Primary Antibodies
Secondary Antibodies
Proteins & Peptides
ELISA Kits
About Us
Contact Us
Sign In/Register
0
ISO 9001:2015 Certified
Live Customer Support
4.5/5 on Trustpilot
100% Quality Guarantee
Home
Primary Antibodies
FPR1 Antibodies
Anti-FPR1 Antibody (A47060)
Anti-FPR1 Antibody (A47060)
Overview
Specifications
Images
Enlarge Image
Enlarge Image
$405
Rabbit polyclonal antibody to FPR1 for IHC.
100% Guarantee
Price Match Guarantee
Product Size:
100µl
Quantity:
1
2
3
4
5
6
7
8
9
10
Add To Cart
Request a Quotation
Custom or Bulk Request
Shipping Information
Freight/Packing Charges:
$40
Dispatched from St. Louis, MO.
Lead Time: 6-9 business days.
Specifications
Name
Anti-FPR1 Antibody
Description
Rabbit polyclonal antibody to FPR1
Specificity
The antibody detects endogenous levels of total FPR1 protein.
Applications
IHC
Reactivity
Human
Immunogen
Synthetic peptide of human FPR1
Host
Rabbit
Clonality
Polyclonal
Conjugate
Unconjugated
Purification
Antigen affinity purification.
Concentration
1.4 mg/ml
Formulation
Rabbit IgG in pH7.4 PBS, 0.05% NaN3, 40% Glycerol.
Storage
Store at -20˚C
Synonyms
fMet-Leu-Phe receptor, fMLP receptor, FPR, N-formyl peptide receptor, N-formylpeptide chemoattractant receptor
Suitable Secondaries
Goat Anti-Rabbit IgG H&L Antibody (AP) (A294874)
Goat Anti-Rabbit IgG H&L Antibody (Biotin) (A294795)
Goat Anti-Rabbit IgG H&L Antibody (FITC) (A294887)
Goat Anti-Rabbit IgG H&L Antibody (HRP) (A294888)
See all Anti-Rabbit IgG Secondaries →
Disclaimer
This product is for research use only. It is not intended for diagnostic or therapeutic use.
Scientific Validation Data
Validation Data
(2)
Enlarge Image
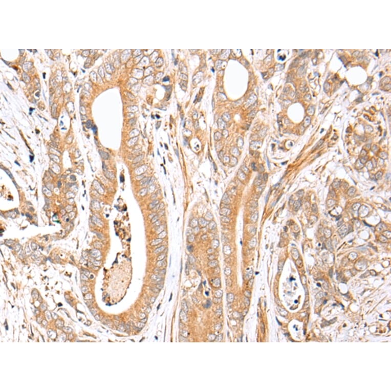
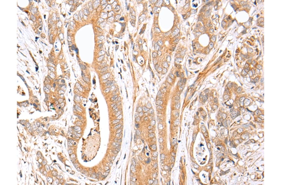
Immunohistochemistry - Anti-FPR1 Antibody (A47060)
Immunohistochemical analysis of paraffin-embedded Human gastric cancer tissue using #43271 at dilution 1/20.
