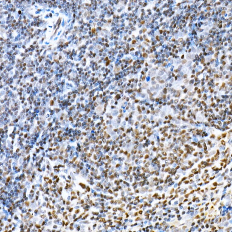
Anti-FOXP1 Antibody (A91035)

Rabbit polyclonal antibody to FOXP1 for WB and IHC.

Shipping Information

$40
Dispatched from St. Louis, MO.
Lead Time: 7-10 business days.
Name
Anti-FOXP1 Antibody
Description
Rabbit polyclonal antibody to FOXP1.
Applications
WB, IHC
Dilutions
WB: 1:100-1:500, IHC: 1:50-1:200
Reactivity
Human, Mouse, Rat
Immunogen
Recombinant fusion protein containing a sequence corresponding to amino acids 550-677 of human FOXP1 (NP_116071.2).
Sequence
SGNPSLIKNMQSSHAYCTPLNAALQASMAENSIPLYTTASMGNPTLGNLASAIREELNGAMEHTNSNESDSSPGRSPMQAVHPVHVKEEPLDPEEAEGPLSLVTTANHSPDFDHDRDYEDEPVNEDME
Host
Rabbit
Clonality
Polyclonal
Isotype
IgG
Conjugate

Unconjugated

Purification
Affinity purification.
Concentration
Lot Specific
Molecular Weight
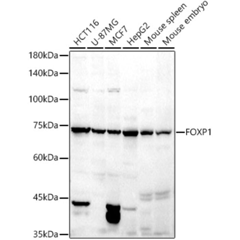
75 kDa
Product Form
Liquid
Formulation
Supplied in Phosphate Buffered Saline, pH 7.3, with 50% Glycerol and 0.05% Proclin 300.
Storage
Shipped at 4°C. Upon delivery aliquot and store at -20°C. Avoid freeze/thaw cycles.
Synonyms
Forkhead box protein P1, Mac-1-regulated forkhead, MFH
Disclaimer
This product is for research use only. It is not intended for diagnostic or therapeutic use.
Publishing research using Anti-FOXP1 Antibody (A91035)? Please let us know so that we can list the citation on this page.

Alternative products to Anti-FOXP1 Antibody (A91035)

Proteins predicted to interact with FOXP1

Predicted protein interactions based upon String database. Revelancy score correlates with probability of interaction.
89.7% Relevancy Score
89.3% Relevancy Score
86.7% Relevancy Score
86.2% Relevancy Score
86.1% Relevancy Score
86% Relevancy Score
85.5% Relevancy Score
83.6% Relevancy Score
82.4% Relevancy Score