Primary Antibodies
Secondary Antibodies
Proteins & Peptides
ELISA Kits
About Us
Contact Us
Sign In/Register
0
ISO 9001:2015 Certified
Live Customer Support
4.5/5 on Trustpilot
100% Quality Guarantee
Home
Primary Antibodies
FOXR2 Antibodies
Anti-FOXR2 Antibody (A45894)
Anti-FOXR2 Antibody (A45894)
Overview
Specifications
Images
Enlarge Image
Enlarge Image
$430
Rabbit polyclonal antibody to FOXR2 for IHC.
100% Guarantee
Price Match Guarantee
Product Size:
100µl
Quantity:
1
2
3
4
5
6
7
8
9
10
Add To Cart
Request a Quotation
Custom or Bulk Request
Shipping Information
Freight/Packing Charges:
$40
Dispatched from St. Louis, MO.
Lead Time: 6-9 business days.
Specifications
Name
Anti-FOXR2 Antibody
Description
Rabbit polyclonal antibody to FOXR2
Specificity
The antibody detects endogenous levels of total FOXR2 protein.
Applications
IHC
Reactivity
Human
Immunogen
Full length fusion protein
Host
Rabbit
Clonality
Polyclonal
Conjugate
Unconjugated
Purification
Antigen affinity purification.
Concentration
0.9mg / ml
Formulation
Rabbit IgG in pH7.3 PBS, 0.05% NaN3, 50% Glycerol.
Storage
Store at -20˚C
Synonyms
Forkhead box protein N6, Forkhead box protein R2, FOXN6
Suitable Secondaries
Goat Anti-Rabbit IgG H&L Antibody (AP) (A294874)
Goat Anti-Rabbit IgG H&L Antibody (Biotin) (A294795)
Goat Anti-Rabbit IgG H&L Antibody (FITC) (A294887)
Goat Anti-Rabbit IgG H&L Antibody (HRP) (A294888)
See all Anti-Rabbit IgG Secondaries →
Disclaimer
This product is for research use only. It is not intended for diagnostic or therapeutic use.
Scientific Validation Data
Validation Data
(2)
Enlarge Image
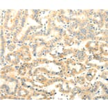
Immunohistochemistry - Anti-FOXR2 Antibody (A45894)
Immunohistochemical analysis of paraffin-embedded Human lung cancer tissue using #35740 at dilution 1/25.
Enlarge Image
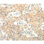
Immunohistochemistry - Anti-FOXR2 Antibody (A45894)
Immunohistochemical analysis of paraffin-embedded Human thyroid cancer tissue using #35740 at dilution 1/25.
Publishing research using Anti-FOXR2 Antibody (A45894)? Please
let us know
so that we can list the citation on this page.
Alternative products to Anti-FOXR2 Antibody (A45894)
A89468
Anti-FOXR2 Antibody
Rabbit polyclonal antibody to FOXR2 for WB.
A89468
Anti-FOXR2 Antibody
Rabbit polyclonal antibody to FOXR2 for WB.
Proteins predicted to interact with FOXR2
Predicted protein interactions based upon String database. Revelancy score correlates with probability of interaction.
c-Myc Antibodies
85.2% Relevancy Score
p400 Antibodies
83.7% Relevancy Score
TIP60 Antibodies
83.1% Relevancy Score
C20orf20 Antibodies
81.4% Relevancy Score
TRRAP Antibodies
80.4% Relevancy Score
VPS72 Antibodies
79.6% Relevancy Score
EPC1 Antibodies
79.4% Relevancy Score
ING3 Antibodies
78.9% Relevancy Score
MRG15 Antibodies
78.4% Relevancy Score
Top