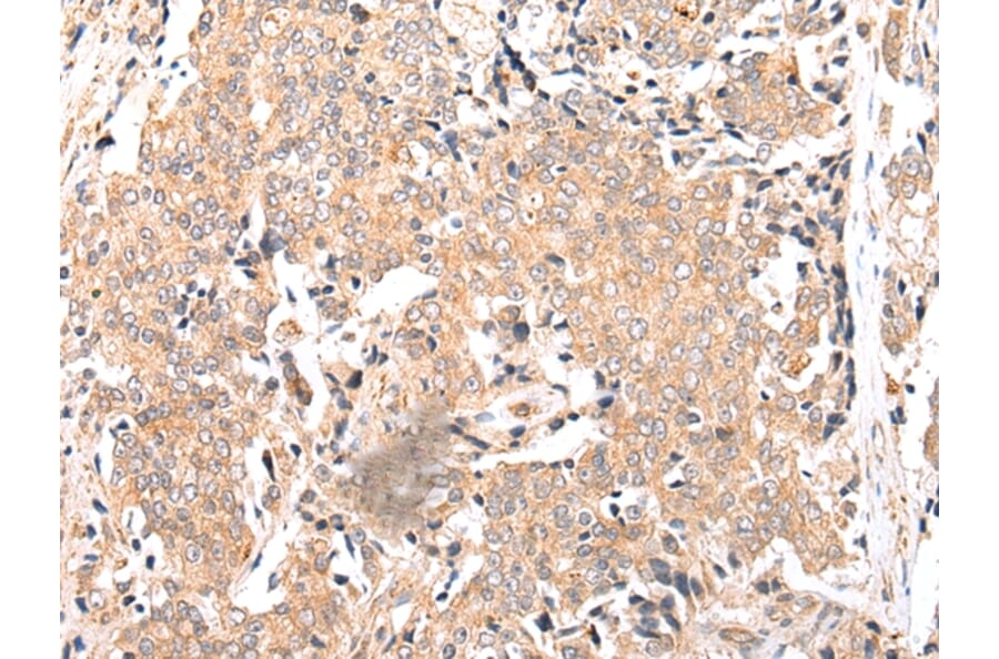
Enlarge Image
Immunohistochemistry - Anti-FPR1 Antibody (A47060)
Immunohistochemical analysis of paraffin-embedded Human prostate cancer tissue using #43271 at dilution 1/20.
Publishing research using Anti-FPR1 Antibody (A47060)? Please
let us know
so that we can list the citation on this page.
Alternative products to Anti-FPR1 Antibody (A47060)
(2)
A54998
Anti-FPR1 Antibody
Rabbit polyclonal antibody to FPR1 for ELISA, IHC, IP and WB.
(2)
A99998
Anti-FPR1 Antibody
Rabbit polyclonal antibody to FPR1 for WB, IF and ELISA.
A27969
Anti-FPR1 (I207) Antibody
Rabbit polyclonal antibody to FPR1 (I207) for WB.
A27970
Anti-FPR1 (I203) Antibody
Rabbit polyclonal antibody to FPR1 (I203) for WB.
(2)
A304465
Anti-FPR1 Antibody [NFPR2] - BSA and Azide free
Mouse monoclonal [NFPR2] antibody to FPR1 for WB and IF.
A101446
Anti-FPR1 Antibody
Rabbit polyclonal antibody to FPR1 for IF and ELISA.
A101447
Anti-FPR1 Antibody
Rabbit polyclonal antibody to FPR1 for WB and ELISA.
A305865
Anti-FPR1 Antibody
Rabbit polyclonal antibody to FPR1 for WB and IHC.
(2)
A54998
Anti-FPR1 Antibody
Rabbit polyclonal antibody to FPR1 for ELISA, IHC, IP and WB.
(2)
A99998
Anti-FPR1 Antibody
Rabbit polyclonal antibody to FPR1 for WB, IF and ELISA.
A27969
Anti-FPR1 (I207) Antibody
Rabbit polyclonal antibody to FPR1 (I207) for WB.
A27970
Anti-FPR1 (I203) Antibody
Rabbit polyclonal antibody to FPR1 (I203) for WB.
(2)
A304465
Anti-FPR1 Antibody [NFPR2] - BSA and Azide free
Mouse monoclonal [NFPR2] antibody to FPR1 for WB and IF.
A101446
Anti-FPR1 Antibody
Rabbit polyclonal antibody to FPR1 for IF and ELISA.
A101447
Anti-FPR1 Antibody
Rabbit polyclonal antibody to FPR1 for WB and ELISA.
A305865
Anti-FPR1 Antibody
Rabbit polyclonal antibody to FPR1 for WB and IHC.
See all FPR1 Antibodies
Proteins predicted to interact with FPR1
Predicted protein interactions based upon String database. Revelancy score correlates with probability of interaction.
Annexin A1 Antibodies
99.9% Relevancy Score
FPRL1 Antibodies
98.4% Relevancy Score
FPR3 Antibodies
94.4% Relevancy Score
GNAQ Antibodies
92.9% Relevancy Score
GNAI1 Antibodies
91.3% Relevancy Score
G Protein alpha S Antibodies
91.1% Relevancy Score
GNAS Antibodies
91.1% Relevancy Score
TREM1 Antibodies
86.9% Relevancy Score
CXCR1 Antibodies
84.2% Relevancy Score
Top